Nổi hạch khám không ra bệnh, xét nghiệm tại MEDLATEC phát hiện mắc ung thư
(PLVN) - Lo lắng vì cơ thể xuất hiện nhiều hạch, cô N. đến bệnh viện tuyến đầu về ung bướu kiểm tra, nhưng kết quả tế bào học hạch không có dấu hiệu bất thường. Gần đây, thấy hạch sưng to hơn, bệnh nhân đến MEDLATEC kiểm tra và được chẩn đoán mắc u lympho không Hodgkin tế bào B nhỏ (một loại ung thư hạch bạch huyết).
Nổi hạch bất thường, dấu hiệu cảnh báo bệnh lý nguy hiểm
Cách đây 4 tháng, cô N.T.N. (65 tuổi, ở Yên Bái) phát hiện vùng cổ nổi nhiều hạch nên đã đi khám tại một bệnh viện chuyên khoa ung bướu, kết quả sinh thiết hạch cho thấy không có dấu hiệu bất thường.
Gần đây, hạch có dấu hiệu sưng to hơn, lo lắng, cô N. đến Bệnh viện Đa khoa MEDLATEC kiểm tra.
Tại đây, cô N. được PGS.TS Hoàng Thị Phượng - Chuyên gia tại Hệ thống Y tế MEDLATEC, Nguyên Trưởng khoa Lao và Bệnh phổi, Viện Phổi Trung ương; Phó Chủ nhiệm Bộ môn Nội Khoa Y, Trường Đại học Y dược - Đại học Quốc gia Hà Nội, trực tiếp thăm khám.
Qua khám lâm sàng, ghi nhận tình trạng hạch nổi ở cả hai bên cổ với kích thước không đồng đều, gây đau khi ấn và có khả năng di động. Ngoài ra, hạch cũng xuất hiện ở vùng nách và bẹn. Để làm rõ tình trạng hạch, bác sĩ chỉ định thực hiện các xét nghiệm thường quy và chẩn đoán hình ảnh.
Kết quả siêu âm phần mềm và vú ghi nhận hình ảnh hạch ở vùng cổ hai bên với cấu trúc rốn hạch còn rõ, kèm theo các hạch ở hố nách và tình trạng giãn ống tuyến vú phải. Chụp CT phổi độ phân giải cao (64-128D) cho thấy hạch ở trung thất, vùng cổ, cơ ngực và hố nách hai bên, cùng với một nốt kính mờ ở thùy dưới phổi trái.
Với các kết quả này, PGS. Phượng hướng tới khả năng chẩn đoán u lympho, hoặc lao hạch. Sau đó, cô N. được chỉ định thực hiện thêm các xét nghiệm giải phẫu bệnh và hóa mô miễn dịch từ mẫu hạch cổ để xác định bản chất tổn thương. Kết quả ghi nhận:
● Xét nghiệm tế bào học: Mẫu chọc lại từ hạch cổ nghi ngờ lymphoma.
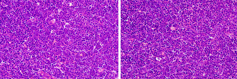
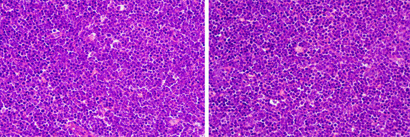
● Xét nghiệm mô bệnh học: Mẫu sinh thiết có hình ảnh gợi ý u lympho không Hodgkin.
![]() |
Hình ảnh mô bệnh học của bệnh nhân hướng đến U lympho không Hodgkin |
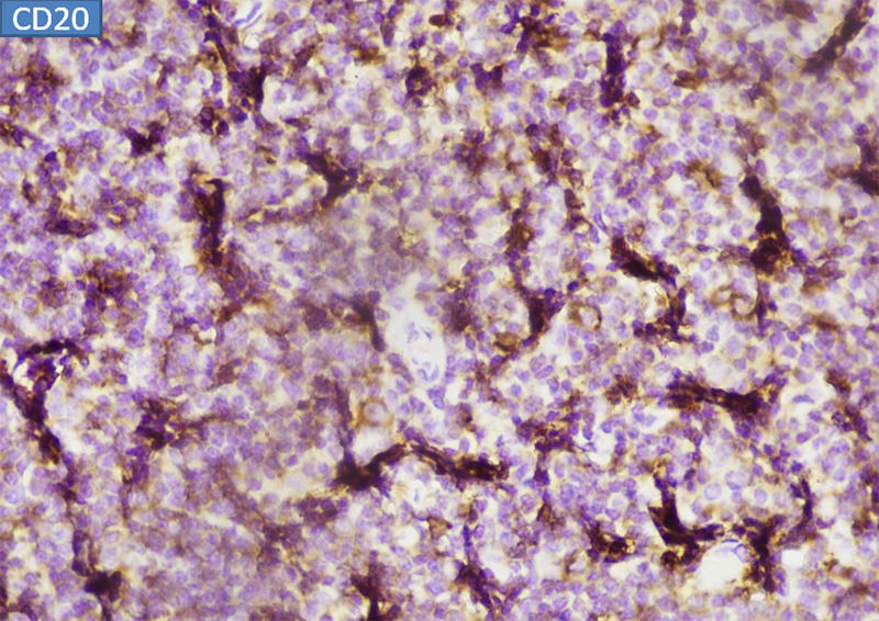
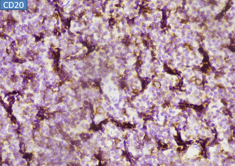
● Xét nghiệm hóa mô miễn dịch: Phù hợp với u tế bào lympho B, loại lympho bào nhỏ (Small lymphocytic lymphoma/Chronic lymphocytic leukemia) với dấu ấn CD3, CD20, CD23 dương tính, dấu ấn Cyclin D1 âm tính.
![]() |
Kết quả xét nghiệm hóa mô miễn dịch phù hợp với u tế bào lympho B, loại lympho bào nhỏ với dấu ấn CD20 dương tính |
Dựa trên các kết quả lâm sàng và cận lâm sàng, chẩn đoán xác định là u tế bào lympho B, loại lympho bào nhỏ (Small lymphocytic lymphoma/Chronic lymphocytic leukemia).
Bệnh nhân sau đó được chuyển đến bệnh viện chuyên khoa ung bướu huyết học điều trị.
Phát hiện sớm - “Chìa khóa” vàng giúp điều trị u lympho hiệu quả
U tế bào lympho B, loại lympho bào nhỏ là tình trạng các tế bào lympho phân chia và phát triển một cách bất thường dẫn đến mất kiểm soát. Có khoảng 90% các trường hợp được phát hiện là ung thư không Hodgkin, còn lại là ung thư Hodgkin. Hầu hết các trường hợp u lympho Hodgkin có tiên lượng cũng như hiệu quả điều trị tốt hơn ung thư không Hodgkin.
![]() |
Theo thống kê của Tổ chức Ung thư toàn cầu (GLOBOCAN) năm 2022, Việt Nam ghi nhận hơn 3.500 ca mắc u lympho, với trên 2.200 trường hợp tử vong, xếp thứ 13 trong các loại ung thư phổ biến tại Việt Nam.
Một số yếu tố nguy cơ làm tăng nguy cơ mắc bệnh có thể kể đến là:
● Di truyền: Những gia đình có người thân bị các bệnh về máu, hay u lympho thì các thành viên còn lại thuộc nhóm đối tượng có nguy cơ cao mắc bệnh.
● Tuổi, giới tính: Tuổi càng cao thì nguy cơ bị u lympho càng tăng. Bệnh thường gặp ở người từ 65-70 tuổi, trong đó nam giới chiếm đa số.
● Môi trường: Những người thường xuyên tiếp xúc với các loại hóa chất độc hại như môi trường làm việc, thuốc nhuộm, thuốc trừ sâu, thuốc diệt cỏ… thường dễ bị u lympho.
● Suy giảm miễn dịch: Những người bị nhiễm HIV, hoặc mắc các bệnh tự miễn như viêm khớp dạng thấp, ghép tạng… cũng được xem là đối tượng nguy cơ phát triển u lympho.
● Nhiễm khuẩn: Một số loại vi khuẩn có khả năng kích thích sự phát triển bất thường của hạch bạch huyết như Borrelia Burgdorferi, Chlamydia Psittaci, Campylobacter Jejuni, Helicobacter Pylori… hoặc một số loại virus như virus viêm gan C, EBV, CMV…
Ngoài ra, các yếu tố như sử dụng thuốc ức chế miễn dịch, sự thay đổi về địa lý, giới tính cũng có thể ảnh hưởng đến nguy cơ mắc bệnh.
Bác sĩ Võ Thành Lai - Trung tâm Giải phẫu bệnh, Hệ thống Y tế MEDLATEC cho biết, ở giai đoạn đầu, u lympho thường không có triệu chứng rõ ràng. Khi bệnh tiến triển, hạch có thể nổi lên ở nhiều vị trí như: cổ, nách, bẹn, kèm theo tình trạng lá lách to, thiếu máu. Bệnh tiến triển chậm và có nhiều phương pháp điều trị hiệu quả. Mục đích của việc điều trị là kiểm soát bệnh. Hầu hết người bệnh phải sống chung với u lympho trong nhiều năm.
Những trường hợp được chẩn đoán ở giai đoạn sớm sẽ có tiên lượng tốt hơn, triển vọng hơn so với những người phát hiện bệnh ở giai đoạn muộn, giai đoạn tiến triển. Nếu không điều trị kịp thời, bệnh có thể tiến triển thành dạng ung thư máu khác, có mức độ ác tính, diễn biến nhanh, khó điều trị hơn.
Triệu chứng thường gặp của bệnh là nổi hạch ở vùng cổ, vùng nách, hạch bẹn... kéo dài trong nhiều tháng, thậm chí nhiều năm.
Bác sĩ Lai khuyến cáo, khi thấy cơ thể xuất hiện các hạch bất thường, người dân nên đến cơ sở y tế uy tín để thăm khám và đánh giá kỹ hơn. Việc xác định, chẩn đoán và điều trị u lympho cần được thực hiện bởi bác sĩ chuyên khoa được đào tạo bài bản và giàu kinh nghiệm, cùng sự hỗ trợ của trang thiết bị y tế hiện đại. Điều này đảm bảo độ chính xác, an toàn và hiệu quả điều trị bệnh.
Kỹ thuật đầu tay để chẩn đoán các bệnh lý về nhóm này là tế bào học ở hạch, đây là kỹ thuật đơn giản, lấy mẫu khá dễ, giá thành rẻ, được ứng dụng rộng rãi. Tuy nhiên, kỹ thuật này chỉ có vai trò trong sàng lọc, không có vai trò trong chẩn đoán xác định. Để đưa ra chẩn đoán chính xác, bác sĩ sẽ thực hiện xét nghiệm giải phẫu bệnh từ mẫu sinh thiết hạch, bao gồm mô bệnh học và hóa mô miễn dịch.
Các xét nghiệm trên đều được triển khai tại Hệ thống Y tế MEDLATEC với thời gian trả kết quả tối ưu chỉ từ 3-5 ngày.
Trung tâm Giải phẫu bệnh MEDLATEC - Địa chỉ tin cậy của người dân và bác sĩ trên toàn quốc
![]() |
Trung tâm Giải phẫu bệnh MEDLATEC có năng lực thực hiện hơn 150.000 mẫu xét nghiệm mỗi năm |
Trong suốt hành trình gần 30 năm đồng hành chăm sóc sức khỏe người dân, Hệ thống Y tế MEDLATEC luôn thấu hiểu rằng để nâng cao chất lượng khám chữa bệnh, bác sĩ lâm sàng cần có trong tay công cụ bắt buộc là xét nghiệm và kỹ thuật chẩn đoán hình ảnh.
Theo đó, Hệ thống Y tế MEDLATEC đặc biệt chú trọng đầu tư phát triển Trung tâm Xét nghiệm, Trung tâm Chẩn đoán hình ảnh 4.0 và Trung tâm Giải phẫu bệnh công nghệ cao.
Thực hiện xét nghiệm/gửi mẫu xét nghiệm tại Trung tâm Giải phẫu bệnh MEDLATEC, người dân/ bác sĩ hoàn toàn an tâm chất lượng, bởi sở hữu những năng lực vượt trội như sau:
● Trang bị đồng bộ hệ thống máy móc, trang thiết bị hiện đại như: Máy nhuộm tiêu bản tự động Compass Stain, máy nhuộm tiêu bản hóa mô tự động, hệ thống kính hiển vi hiện đại, máy đúc khối nến, mắt cắt tiêu bản, máy chuyển bệnh phẩm tự động…
● Là đơn vị y tế đầu tiên sở hữu dịch vụ xét nghiệm đạt Thương hiệu Quốc gia Việt Nam và tiên phong quản lý chất lượng xét nghiệm bằng hai tiêu chuẩn quốc tế song hành CAP, ISO 15189:2012.
● Có năng lực đáp ứng hơn 150.000 xét nghiệm mỗi năm gồm: tế bào học, mô bệnh học, hóa mô miễn dịch và đột biến gen. Thời gian trả kết quả nhanh, kịp thời để phục vụ tối đa nhu cầu chẩn đoán chính xác các bệnh lý u, nghi ngờ u.
● Được hỗ trợ hội chẩn liên viện, trực tuyến cùng chuyên gia đầu ngành ở trong nước và quốc tế (Pháp, Mỹ, Nhật Bản) theo yêu cầu để bảo đảm giải quyết đầu ra chính xác nhất cho khách hàng.
Người dân vui lòng liên hệ tổng đài MEDLATEC 1900 56 56 56 để được hỗ trợ đặt lịch thăm khám/ xét nghiệm kịp thời.



