Xét nghiệm HPV tự lấy mẫu - Phát hiện sớm nguy cơ ung thư cổ tử cung riêng tư, chủ động
(PLVN) - Xóa tan những rào cản và tâm lý e ngại, xét nghiệm HPV tự lấy mẫu ra đời trở thành phương pháp tầm soát riêng tư, chủ động ngay tại nhà, giúp phái đẹp được giải phóng khỏi nỗi ám ảnh về ung thư cổ tử cung - căn bệnh nguy hiểm cướp đi mạng sống của hơn 2.000 phụ nữ Việt Nam mỗi năm.
Thiên chức làm mẹ bị đe dọa vì ung thư cổ tử cung
Sống hết mình vì tuổi trẻ, nỗ lực theo đuổi hoài bão trong công việc, đến ngưỡng tuổi lập gia đình, chị V.T.H (32 tuổi, Hà Nội) ấp ủ ước mơ cho tương lai về một tổ ấm nhỏ ngập tràn tiếng cười. Thế nhưng, cuộc sống và tâm lý của chị bị đảo lộn hoàn toàn, kế hoạch mang thai phải tạm thời gác bỏ khi biết mình bị ung thư cổ tử cung.
Chị H. tìm đến Chuyên khoa Sản, Bệnh viện Đa khoa MEDLATEC với biểu hiện tưởng chừng không có gì quá nghiêm trọng đó là ra nhiều dịch âm đạo. Tại viện, kết quả xét nghiệm HPV Genotype PCR của chị dương tính với HPV type 16 - “thủ phạm” hàng đầu gây ung thư cổ tử cung ở nữ giới.
Quá trình nội soi cổ tử cung, bác sĩ phát hiện vết trắng không điển hình. Nghi ngờ bất thường, bệnh nhân được sinh thiết cổ tử cung để thực hiện xét nghiệm giải phẫu bệnh. Chị H. như nghe sét đánh ngang tai với kết luận ung thư biểu mô vảy.
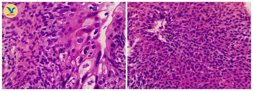
![]() |
Kết quả xét nghiệm giải phẫu bệnh của bệnh nhân kết luận ung thư biểu mô vảy |
Chị H. càng sụp đổ hơn khi biết bệnh có nguy cơ cần phẫu thuật cắt bỏ tử cung hoàn toàn. Điều này cũng đồng nghĩa rằng, chị có thể sẽ không còn khả năng sinh sản.
Đối mặt với biến cố lớn của cuộc đời, chị ân hận với biết bao câu hỏi “giá như” tầm soát, dự phòng bệnh sớm hơn, “giá như” không mải mê chạy theo công việc và bỏ ngoài tai những khuyến cáo sàng lọc bệnh.
Việt Nam: Hơn 2.000 phụ nữ tử vong vì ung thư cổ tử cung mỗi năm
Theo thống kê từ Tổ chức Y tế thế giới (WHO) tại Việt Nam năm 2023, có đến hơn 4.123 phụ nữ mắc mới ung thư cổ tử cung, 2.223 trường hợp tử vong vì căn bệnh này.
Số liệu trên phần nào cho thấy ung thư cổ tử cung cần được quan tâm đúng mực với phụ nữ nói riêng và sức khỏe cộng đồng nói chung. Những đau đớn về thể xác và tinh thần do ung thư cổ tử cung gây ra cho phái đẹp là một trong những bi kịch ám ảnh nhất.
Theo WHO có tới 99,7% trường hợp mắc ung thư cổ tử cung do virus HPV, với 14 type được xếp vào nhóm nguy cơ cao dẫn đến khối u ác tính ở cổ tử cung. Trong đó, phổ biến nhất là type 16 và 18 - nguyên nhân của hơn 70% trường hợp gây ung thư cổ tử cung ở nữ giới.
BSCKI. Nguyễn Thị Thùy Linh - Chuyên khoa Sản, Bệnh viện Đa khoa MEDLATEC cho biết: “Phụ nữ trưởng thành hoạt động tình dục đều có nguy cơ nhiễm HPV một lần trong đời. Thế nhưng phải mất từ 10 - 15 năm kể từ khi nhiễm HPV, cơ thể mới xuất hiện các triệu chứng bất thường để thôi thúc chị em đi thăm khám. Chính sự im lặng của cơ thể khi bị nhiễm HPV là con dao hai lưỡi khiến chị em lầm tưởng, chủ quan và dẫn đến sự phát triển bất thường của tế bào cổ tử cung gây ra ung thư”.
Bộ Y tế khuyến cáo, nữ giới đã quan hệ tình dục, đặc biệt nữ giới từ 21 tuổi trở lên cần xét nghiệm HPV định kỳ tối thiểu 5 năm 1 lần để kịp thời xử lý trong trường hợp phát hiện các bất thường ở cổ tử cung.
Xét nghiệm HPV tự lấy mẫu - Xóa tan những rào cản và điều còn e ngại
Nhận thức rõ tầm quan trọng của việc tầm soát ung thư cổ tử cung, nhưng nhiều chị em còn ngại ngùng, lo lắng về vấn đề bảo mật và thời gian di chuyển thăm khám, thực hiện xét nghiệm.
Hiểu rõ những tâm tư thầm kín này, bộ xét nghiệm HPV tự lấy mẫu ra đời như giải pháp hữu ích đồng hành cùng chị em trên hành trình sống khỏe. Thay vì phải đến Bệnh viện/Phòng khám để được nhân viên y tế trực tiếp lấy mẫu dịch tế bào cổ tử cung, chị em có thể tự thực hiện ngay tại nhà, đảm bảo yếu tố riêng tư và tiện lợi khi không mất thời gian, công sức di chuyển tới cơ sở y tế.
Người dân nên mua xét nghiệm tại các cơ sở y tế uy tín để an tâm chất lượng xét nghiệm chính xác nhất. Trong số các đơn vị cung cấp xét nghiệm hiện nay, Hệ thống Y tế MEDLATEC là địa chỉ phân phối bộ xét nghiệm HPV tự lấy mẫu được đông đảo người dân trên toàn quốc lựa chọn.
Bộ xét nghiệm HPV tự lấy mẫu của MEDLATEC được thiết kế khoa học, đính kèm hướng dẫn sử dụng chi tiết, dễ hiểu, giúp chị em tự lấy mẫu xét nghiệm đúng cách.
![]() |
Hệ thống Y tế MEDLATEC là địa chỉ phân phối bộ xét nghiệm HPV tự lấy mẫu được đông đảo người dân trên toàn quốc lựa chọn |
Sở hữu hệ thống Labo Xét nghiệm phủ khắp toàn quốc, MEDLATEC đảm bảo thời gian trả kết quả xét nghiệm HPV nhanh chóng, cụ thể như sau:
· Nhận mẫu trước 9h sáng, trả kết quả trước 16h cùng ngày;
· Nhận mẫu sau 9h sáng, trả kết quả trước 16h ngày hôm sau.
![]() |
Hệ thống máy hiện đại, tự động phân tích xét nghiệm HPV tại MEDLATEC |
Dịch vụ xét nghiệm HPV tự lấy mẫu được triển khai tại Hệ thống Y tế MEDLATEC với 5 bước đơn giản như sau:
· Bước 1: Người dân trên toàn quốc có nhu cầu, đăng ký qua tổng đài 1900 56 56 56.
· Bước 2: Nhân viên y tế MEDLATEC đến địa chỉ khách hàng đã đăng ký để bàn giao bộ xét nghiệm HPV tự lấy mẫu.
· Bước 3: Khách hàng tiến hành lấy mẫu theo hướng dẫn chi tiết.
· Bước 4: Khách hàng bàn giao mẫu cho nhân viên y tế bằng 02 cách (tự gửi đi, hoặc liên hệ MEDLATEC tới lấy).
· Bước 5: Nhân viên y tế chuyển mẫu về Trung tâm Xét nghiệm và thực hiện phân tích.
· Bước 6: MEDLATEC trả kết quả xét nghiệm online. Đồng thời, người dân được tư vấn bởi các chuyên gia, bác sĩ giàu kinh nghiệm và hẹn lịch tái khám (nếu có).
Phụ nữ lựa chọn tương lai hạnh phúc, đừng bỏ qua xét nghiệm HPV tầm soát sớm ung thư cổ tử cung.
Với mong muốn đồng hành cùng phái đẹp xua tan lo lắng về bệnh ung thư cổ tử cung, từ nay đến hết ngày 31/12/2024, Hệ thống Y tế MEDLATEC triển khai chương trình giảm 10% xét nghiệm HPV tự lấy mẫu tại nhà - tầm soát ung thư cổ tử cung, giá chỉ 630.000 đồng.
![]() |
MEDLATEC đồng hành cùng phái đẹp tầm soát ung thư cổ tử cung với chi phí tối ưu |
Liên hệ ngay tổng đài 1900 56 56 56 để đăng ký nhận ưu đãi, hoặc tư vấn sức khỏe.



