Tức ngực, khó thở, nam thanh niên đi khám phát hiện bệnh rất hiếm gặp
(PLVN) - Nam thanh niên 31 tuổi tiền sử khỏe mạnh, khoảng 1 tháng nay xuất hiện triệu chứng khó thở, tức ngực, được các bác sĩ chẩn đoán mắc bệnh lý rất hiếm gặp.
Theo Bệnh viện Đa khoa tỉnh Phú Thọ, người bệnh thể trạng tốt, không khó thở khi nghỉ, SpO2 96%, ngón tay dùi trống, phổi giảm thông khí hai bên, không có ran. Các cơ quan khác chưa ghi nhận bất thường.
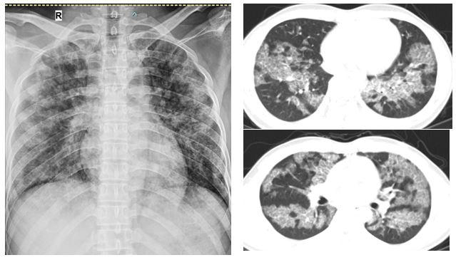
Tuy nhiên, kết quả chụp cắt lớp vi tính ngực cho thấy bệnh nhân tổn thương lan tỏa hai phổi, đây chính là nguyên nhân gây khó thở. Bệnh nhân được nội soi phế quản lấy dịch rửa phế quản làm xét nghiệm. Dựa trên các dữ liệu lâm sàng, xét nghiệm dịch phế quản và phim chụp cắt lớp vi tính ngực, người bệnh được chẩn đoán “Bệnh tích protein phế nang” và được chỉ định rửa phổi.
Sau khi được rửa phổi, người bệnh đã đỡ khó thở, các thông số chức năng phổi cải thiện và được ra viện sau 1 tuần, được hẹn vào viện tiếp tục rửa phổi lần 2.
![]() |
| Hình ảnh tổn thương lan tỏa hai phổi của người bệnh trước khi rửa phổi. |
Theo bác sĩ, bệnh tích tụ protein phế nang là một tình trạng tại phổi được gây ra bởi sự tích tụ protein và các chất khác một cách bất thường trong các phế nang, làm cản trở sự trao đổi khí. Đây là một căn bệnh rất hiếm gặp, thường phát triển ở người lớn nhưng cũng có thể là bẩm sinh.
Tình trạng này xảy ra thường xuyên hơn ở nam giới, thường ảnh hưởng đến những người trong độ tuổi từ 30 đến 60. Các yếu tố phơi nhiễm như bụi và hút thuốc làm tăng nguy cơ xảy ra bệnh tích tụ protein phế nang nên điều này có thể giải thích tại sao nó xảy ra thường xuyên hơn ở nam giới.
Bệnh tích tụ protein phế nang được phân loại gồm ba nhóm chính:
- Bệnh tích tụ protein phế nang tự miễn: Loại này là phổ biến nhất và được cho là khoảng 90% người trưởng thành mắc loại này, chủ yếu ở độ tuổi từ 30 đến 60 tuổi.
- Bệnh tích tụ protein phế nang thứ phát: Loại này là hệ quả tại phổi khi có một loại bệnh hoặc tình trạng khác hoặc tiếp xúc với một loại độc tố nào đó.
- Bệnh tích tụ protein phế nang bẩm sinh: Có một dạng bệnh tích tụ protein phế nang xảy ra do các khiếm khuyết di truyền được truyền lại cho các thế hệ tiếp theo trong gia đình.
Về nguyên nhân gây ra bệnh tích tụ protein phế nang, trong phần lớn các trường hợp mắc bệnh ở người trưởng thành, nguyên nhân được nghi ngờ là do thiếu hoặc có vấn đề với yếu tố kích thích trưởng thành bạch cầu hạt và đại thực bào, là cần thiết để làm cho các tế bào miễn dịch nhất định phát triển. Khi không có chất này, các phế nang không thể xóa sạch các thành phần dịch tráng phế nang có chứa protein. Điều này dẫn đến hệ quả là sự tích tụ một lượng protein nhất định trong phế nang và cuối cùng là làm suy giảm hô hấp
Triệu chứng của người mắc bệnh tích protein phế nang: Cảm giác mệt mỏi, khó thở; Sụt cân; Đau ngực; Sốt ho; Nồng độ oxy trong máu thấp; Móng tay dùi trống, đầu chi tím...
