Người phụ nữ 48 tuổi bất ngờ cắt tử cung hoàn toàn sau lầm tưởng do viêm nhiễm
(PLVN) - Xuất hiện dấu hiệu mơ hồ như ra huyết trắng, ra máu âm đạo khi quan hệ… có không ít chị em nghĩ rằng do viêm nhiễm thông thường nên chủ quan. Cũng với biểu hiện “thoáng qua” đó, người phụ nữ 48 tuổi đi khám tá hỏa vì phải cắt tử cung hoàn toàn.
Cảnh giác mắc ung thư từ dấu hiệu mơ hồ
Thời gian gần đây, chị T.M.H, 48 tuổi, ở Hà Nội xuất hiện ra dịch âm đạo kèm theo ngứa, ban đầu chị nghĩ do viêm nhiễm thông thường nên phớt lờ cho qua. Nhưng 1 tháng sau tình trạng này không thuyên giảm mà tiếp tục diễn biến với mức độ nặng hơn.
Sau những khó chịu, phiền toái trong sinh hoạt, chị H.,quyết định đến Phòng khám Đa khoa MEDLATEC thăm khám.
BSCKI. Dương Ngọc Vân - Chuyên khoa Sản phụ trực tiếp thăm khám bệnh nhân cho biết: Khám phụ khoa âm đạo nhiều dịch vàng, cổ tử cung có nang Naboth, lộ tuyến, tăng sinh mạch. Vì vậy, để tìm chính xác căn nguyên gây nên dấu hiệu bất thường đó, ngay trong quá trình thăm khám, bệnh nhân được lấy mẫu dịch âm đạo làm xét nghiệm tìm nguyên nhân gây viêm nhiễm và xét nghiệm sàng lọc ung thư cổ tử cung (HPV và Thinprep).
Kết quả xét nghiệm của chị H., dương tính với 12 type HPV nguy cơ cao. Xét nghiệm tế bào Thinprep có kết quả ASGUS (Tế bào tuyến không điển hình ý nghĩa chưa xác định). Thực hiện soi cổ tử cung nhiều cửa tuyến, tăng sinh mạch mép dưới CTC. Test acid acetic có vết trắng điển hình vị trí 12h-1h cổ tử cung.
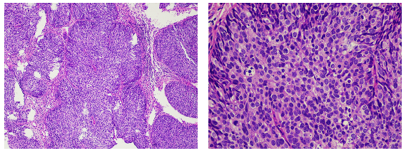
![]() |
Sinh thiết cổ tử cung cho kết quả Carcinoma vảy tại chỗ (CIS) |
Đặc biệt, dựa vào tiêu chuẩn “vàng” - xét nghiệm giải phẫu bệnh cho kết quả Carcinoma (ung thư biểu mô) vảy tại chỗ (CIS). Sau đó, bệnh nhân được chuyển đến Bệnh viện Phụ sản TW điều trị gồm cắt tử cung hoàn toàn và hai phần phụ.
Cầm kết quả trên tay, chị H., buồn bã thở dài: “Trước đây tôi và gia đình chưa phát hiện bất thường nào. Biết kết quả như vậy, tôi như sét đánh ngang tai, rụng rời cả chân tay, nào ngờ rằng lần đi khám chỉ nghĩ là xem viêm nhiễm thế nào mà lại phát hiện mình mắc căn bệnh quái ác và nguy hiểm đó. Đến giờ tôi vẫn chưa tin đây là sự thật!”.
BS Vân chia sẻ, cùng với chị H., có không ít trường hợp đến Hệ thống Y tế MEDLATEC thăm khám vô tình, hoặc đi khám chỉ xuất hiện triệu chứng mơ hồ nhưng lại phát hiện mắc các bệnh ung thư phụ khoa nguy hiểm như ung thư cổ tử cung, ung thư buồng trứng, ung thư nội mạc tử cung. Nguyên nhân của những trường hợp phát hiện muộn này đều do chủ quan không đi khám định kỳ, khi khối u di căn khiến điều trị gặp khó khăn và hiệu quả thấp.
Ung thư cổ tử cung diễn biến từ 15 đến 20 năm, phát hiện sớm bằng cách nào?
Ung thư cổ tử cung (CTC) là ung thư hay gặp ở nữ giới trên thế giới cũng như Việt Nam, tuổi cao từ 40-49 tuổi.
HPV là virus gây u nhú ở người và là nguyên nhân chính gây ung thư CTC (chiếm 90%). Hiện có khoảng hơn 200 type HPV khác nhau, trong đó HPV 16, 18 là type nguy hiểm nhất, chiếm khoảng 70% trường hợp ung thư CTC.
HPV có thể tự thoái lui từ 6 tháng đến 2 năm khi dưới 35 tuổi. Nếu không được phát hiện và tồn tại kéo dài dẫn đến tổn thương LSIL (Tổn thương nội biểu mô vảy độ thấp) và HSIL (Tổn thương nội biểu mô vảy độ cao) là các tổn thương tiền ung thư có nguy cơ tiến triển thành ung thư CTC tăng dần theo thời gian.
Ung thư CTC thường tiến triển thầm lặng trong thời gian dài từ 15-20 năm với phụ nữ có hệ miễn dịch bình thường, từ 5-10 năm với phụ nữ có hệ miễn dịch yếu.
![]() |
Ung thư cổ tử cung tăng cơ hội điều trị thành công khi phát hiện bệnh ở giai đoạn đầu |
Mặc dù là bệnh hay gặp, gây nguy hiểm, nhưng nếu được phát hiện sớm sẽ tăng cơ hội chữa trị thành công cao. Cụ thể, ung thư CTC ở giai đoạn muộn thời gian tiên lượng sống sau 5 năm thấp. Giai đoạn III: Tỷ lệ sống trên 5 năm là 25-35%, giai đoạn IV: Tỷ lệ sống trên 5 năm là dưới 15%.
Để phòng tránh ung thư CTC, BS Vân lưu ý, bệnh có thời gian tiến triển chậm, giai đoạn tiền lâm sàng kéo dài, là cơ sở cho việc sàng lọc, phát hiện sớm, từ đó tăng hiệu quả điều trị. Do đó, phụ nữ đừng đợi có triệu chứng rồi mới đi khám mà nên chủ động đi khám, tầm soát định kỳ. Hoặc đi tầm soát ngay nếu xuất hiện các dấu hiệu bất thường như: Chảy máu bất thường ở âm đạo, đau vùng chậu, tiểu bất thường…
Tầm soát ung thư CTC được thực hiện thế nào?
Theo các chuyên gia y tế nên tầm soát ung thư cổ tử cung cho phụ nữ từ tuổi 21 trở lên (khi đã có quan hệ tình dục), đặc biệt phổ biến nhất là từ độ tuổi 35 - 44 tuổi.
![]() |
Kiểm tra sức khỏe định kỳ, người dân an tâm phát hiện sớm các mầm bệnh |
Để việc tầm soát ung thư đạt hiệu quả và không bỏ sót giai đoạn vàng phát hiện bệnh, chị em nên định kỳ kiểm tra từ 1-3 năm/lần, nhất là những người có yếu tố nguy cao như thường xuyên hút thuốc lá, quan hệ tình dục sớm, quan hệ tình dục với nhiều bạn tình, quan hệ không an toàn, sinh con sớm (dưới 17 tuổi), viêm cổ tử cung, mãn kinh...
![]() |
Dễ dàng sàng lọc sớm, chính xác ung thư CTC bằng hệ thống xét nghiệm chuyên sâu, hiện đại |
Để tầm soát ung thư cổ tử cung, chị em sẽ được chỉ định thực hiện một trong các xét nghiệm sau:
• Xét nghiệm tế bào học (Pap Test cổ điển/ Thin PAP-PAP nhúng dịch): Được thực hiện thường quy, nhưng độ nhạy thấp (Pap cổ điển: độ nhạy thấp 40-50%, Pap nhúng dịch (ThinPrep): độ nhạy cao hơn 50-75%) và còn phụ thuộc chủ quan của người đọc.
• Xét nghiệm HPV DNA: Là xét nghiệm đầu tay tầm soát sớm ung thư cổ tử cung với độ nhạy từ 99-100%, phát hiện 14 chủng HPV nguy cơ cao, trong đó có HPV type nguy cơ cao gây ung thư CTC- type 16, 18. Hiện nay, Bộ Y tế đã đưa vào hướng dẫn quốc gia dùng xét nghiệm HPV DNA để tầm soát ung thư cổ tử cung cho phụ nữ từ 25 tuổi trở lên và nếu kết quả âm tính thì cần làm lại xét nghiệm từ 3-5 năm sau.
• Soi cổ tử cung: Lấy mẫu làm giải phẫu bệnh xác định chính xác có tế bào ác tính hay không, từ đó có cơ sở điều trị sớm cho người bệnh.
• Chẩn đoán hình ảnh:
+ Siêu âm: Sàng lọc, chẩn đoán giai đoạn ung thư cổ tử cung, phát hiện các di căn hạch chậu, hạch ổ bụng...
+ Chụp CT, MRI: Đánh giá tổn thương ngoài cổ tử cung như di căn gan, phổi xương, hạch... để chẩn đoán giai đoạn và có phác đồ điều trị phù hợp.
Nhằm giúp chị em an tâm chủ động sàng lọc sớm ung thư CTC, cũng như có hành trình mang thai an toàn, khỏe mạnh, từ nay đến hết 31/10/2024, Hệ thống Bệnh viện/Phòng khám Đa khoa MEDLATEC tại khu vực Hà Nội triển khai ưu đãi khủng, gồm:
![]() |
Cơ hội miễn phí khám sản phụ khoa và ưu đãi tầm soát ung thư cổ tử cung tại MEDLATEC được diễn ra đến hết ngày 30/10/2024 |
• Miễn phí khám chuyên khoa Sản phụ khoa, giảm 10% HPV Genotype PCR Hệ thống tự động;
• Miễn phí khám chuyên khoa Sản phụ khoa, giảm 20% nội soi cổ tử cung;
• Miễn phí khám thai, giảm 20% siêu âm thai 4D.
Với gần 30 năm kinh nghiệm, Hệ thống Y tế MEDLATEC hiện là địa chỉ uy tín đồng hành chăm sức khỏe của 5 triệu người dân mỗi năm. Theo đó, lựa chọn thăm khám các bệnh lý/ tầm soát sớm ung thư nói chung, khám chuyên khoa Sản phụ và tham gia chương trình ưu đãi nói riêng, khách hàng hoàn toàn an tâm chất lượng bởi những năng lực vượt trội về quy tụ đội ngũ chuyên gia đầu ngành, giàu kinh nghiệm thăm khám và tư vấn.
Bên cạnh đó, khách hàng hoàn toàn an tâm chất lượng chẩn đoán chính xác với hệ thống máy móc hiện đại, đồng bộ được đầu tư tại Trung tâm Xét nghiệm, Trung tâm Giải phẫu bệnh, Trung tâm Chẩn đoán hình ảnh cùng dàn máy móc chuyên dụng của chuyên khoa sâu… bảo đảm đáp ứng tối đa nhu cầu khám chữa bệnh của người dân.
Thông tin chi tiết về dịch vụ khám chữa bệnh và chương trình ưu đãi, người dân vui lòng gọi ngay hotline 1900 56 56 56 để được hỗ trợ kịp thời.




