Nữ bệnh nhân bị vỡ gan vì dùng dây đai nịt bụng giảm cân
(PLVN) - Người phụ nữ 39 tuổi ở Sóc Trăng không có bệnh nền, cơ thể khỏe mạnh nhưng do sử dụng dây đai nịt bụng giảm cân trong thời gian dài dẫn đến bị vỡ gan, xuất huyết ổ bụng.
Mới đây, thông tin từ Bệnh viện ở Bạc Liêu cho biết, khoảng 1h ngày 20/2, bệnh viện có tiếp nhận nữ bệnh nhân L.T.H.L (39 tuổi, ngụ thị xã Vĩnh Châu, tỉnh Sóc Trăng) với tình trạng đau bụng dữ dội, kèm nôn ói.
Người nhà chị L cho hay, chị không có tiền sử về bệnh nền, cơ thể hoàn toàn khỏe mạnh. Vài năm gần đây, chị L thường xuyên sử dụng dây đai nịt có nút thắt vào bụng để giảm cân. Trong lúc sử dụng dây đai nịt siết chặt sâu vào bụng, chị L có biểu hiện đau bụng và nôn ói.
Đến rạng sáng ngày 20/2 bệnh nhân bất ngờ bị đau bụng dữ dội, cơn đau càng lúc càng nhiều nên được người nhà đưa đến bệnh viện để điều trị.
Qua thăm khám, siêu âm và chụp CT-scan bụng, các bác sĩ chẩn đoán bệnh nhân bị dập vỡ gan phải hạ phân thùy V, chảy máu ổ bụng, gây xuất huyết nội rất nguy hiểm. Sau đó bệnh nhân được điều trị nội khoa tích cực, theo dõi sát mạch, huyết áp và tình trạng bụng.
Đến chiều 21/2, bệnh nhân được chỉ định thực hiện thủ thuật can thiệp chụp và nút mạch cầm máu gan trên hệ thống máy chụp mạch số hóa xóa nền (DSA) kết hợp vật liệu tắc mạch vào động mạch gan phải để tiến hành cầm máu gan vỡ.
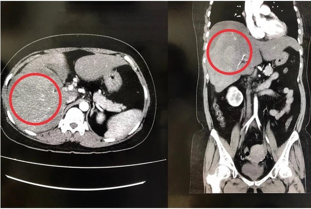
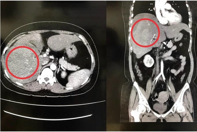
![]() |
Ảnh chụp CT-scan cho thấy gan phải của chị L bị vỡ. Ảnh: DT |
Ca thủ thuật thành công diễn ra trong vòng 40 phút. Sau can thiệp, hiện tại tình trạng bệnh tỉnh, mạch huyết áp ổn định, tiếp xúc tốt, giảm đau bụng. Dự kiến bệnh nhân sẽ được xuất viện trong vài ngày tới.
Theo bác sĩ Thạch Diễn - người điều trị cho bệnh nhân cho biết, bệnh nhân L còn trẻ tuổi, không có tiền sử bệnh nền, hoàn toàn khỏe mạnh nhưng do thường xuyên sử dụng dây đai nịt có nút thắt siết chặt vào bụng để giảm cân, dẫn đến tình trạng vỡ gan phải, gây chảy máu ổ bụng, xuất huyết nội rất nguy hiểm. Người bệnh được chỉ định chụp và nút mạch gan cầm máu qua DSA. Đây là phương pháp can thiệp tối ưu nhất hiện nay, ít xâm lấn, vừa giúp bệnh nhân tránh được cuộc đại phẫu lớn, vừa mang lại hiệu quả an toàn trong trong điều trị cầm máu vỡ gan.
"Người dân cần lưu ý, khi có những biểu hiện như đau bụng, nôn ói, khó chịu thì phải đến ngay các cơ sở y tế để được bác sĩ chẩn đoán, điều trị kịp thời, tránh gây nguy hiểm đến sức khỏe và tính mạng", bác sĩ Diễn khuyến cáo.
