Rùng mình bác sĩ gắp giun hiếm dài 60cm ra khỏi chân bệnh nhân
(PLVN) - Vừa qua, Khoa Ngoại sản, Bệnh viện Bệnh Nhiệt đới Trung ương đã tiến hành phẫu thuật gắp giun và vệ sinh điều trị triệt để cho nam thanh niên 23 tuổi đến từ Yên Bái.
Theo thông tin, bệnh nhân thấy đau mỏi toàn thân từ trước tết. Tay và chân anh nổi những khối áp xe nhỏ, thi thoảng thấy vết giun ở dưới da. Anh được người nhà đưa đi khám ở nhiều cơ sở y tế nhưng không phát hiện bệnh nên tới Bệnh viện Bệnh nhiệt đới Trung ương, cơ sở Giải Phóng, khám ngày 12/5.
Ban đầu, bác sĩ chẩn đoán bệnh nhân mắc giun hoặc sán thường gặp và điều trị tại khoa Virus – Ký sinh trùng. Tuy nhiên, giun không có thuốc đặc trị, bác sĩ phải phẫu thuật gắp giun và vệ sinh vùng áp xe để điều trị triệt để. Bệnh nhân được chuyển đến cơ sở Đông Anh ngày 22/5 để phẫu thuật.
Bác sĩ Trần Thượng Việt, Trưởng khoa Ngoại sản, cho biết các khối áp xe xuất hiện cách hai đến ba ngày. Ban đầu xuất hiện ở chân, dần lan lên cánh tay, khi mở ổ áp xe, soi dưới thiết bị thì thấy có ấu trùng.
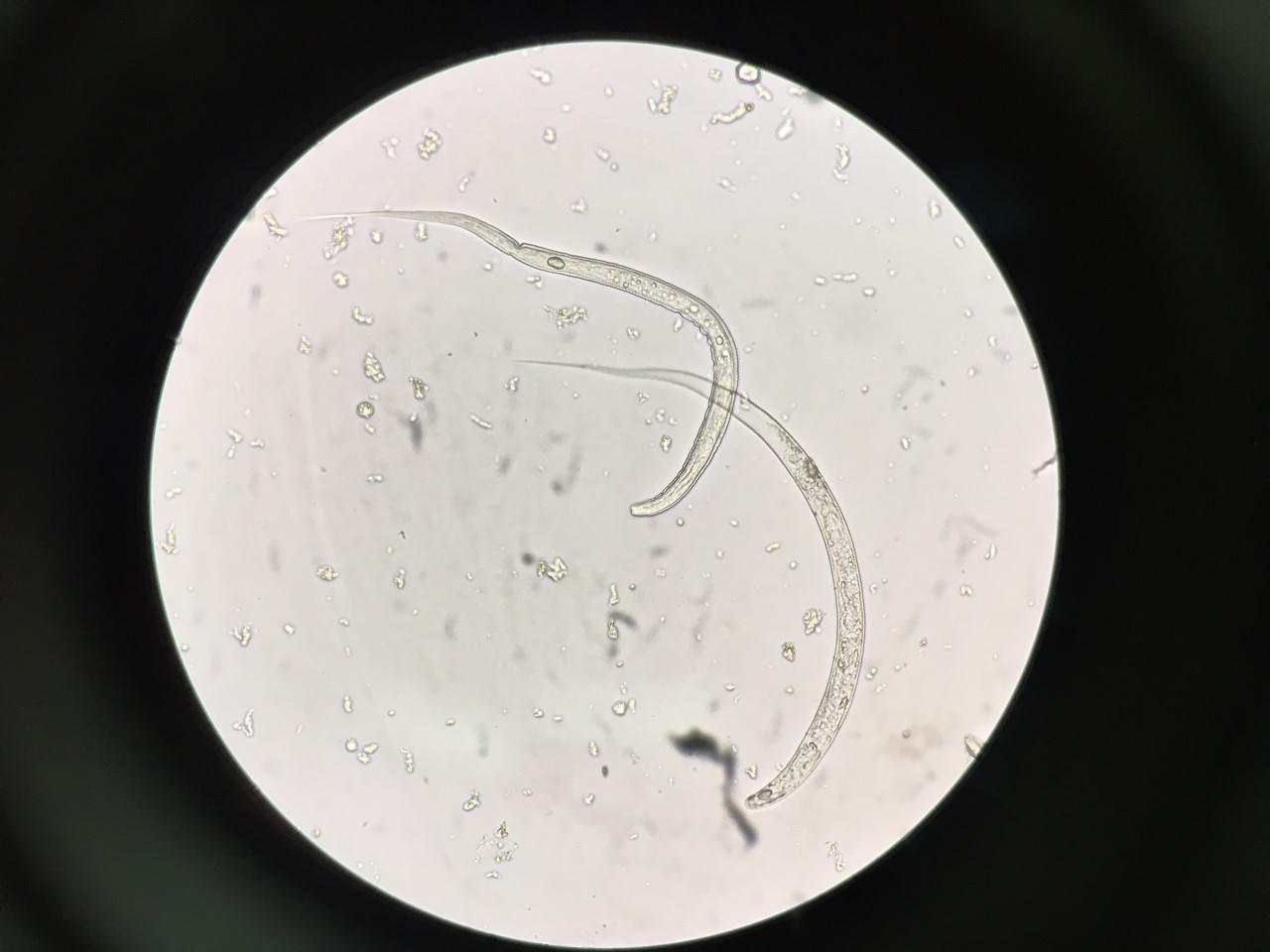
Vì có quá nhiều giun nên bệnh nhân được cho uống thuốc để giun trưởng thành tự bộc lộ. Lần đầu tiên phẫu thuật, bác sĩ gắp ra một con giun dài khoảng 60cm.
Hôm nay, các bác sĩ tiếp tục gắp được hai con giun dài khoảng 30 cm ở bắp tay bệnh nhân. Đến nay, đã gắp được 5 con giun trưởng thành. Đây là loại giun chưa từng xuất hiện ở Việt Nam.
Cũng theo bác sĩ Việt, loại giun được gắp ra từ cơ thể người bệnh có tên là Dracunculus medinensis. Đến thời điểm hiện tại, loại giun này chưa có thuốc điều trị đặc hiệu.
Bác sĩ Việt khuyến cáo, người dân nên thực hiện ăn chín, uống sôi để phòng giun, sán. Bên cạnh đó, khi lao động hoặc làm việc phải tiếp xúc với đất, nước và các nguồn lây bệnh, người dân cần đeo găng tay, mặc đồ bảo hộ lao động đầy đủ. Nếu phải sử dụng nước uống ở nguồn không đảm bảo, người dân cần lọc trước khi sử dụng.


