Người phụ nữ 58 tuổi nhập viện điều trị cấp cứu vì thói quen hay gặp
(PLVN) - Hai lần mắc viêm tụy do tăng Triglycerid, nhưng người phụ nữ 58 tuổi, ở Hà Nội vẫn tiếp tục chủ quan không tuân thủ điều trị mỡ máu. Xuất hiện bất thường sau 2 ngày, người phụ nữ đến Bệnh viện Đa khoa MEDLATEC thăm khám thì được chẩn đoán viêm tụy cấp cần phải điều trị tích cực và đặt Catheter tĩnh mạch trung tâm để xử trí cấp cứu .
Suýt gặp “cửa tử” do thói quen thường hay
Lo lắng sau 2 ngày xuất hiện đau bụng thượng vị, đau âm ỉ liên tục, lan sau lưng, chướng bụng, nôn, bệnh nhân nữ (58 tuổi, ở Hà Nội) quyết định đến Bệnh viện Đa khoa MEDLATEC thăm khám.
Khai thác tiền sử, bệnh nhân cho biết, bản thân bị viêm tuỵ cấp do tăng Triglycerid (lần đầu năm 2021, lần thứ hai năm 2022). Đặt 2 stent mạch vành năm 2023. Hiện bệnh nhân đang điều trị thuốc thuộc nhóm chống kết tập tiểu cầu, thuốc tăng huyết áp, nhưng không tuân thủ điều trị và theo dõi mỡ máu định kỳ.
Bác sĩ thăm khám, người bệnh bụng chướng hơi, ấn đau nhiều vùng thượng vị và sườn trái, phản ứng thành bụng (+), ấn điểm sườn lưng bên trái đau.
Đáng lưu ý kết quả xét nghiệm tiểu đường (HbA1c) tăng: 6,37%; Xét nghiệm đo lượng chất béo trung tính trong máu (Triglycerdide) tăng; Cholesterol tăng (14,11mmol/L); Lipemia tăng (759) cho biết độ đục có thể nhìn thấy trong các mẫu huyết thanh hoặc huyết tương; Lipase tăng (216,30 U/L) có ý nghĩa chẩn đoán các bệnh lý liên quan đến tuyến tụy.
![]() |
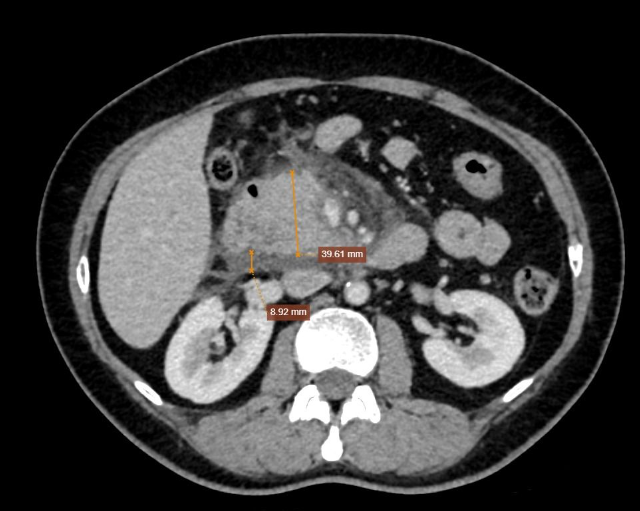
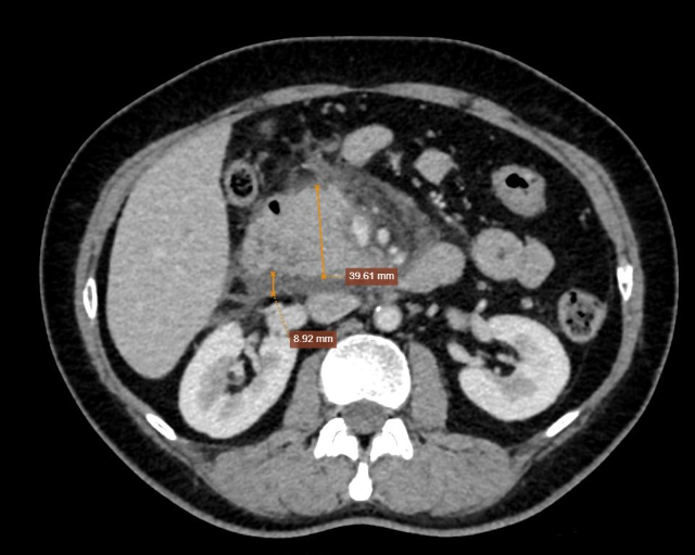
Hình ảnh đầu tụy tăng kích thước, đường kính xấp xỉ 40mm được ghi nhận trên phim chụp CT |
Chụp CT ổ bụng có đầu tụy tăng kích thước, đường kính xấp xỉ 40mm. Bờ tụy đều, xung quanh tụ dịch dày 8mm, dịch lan ra khoang cạnh thận phải, gốc mạc treo dày 5mm. Hình ảnh viêm tuỵ cấp (Balthazar D).
Dựa vào thăm khám, xét nghiệm, bệnh nhân có chẩn đoán xác định bị viêm tụy cấp Balthazar D do tăng Triglycerid - Stent mạch vành - Rối loạn chuyển hóa lipid máu.
Với sự giải thích và tư vấn tận tình của chuyên gia giàu kinh nghiệm, bệnh nhân nhanh chóng được hỗ trợ làm thủ tục nhập viện điều trị để tránh biến chứng nguy hiểm.
Đánh giá quá trình điều trị ca bệnh, BSCKI. Đào Việt Hưng - Chuyên khoa Nội, Bệnh viện Đa khoa MEDLATEC cho hay: “Đây là ca bệnh khó, vì bệnh nhân khó kiểm soát mỡ máu và mắc bệnh phối hợp, do đã đặt stent mạch vành, nên phải sử dụng hai nhóm thuốc hạ mỡ máu. Trong quá trình điều trị luôn là bài toán cần lời giải của cả chuyên khoa Nội tiết và Tim mạch. Nếu chỉ dùng một nhóm thuốc mỡ máu cụ thể (Statin) để ổn định mạch vành thì có thể mỡ máu Triglycerid cũng sẽ tăng lên và gây viêm tụy cấp tái phát lần 3”.
Ngoài ra, bác sĩ Hưng chỉ ra “sai lầm” bệnh nhân mắc phải là bị tăng mỡ máu hỗn hợp, nhưng không tuân thủ điều trị và theo dõi định kỳ mỡ máu. Đồng thời, bác sĩ cho biết thêm: “Mỡ Triglycerid lại tăng lên cao. Dùng một nhóm Statin có thể chưa kiểm soát được Triglyceride. Nên khi tăng Triglycerid gây viêm tụy cấp, đây có thể là nguyên nhân gây bệnh tái phát lần 3. Vì vậy, để kiểm soát bệnh tốt nhất, người bệnh cần duy trì mỡ máu đều đặn; Tuân thủ điều trị, tái khám định kỳ; Theo khuyến cáo tăng Triglyceride ưu tiên kiểm soát nhóm Fibrat”.
![]() |
BSCKI. Đào Việt Hưng - Chuyên khoa Nội thực hiện đặt Catheter tĩnh mạch trung tâm trong cho ca viêm tụy cấp nặng, do tăng Triglyceride máu |
Viêm tụy cấp nếu không được điều trị kịp thời có thể gây biến chứng nguy hiểm như suy đa tạng, sốc nhiễm khuẩn, nhiễm trùng tại tụy, chảy máu trong ổ bụng, hoặc biến chứng xa hơn là áp xe tụy, nang giả tụy, nguy cơ viêm tụy tái phát.
Tuy nhiên, ở bệnh nhân này, ekip bác sĩ thực hiện điều trị bằng đặt Catheter tĩnh mạch trung tâm, truyền tĩnh mạch Insullin liên tục 6 UI/h, dinh dưỡng tĩnh mạch, PPI, thuốc giảm đau, hạ mỡ máu, giảm nôn và tạm nhịn ăn. Sau 7 ngày điều trị tích cực, bệnh nhân được xuất viện với toàn trạng ổn định, tỉnh táo, ăn uống được và đại tiểu tiện bình thường.
May mắn thoát khỏi “cửa tử”, người phụ nữ này gửi lời cảm ơn ekip bác sĩ đã phát hiện, điều trị chính xác với trình độ chuyên môn sâu, cũng như tận tình thăm hỏi, chia sẻ và hướng dẫn trong suốt thời gian nằm viện bằng trái tim y đức của người thầy thuốc.
Thoát khỏi bệnh lý tim mạch nhờ kiểm tra định kỳ
Nếu nữ bệnh nhân 58 tuổi tự ý không tuân thủ điều trị mỡ máu mà 3 lần phải điều trị viêm tuỵ cấp, thì nam bệnh nhân Đ.Q.S (45 tuổi, Thái Bình) dù không có triệu chứng nhưng vẫn kiểm tra sức khỏe định kỳ. Trong lần đi khám định kỳ, anh S., vô tình phát hiện có tăng mỡ máu và nghi ngờ bệnh lý mạch vành do vữa xơ.
Với thói quen ít hoạt động thể lực, thừa cân, xét nghiệm có rối loạn chuyển hóa lipid máu, điện tim có nghi ngờ thiếu máu cơ tim, vì vậy, bác sĩ tư vấn anh S., chụp MSCT mạch vành.
Không nằm ngoài dự báo của bác sĩ, kết quả chụp MSCT của anh S., có vữa xơ gây hẹp đáng kể động mạch vành phải và động mạch liên thất trước.
BS.CKII Trần Hải Nam - Chuyên khoa Tim mạch, Phòng khám Đa khoa MEDLATEC Thanh Xuân chia sẻ: Bệnh xơ vữa động mạch nếu không được phát hiện và điều trị kịp thời có thể gây hậu quả nghiêm trọng như nhồi máu cơ tim, đột quỵ, thậm chí là tử vong. Trường hợp của anh S., đã được bác sĩ kê đơn điều trị mỡ máu kịp thời, ngăn ngừa vữa xơ động mạch vành, chống kết tập tiểu cầu để dự phòng biến chứng hội chứng vành cấp và nhồi máu cơ tim.
![]() |
Kiểm tra sức khỏe định kỳ giúp người dân an tâm kiểm soát sức khỏe tốt nhất |
Ngoài ra, bệnh nhân được bác sĩ tư vấn phòng bệnh và kiểm tra định kỳ gồm:
· Thay đổi/ điều chỉnh lối sống sinh hoạt, kết hợp tăng cường hoạt động thể thao;
· Theo dõi sức khỏe định kỳ 3 tháng/ lần;
· Kiểm soát mỡ máu để tránh biến chứng xơ vữa động mạch;
· Tránh không để căng thẳng, lo âu;
· Giảm cân, hoặc bỏ hút thuốc lá, thuốc lào (nếu có hút).
Tết Nguyên đán là dịp mỗi gia đình đoàn tụ, quây quần bên nhau và cùng thưởng thức các món ăn truyền thống như bánh chưng, bánh tét, giò chả, nem rán... cùng các loại bánh kẹo, mứt tết, nước ngọt, bia, rượu.. Nhưng những đồ ăn, thức uống của những mâm cỗ thịnh soạn ngày Tết cùng chế độ sinh hoạt bị đảo lộn, ít vận động sẽ trở thành tác nhân làm trầm trọng hơn với người mắc bệnh tiểu đường, mỡ máu, gan mật...
Kỳ nghỉ Tết Nguyên đán vừa khép lại, nhưng có lẽ dư âm với bệnh nhân tiểu đường, mỡ máu thì chỉ “người trong cuộc” mới hiểu. Bên cạnh đó có sự nơm nớp lo lắng ở những người có yếu tố nguy cơ như thừa cân, béo phì, ít vận động, hoặc có chế độ ăn nhiều dầu mỡ, ít chất xơ...
![]() |
Kiểm tra sức khỏe định kỳ, người dân an tâm được bác tư vấn kịp thời |
Theo đó, để an tâm năm mới khỏe mạnh, BS.CKII Trần Hải Nam khuyên người dân nên thực hiện ăn uống khoa học, duy trì lối sống lành mạnh và đi kiểm tra định kỳ. Từ kết quả khám, xét nghiệm người dân sẽ biết tình trạng sức khỏe của mình để điều trị, hoặc phòng bệnh bằng điều chỉnh chế độ ăn uống và luyện tập theo tư vấn của bác sĩ.
![]() |
MEDLATEC tặng 25.000 Gói khám và Gói xét nghiệm đường máu, mỡ máu cho tất cả người dân đến hết ngày 28/2 |
Nhằm giúp người dân an tâm kiểm soát bệnh lý tiểu đường, mỡ máu - nguyên nhân hàng đầu gây xơ vữa cứng, hẹp, tắc động mạch mạch não, mạch vành tim… từ nay đến hết ngày 28/2/2025, Hệ thống Y tế MEDLATEC tặng 25.000 Gói khám và Gói xét nghiệm đường máu, mỡ máu. Chương trình áp dụng tại Hệ thống Bệnh viện/ Phòng khám và dịch vụ lấy mẫu xét nghiệm tận nơi toàn quốc.
Để không bỏ lỡ chương trình đặc biệt ý nghĩa này, quý khách hàng vui lòng đăng ký tại đây, hoặc gọi qua tổng đài toàn quốc 1900 56 56 56.




