Phẫu thuật thành công lấy ra hàng trăm viên sỏi túi mật của bệnh nhân nước ngoài
(PLVN) - Xuất hiện đau bụng vùng hạ sườn phải, nữ bệnh nhân quốc tịch Brazil đến Bệnh viện Đa khoa MEDLATEC kiểm tra thì được chẩn đoán sỏi túi mật. Đây là ca bệnh được các chuyên gia chẩn đoán là ca bệnh khó, dễ bỏ sót, tuy khám trong đêm, nhưng bệnh nhân nhanh chóng được ê-kíp bác sĩ thực hiện phẫu thuật và lấy ra thành công hàng trăm viên sỏi túi mật.
Phẫu thuật lấy ra thành công hàng trăm viên sỏi túi mật ngay trong đêm
Bệnh viện Đa khoa MEDLATEC mới tiếp nhận bệnh nhân nữ, 29 tuổi, quốc tịch Brazil, phát hiện sỏi túi mật 3 năm nay đến khám do kích thước ngày càng lớn dần, đặc biệt 2 tuần nay thấy đau bụng vùng hạ sườn phải.
Bệnh nhân được chỉ định siêu âm ổ bụng, nhưng túi mật không chứa dịch mật như thông thường mà thay vào đó là rất nhiều sỏi, làm kích thước túi mật lớn hơn bình thường.
Trước hình ảnh bất thường đó, mặc dù tiếp nhận siêu âm ca bệnh trong đêm, nhưng ThS.BS Phạm Như Ánh - Khoa Chẩn đoán hình ảnh, Bệnh viện Đa khoa MEDLATEC nhanh chóng kết nối hội chẩn cùng BSCKII. Nguyễn Văn Thưởng - Trưởng Khoa Ngoại, Bệnh viện Đa khoa MEDLATEC và tư vấn bệnh nhân chụp cộng hưởng từ (MRI) gan mật có tiêm thuốc đối quang từ.
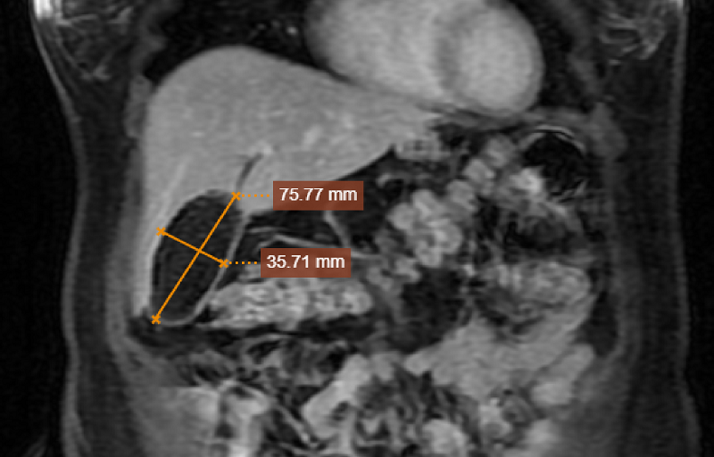
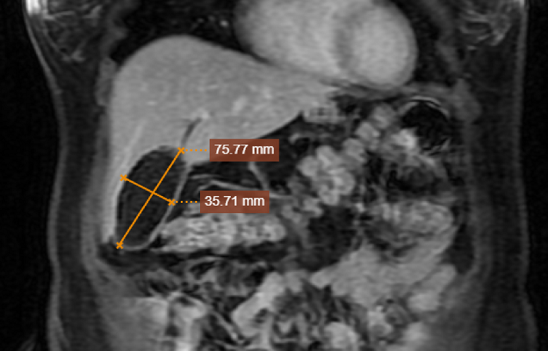
![]() |
Chụp cộng hưởng từ cho thấy túi mật chứa đầy sỏi, kích thước 78x25mm |
Siêu âm được xem là tiêu chuẩn “vàng” chẩn đoán sỏi túi mật, tại sao bệnh nhân lại có chỉ định chụp MRI gan mật?
BSCKII. Nguyễn Văn Thưởng cho biết: Chụp MRI sỏi mật có giá trị để đánh giá đường mật trong và ngoài gan giãn hay không, có sỏi túi mật hay không, đánh giá cổ túi mật có thuận lợi không, xung quanh túi mật có viêm dính không để tiên lượng cuộc mổ là thuận lợi hay khó khăn.
Kết quả chụp MRI của bệnh nhân có sỏi túi mật nhiều viên đúc đầy túi mật, không thấy dấu hiệu viêm túi mật. Ngay sau đó, bệnh nhân được BS Thưởng cùng ê-kíp y bác sĩ chuyên khoa Ngoại thực hiện mổ cắt túi mật chủ động qua nội soi.
Chia sẻ quá trình phẫu thuật ca bệnh, BS Thưởng cho hay: “Ca bệnh này may mắn, khi phẫu thuật vào túi mật bị viêm mạn tính, không có tình trạng viêm cấp nên việc phẫu thuật cổ túi mật và sườn túi mật khá thuận lợi. Tuy nhiên, kích thước của túi mật to, sỏi túi mật lấp đầy, nên quá trình lấy sỏi ra khó khăn hơn bình thường. Sau 30 phút phối hợp nhịp nhàng cùng tinh thần trách nhiệm cao nhất, ê-kíp đã gắp toàn bộ sỏi, tương đương hàng trăm viên sỏi bé xíu được lấy ra an toàn khỏi túi mật của bệnh nhân”.
![]() |
Hàng trăm viên sỏi túi mật và túi mật được ê-kíp bác sĩ lấy ra an toàn cho bệnh nhân |
Sau 3 ngày phẫu thuật, bệnh nhân bình phục hoàn toàn và được xuất viện.
Sỏi túi mật là gì?
Sỏi túi mật là sỏi nằm trong hệ thống cây đường mật, theo vị trí sỏi mật được chia làm 2 loại: sỏi trong túi mật và sỏi trong ống mật (đường mật trong gan và ống mật chủ).
Sỏi túi mật chia làm các loại:
• Sỏi cholesterol: Chiếm 10% tổng số sỏi mật, thành phần chiếm trên 50% là cholesterol.
• Sỏi hỗn hợp: Chiếm đến 80% tổng các sỏi mật, thành phần sỏi chỉ gồm 20-50% cholesterol.
• Sỏi sắc tố: Chiếm 10% tổng các sỏi mật, thành phần chỉ có dưới 20% cholesterol.
Khoảng 10% dân số có sỏi mật, nữ gặp nhiều hơn nam (tỷ lệ gặp ở nữ/ nam là 2:1).
Các yếu tố nguy cơ gây sỏi túi mật
• Sỏi cholesterol: Do các yếu tố nguy cơ như béo phì, tiền sử gia đình có người bị sỏi mật, giảm cân nhanh.
• Sỏi sắc tố màu đen: Do các yếu tố nguy cơ như bệnh nhân bị bệnh tan máu mạn tính, bệnh lý xơ gan, bệnh lý ruột kém hấp thu (Crohn).
• Sỏi sắc tố màu nâu: Do các yếu tố nguy cơ như bệnh lý nhiễm trùng, nhiễm ký sinh trùng, bệnh lý ứ mật.
Dấu hiệu cảnh báo sỏi túi mật
Sỏi túi mật nếu không được phát hiện và điều trị có thể gây nên các biến chứng như đau bụng, viêm túi mật cấp/mạn tính, viêm tụy cấp, vàng da tắc mật, phù quanh túi mật, sỏi bùn túi mật, ung thư túi mật…
Điều đáng lưu ý, khoảng 90% trường hợp sỏi mật không có biểu hiện lâm sàng, thường vô tình phát hiện đi kiểm tra sức khỏe.
Một số trường hợp phát hiện sỏi túi mật khi xuất hiện dấu hiệu cảnh báo như:
• Đau bụng vùng hạ sườn phải - dấu hiệu hữu ích để chẩn đoán phân biệt với đau do viêm thực quản trào ngược, viêm dạ dày, hoặc loét tá tràng;
• Đau vùng thượng vị, có triệu chứng không thoải mái, đặc biệt là sau bữa ăn nhiều mỡ;
• Các triệu chứng khác như ợ hơi, đầy hơi, ợ nóng,hoặc buồn nôn.
Kỹ thuật phát hiện chính xác sỏi túi mật
TTƯT.PGS.TS.BSCC Trần Công Hoan - Chuyên gia Chẩn đoán hình ảnh, Hệ thống Y tế MEDLATEC, nguyên Trưởng khoa Chẩn đoán hình ảnh, Bệnh viện E cho biết: Có nhiều phương pháp chẩn đoán hình ảnh như siêu âm, chụp cắt lớp vi tính, cộng hưởng từ để trả lời được câu hỏi có sỏi hay không có sỏi, có biến chứng hay không có biến chứng để lựa chọn phương pháp điều trị. Trường hợp có sỏi túi mật hoại tử bắt buộc phải mổ cấp cứu, ngoài ra, bác sĩ có thể thực hiện điều trị bằng nội khoa, phẫu thuật cho người bệnh.
Chuyên gia lưu ý, người Việt Nam có đặc điểm cơ địa người nhỏ nên đại đa số chỉ cần siêu âm là đủ điều kiện để chẩn đoán có sỏi túi mật hay không. Tuy nhiên, trường hợp bệnh nhân người Brazil có thể trạng béo phì (BMI=34,4 kg/m2), bị viêm túi mật mạn tính, toàn bộ túi mật lấp đầy sỏi, vì vậy, bác sĩ phải có nhiều kinh nghiệm mới đọc được kết quả đây là sỏi túi mật.
Bày tỏ sự ngưỡng mộ đánh giá chính xác ca bệnh, chuyên gia chia sẻ: “Với 33 năm kinh nghiệm thực hiện siêu âm, tôi vô cùng ngưỡng mộ bác sĩ siêu âm trường hợp này. Thông thường để xác định có sỏi túi mật chỉ cần siêu âm là đủ, nhưng trước khi có chỉ định có mổ, bác sĩ chỉ định bệnh nhân chụp MRI là hoàn toàn phù hợp để có "bức tranh" tổng thể của sỏi túi mật”.
![]() |
Hệ thống máy MRI hiện đại tại MEDLATEC phục vụ chẩn đoán chính xác các ca bệnh chuyên sâu |
Chung đánh giá với chuyên gia Trần Công Hoan về ca bệnh này, PGS.TS.BSCC Nguyễn Quốc Dũng - Phó Chủ tịch Hội Điện quang và Y học hạt nhân Việt Nam, Phó Chủ tịch Hội đồng Khoa học công nghệ và đào tạo MEDLATEC GROUP, Giám đốc Chuyên môn Trung tâm Chẩn đoán hình ảnh MEDLATEC với hơn 40 năm kinh nghiệm một lần nữa nhấn mạnh: “Bệnh nhân này có thể trạng béo phì, triệu chứng không rầm rộ, siêu âm dễ bỏ sót vì không nhìn thấy dịch mật, nên không thấy cấu trúc giải phẫu túi mật, hình ảnh túi mật không thông thường, không có dịch mật, nhưng bác sĩ siêu âm đã chẩn đoán chính xác để đi đến điều trị kịp thời, an toàn cho người bệnh”.
Hệ thống Y tế MEDLATEC - Địa chỉ khám, điều trị sỏi túi mật tin cậy
Là nơi quy tụ đội ngũ chuyên gia, bác sĩ đa chuyên khoa đầu ngành, giàu kinh nghiệm và được trang bị đồng bộ các phương tiện, kỹ thuật chẩn đoán hiện đại của Trung tâm Xét nghiệm - Đơn vị tiên phong cả nước áp dụng song hành hai tiêu chuẩn quốc tế ISO 15189:2012 và CAP, Trung tâm Chẩn đoán hình ảnh với dàn máy siêu âm, chụp X-quang, CT, MRI…; Vì vậy, Hệ thống Y tế MEDLATEC trở thành một trong những cơ sở y tế tin cậy phục vụ khám và điều trị chất lượng cao, toàn diện của người dân cả nước.
![]() |
Chuyên khoa Ngoại, Bệnh viện Đa khoa MEDLATEC - Địa chỉ phẫu thuật uy tín, tin cậy, chất lượng |
Riêng với bệnh lý sỏi mật, Hệ thống Y tế MEDLATEC có đầy đủ trong tay công cụ chẩn đoán và điều trị chính xác. Bởi đơn vị có đội ngũ chuyên gia đầu ngành, tiêu biểu là BSCKII. Nguyễn Văn Thưởng - Trưởng khoa Ngoại, Bệnh viện Đa khoa MEDLATEC có hơn 20 năm kinh nghiệm, mát tay phẫu thuật thành công hàng ngàn ca bệnh. Theo đó, tất cả các trường hợp đến thăm khám, nếu phát hiện bất thường bảo đảm nhanh chóng được thực hiện phẫu thuật an toàn, theo yêu cầu ngay tại Bệnh viện Đa khoa MEDLATEC trong quy trình khép kín, chính xác và an toàn.
Mọi thông tin tìm hiểu về dịch vụ, hoặc đặt lịch khám tại Hệ thống Y tế MEDLATEC, quý khách vui lòng gọi hotline 1900 56 56 56.



