Sán làm tổ trong não người đàn ông
(PLVN) - Thấy đau nhức đầu nhiều ngày, người đàn ông đi khám thì phát hiện bị ký sinh trùng làm tổ trong não.
Người bệnh 56 tuổi, trú tại xã Kim Thượng, huyện Tân Sơn, tỉnh Phú Thọ. Trước khi nhập viện, người bệnh có biểu hiện đau nhức đầu nhiều ngày nên đi khám tại Trung tâm Y tế huyện Tân Sơn.
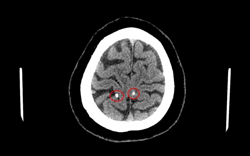
Qua thăm khám, chụp cắt lớp vi tính sọ não, các bác sĩ chuyên khoa Chẩn đoán hình ảnh kết luận trong sọ não người bệnh có hình ảnh nang ký sinh trùng (ấu trùng sán não - neurocysticercosis). Người bệnh cho biết trước đó có thói quen ăn đồ sống (gỏi cá).
![]() |
Hình ảnh nang ký sinh trùng trong não người bệnh. |
Theo các bác sĩ Trung tâm Y tế huyện Tân Sơn, bệnh kén sán não là bệnh lý thuộc nhóm nhiễm trùng hệ thần kinh trung ương, có mức độ nguy hiểm rất cao, biểu hiện ban đầu của bệnh là nhức đầu liên tục, nhức cả vùng đầu và có tính chất lan sang nhiều vùng khác. Nếu nghiêm trọng hơn, bệnh nhân có thể gặp phải những cơn động kinh nặng, nhẹ khác nhau.
Các bác sĩ khuyến cáo, người dân cần đề phòng nhiễm bệnh bằng những biện pháp giảm thiểu các yếu tố nguy cơ dẫn đến nhiễm ấu trùng như giữ môi trường sống sạch sẽ; ăn uống hợp vệ sinh. Không ăn thức ăn chưa nấu chín như: Gỏi cá, tiết canh, thịt lợn tái, không ăn thịt lợn gạo, không ăn sống hoặc tái các loại rau trồng dưới nước như rau ngổ, rau muống, rau cần...
Đồng thời cần luôn rửa tay sạch với xà phòng trước và sau khi đi vệ sinh; Tẩy giun sán định kỳ. Khi thấy trong người có các biểu hiện như đau nhức đầu liên tục, chóng mặt, mất ngủ... hãy đến các cơ sở y tế để được thăm khám và điều trị kịp thời.
