Thang máy rơi từ tầng 7 ở TP HCM, hai thanh niên bị liệt 2 chân
Thang máy rơi từ tầng 7 khiến 2 nam thanh niên ngã chấn thương cột sống. Dù được cứu chữa kịp thời nhưng cả 2 bị liệt hoàn toàn 2 chân.
Mới đây, Bệnh viện Nhân dân 115 (TP HCM) đã tiếp nhận 2 trường hợp làm nghề sửa thang máy bị rơi thang khi đang sửa chữa khiến chấn thương cột sống. Cả 2 trường hợp đã được các bác sĩ kịp thời cứu chữa bảo vệ tính mạng. Tuy nhiên, do tình trạng chấn thương nặng khiến cả 2 bị liệt 2 chân.
![]() |
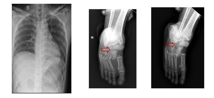
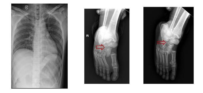
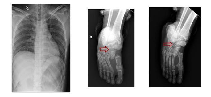
Kết quả chụp Xquang ngực thẳng, cổ bàn chân phải của các bệnh nhân. (Ảnh: Bệnh viện cung cấp)
2 bệnh nhân nam nhập viện trong tình trạng đau đớn, liệt hoàn toàn 2 chân, bí tiểu… Theo bệnh sử, trong lúc nam bệnh nhân 28 tuổi (quê ở Hải Dương) đang sửa cáp thang máy thì người đồng nghiệp (26 tuổi, quê Tiền Giang) bước vào thang khiến thang quá tải rơi xuống từ lầu 7.
Nhập viện, cả hai được phẫu thuật khẩn nắn chỉnh cột sống, giải ép tủy… Sau mổ, cả hai tiếp tục được tập phục hồi chức năng với các dụng cụ như di chuyển xe lăn, nạng, nẹp… để có thể thực hiện được các hoạt động sống hàng ngày một cách độc lập nhất.
Các bác sĩ cũng khuyến cáo người bệnh phải kiên trì vận động nhằm ngăn ngừa biến chứng và thương tật thứ cấp đối với người bị tổn thương tủy sống như loét da do đè ép, nhiễm khuẩn hô hấp, nhiễm trùng tiết niệu, huyết khối tĩnh mạch sâu, teo cơ, cứng khớp, co rút biến dạng... Chương trình tập bao gồm cả tập thở, tập ho, tập vận động đúng tư thế, tập theo tầm vận động, tập di chuyển tại giường, tập di chuyển từ giường ra xe lăn và ngược lại,...
Theo các bác sĩ, chấn thương cột sống thường gặp trong sinh hoạt, lao động hằng ngày, trong đó, tai nạn lao động (20%) thường do té từ trên cao và để lại di chứng yếu liệt rất nặng nề. Người bệnh thường tốn kém chi phí cho điều trị, chế độ chăm sóc kéo dài, phục hồi chức năng. Đặc biệt, người bị tai nạn có thể mất mất khả năng sinh hoạt và lao động.
Qua các trường hợp trên, các bác sĩ nhấn mạnh, các đơn vị sử dụng người lao động cần ban hành và triển khai những khuyến cáo, quy định, quy trình chi tiết chặt chẽ và tập huấn kỹ lưỡng cho người lao động về đảm bảo an toàn lao động, phòng ngừa những sự cố tai nạn lao động đáng tiếc. Bên cạnh đó, cần có những chính sách về bảo hiểm tai nạn lao động, hỗ trợ chi phí, động viên quan tâm cho những trường hợp người lao động không may bị tai nạn trong quá trình lao động.
Đối với người lao động chú ý tuân thủ các hướng dẫn về an toàn lao động nghiêm ngặt, đặc biệt chú ý cảnh giác đảm bảo an toàn trong các trường hợp lao động dưới các điều kiện nguy cơ cao như leo trèo sửa chữa các vị trí cao, sửa tháng máy, các thao tác kỹ thuật lao động phức tạp không đảm bảo thăng bằng hoặc không có phương tiện bảo hộ chắc chắn. Bên cạnh đó, người lao động nên tìm hiểu đầy đủ về chính sách chế độ bảo hiểm tai nạn lao động nghề nghiệp của công ty chủ quản để đảm bảo quyền lợi hợp pháp của bản thân.
