Nam thanh niên sốc vì phát hiện ung thư gan ngay khi khỏe mạnh
(PLVN) - Tình cờ đi kiểm tra sức khỏe định kỳ khi cơ thể không có bất kỳ dấu hiệu khó chịu nào, nam thanh niên 36 tuổi, trú tại Hà Nội vô cùng sốc với kết quả ung thư biểu mô tế bào gan. Nguyên nhân gây bệnh lại do chính thói quen nhiều người vẫn thường mắc .
Mắc ung thư gan sự chủ quan hay gặp ở nhiều người
Trong lần kiểm tra định kỳ mới đây tại Bệnh viện Đa khoa MEDLATEC, bệnh nhân và gia đình vô cùng bất ngờ với kết luận ung thư biểu mô tế bào gan.
Nhận kết quả trong sự bàng hoàng, bệnh nhân chia sẻ: “Trong lần khám này, tôi không xuất hiện bất kỳ dấu hiệu bất thường nào như không đau tức ngực, không ho, không khó thở, không gầy sụt cân, không đau bụng, ăn uống bình thường và đại tiểu tiện bình thường nên vẫn nghĩ sức khỏe ổn định như mọi lần. Tôi vô cùng ân hận không “nghe lời” bác sĩ, vì bỏ mặc không điều trị, theo dõi viêm gan B mà hậu quả để lại khôn lường này”.
Dựa vào tiền sử viêm gan B nhiều năm, bác sĩ chỉ định bệnh nhân thực hiện các xét nghiệm đánh giá sức khỏe của lá gan gồm xét nghiệm, siêu âm đo độ đàn hồi mô gan.
Thăm khám cơ quan, bộ phận bình thường. Siêu âm tổng quát có đàn hồi mô gan: hình ảnh khối giảm âm trong gan/Gan nhiễm mỡ độ II. Độ cứng gan tương đương F2 (theo Metavir-LB).
Sau đó, bệnh nhân được chỉ định chụp CT ổ bụng để chẩn đoán xác định tình trạng lá gan. Hình ảnh chụp CT xuất hiện các nốt tổn thương gan phải nghĩ đến các ổ áp xe do sán.
Xét nghiệm chức năng gan, men gan tăng, viêm gan B (dương tính), xét nghiệm đo tải lượng virus HBV-DNA tăng: 2.940.000 (IU/mL) và HBV-DNA tăng tương đương 14.700.000 Copies/mL.
Xét nghiệm PIVKA-II có giá trị hỗ trợ chẩn đoán, theo dõi đáp ứng điều trị, tái phát và tiên lượng ung thư biểu mô tế bào gan tăng cao (kết quả 255 mAU/mL, bình thường <40.0). Xét nghiệm Glucose máu đói và chỉ số đường huyết HbA1C đều tăng.
Đặc biệt, tiêu chuẩn “vàng” - sinh thiết gan phải dưới hướng dẫn siêu âm cho kết quả Carcinoma tế bào gan biệt hoá vừa.
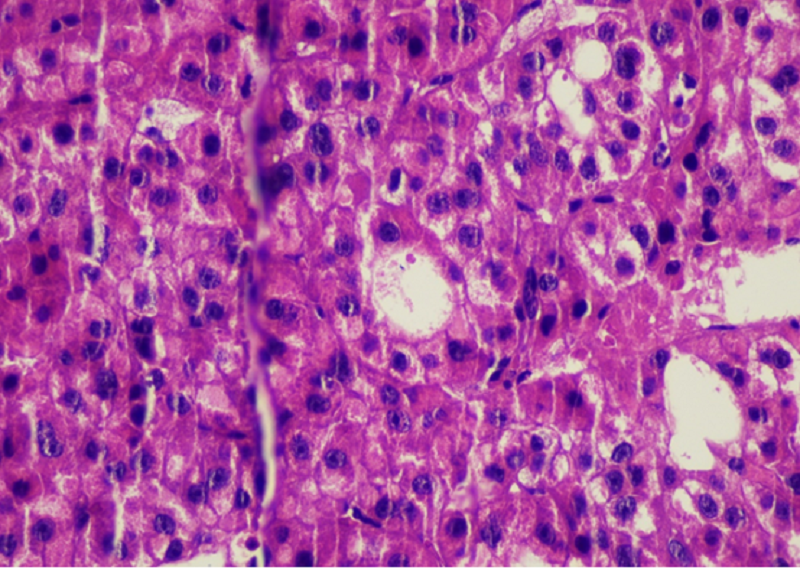
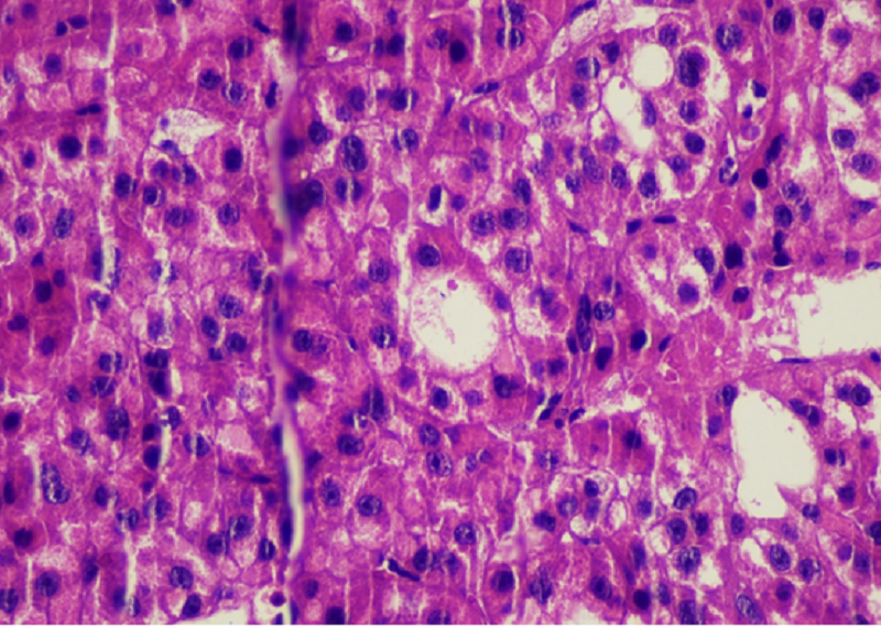
![]() |
Hình ảnh Carcinoma tế bào gan biệt hoá vừa trên kết quả giải phẫu của bệnh nhân. |
Dựa vào các kết quả xét nghiệm, chẩn đoán hình ảnh và giải phẫu bệnh, kết quả chẩn đoán xác định của bệnh nhân là Carcinoma tế bào gan/Viêm gan B mạn và đái tháo đường type 2
Sau đó, bệnh nhân được bác sĩ giải thích về kết quả Carcinoma tế bào gan (còn gọi là ung thư biểu mô tế bào gan), đây là tổn thương ác tính của các tế bào biểu mô nhu mô gan, nếu phát hiện muộn thì tiên lượng xấu và tỷ lệ tử vong cao.
Hiện tại sau hai đợt điều trị bằng nút mạch, đốt sóng cao tần, bệnh nhân may mắn có sức khỏe ổn định, xét nghiệm lại các marker ung thư gồm AFP, PIVKA-II về giá trị bình thường và sức khỏe được bình phục trở lại.
Mắc viêm gan B có nguy cơ ung thư gan cao gấp 200 lần, cần làm gì?
Viêm gan B là một trong những bệnh truyền nhiễm hay gặp, diễn biến thầm lặng nên người dân không được chủ quan.
Bệnh viêm gan B do virus HBV gây ra, có nguy cơ lây nhiễm gấp 100 lần so với HIV. Khi bị nhiễm virus viêm gan B, đa số trường hợp (90%) người trưởng thành sẽ có khả năng loại virus viêm gan B ra khỏi cơ thể trong vòng 6 tháng và chỉ có khoảng 9-10% trở thành viêm gan B mạn tính. Khi bệnh chuyển thành viêm gan B mạn tính thì nguy cơ tiến triển thành xơ gan và ung thư gan là rất cao.
Các nghiên cứu cho thấy, khoảng 10-20% bệnh nhân xơ gan có thể biến thành ung thư gan. Bệnh nhân bị nhiễm virus B có xác suất ung thư gan cao gấp 200 lần người bình thường.
Ung thư gan giai đoạn đầu thường khó nhận biết, đa số các trường hợp phát hiện bệnh thường ở giai đoạn tiến triển, lúc này gây tốn kém thời gian, chi phí điều trị, cũng như rút ngắn tuổi thọ của bệnh nhân.
![]() |
Kiểm tra sức khỏe định kỳ là cách kiểm soát tốt nhất sức khỏe lá gan. |
Theo BSNT. Trần Tiến Tùng - Chuyên khoa Truyền nhiễm, Bệnh viện Đa khoa MEDLATEC, để an tâm lá gan khỏe mạnh, người dân cần thực hiện các biện pháp phòng tránh như sau:
- Tiêm phòng vaccine viêm gan B để tạo lá chắn thép bảo vệ sức khỏe, tránh mắc virus HBV;
- Kiểm tra định kỳ, nhất là những người có nguy cơ cao như người mắc bệnh về xơ gan, viêm gan B, C, hoặc đi kiểm tra ngay nếu có dấu hiệu bất thường như chán ăn, ăn không ngon miệng, chướng bụng, đầy hơi, mệt mỏi, sụt cân...
- Tránh uống bia rượu, hút thuốc lá, không ăn thực phẩm nấm mốc;
- Thực hiện chế độ ăn uống khoa học như tăng cường rau xanh, đồ ăn ít dầu mỡ, tránh sử dụng đồ chế biến sẵn và chế độ nghỉ ngơi hợp lý;
- Với những bệnh nhân đã được chẩn đoán mắc viêm gan B, C cần tuân thủ điều trị theo tư vấn của bác sĩ (nếu có), cũng như chủ động tầm soát ung thư gan định kỳ để phát hiện bệnh sớm, cũng như tăng hiệu quả chữa trị.
Cơ hội tầm soát ung thư, các bệnh lý gan mật cùng chuyên gia đầu ngành tại MEDLATEC
Theo số liệu thống kê của Globocan năm 2020, ở nước ta, ung thư gan có tỷ lệ bệnh nhân tử vong hàng đầu trong các bệnh ung thư hiện nay. Với mong muốn giúp người dân cả nước có cơ hội tầm soát sớm ung thư gan và kiểm soát các bệnh lý gan mật cùng chuyên gia đầu ngành, từ nay đến hết ngày 31/5/2023, MEDLATEC tổ chức chương trình miễn phí khám, tư vấn bệnh lý gan mật bởi các chuyên gia đầu ngành.
Theo đó, tham đăng ký tham gia chương trình này, khách hàng được miễn phí các danh mục sau:
- Miễn phí khám gan mật và tư vấn;
- Miễn phí siêu âm ổ bụng;
- Miễn phí xét nghiệm tầm soát nguy cơ ung thư gan (AFP).
![]() |
Chương trình miễn phí phát hiện sớm và điều trị bệnh lý gan mật của MEDLATEC áp dụng trên toàn quốc. |
Chương trình áp dụng tại Bệnh viện, chuỗi Phòng khám Đa khoa/ Phòng khám chuyên khoa MEDLATEC, hoặc khách hàng đăng ký Dịch vụ lấy mẫu xét nghiệm tận nơi trên toàn quốc.
Tham gia chương trình đặc biệt này, khách hàng có ngay cơ hội được khám, tư vấn miễn phí bởi chuyên gia Truyền nhiễm đầu ngành, giàu kinh nghiệm như PGS.TS Trịnh Thị Ngọc - Chuyên gia Truyền nhiễm, nguyên Trưởng Khoa Truyền nhiễm, Bệnh viện Bạch Mai, Phó Chủ tịch Hội Gan mật Việt Nam với 41 năm kinh nghiệm; PGS.TS Nguyễn Thị Vân Hồng - Nguyên Phó trưởng khoa Tiêu hóa, Bệnh viện Bạch Mai có gần 40 năm kinh nghiệm; TS.BS Trần Văn Giang, TS.BS Ngô Chí Cương, BSNT. Trần Tiến Tùng, ThS.BS Nguyễn Thị Thu Hương…
![]() |
Trong thời gian diễn ra chương trình, người dân có thể đặt lịch lấy mẫu xét nghiệm tận nơi để được miễn phí tầm soát nguy cơ ung thư gan. |
Đồng thời, MEDLATEC cam kết kết quả chẩn đoán đoán chính xác, tin cậy do toàn bộ mẫu xét nghiệm được phân tích tự động trên hệ thống máy thực hiện song hành hai tiêu quản lý quản lý chất lượng quốc tế là ISO 15189:2012 và CAP (Hoa Kỳ), cùng dàn máy chẩn đoán hình ảnh hiện đại, đồng bộ. Do vậy, tại Hệ thống Y tế MEDLATEC có đầy đủ năng lực đáp ứng từ cơ bản đến chuyên sâu các kỹ thuật kiểm tra, tầm soát sớm ung thư gan và các bệnh lý truyền nhiễm khác khi khách hàng có nhu cầu.
Để an tâm biết chính xác sức khỏe lá gan, quý khách hãy nhanh tay gọi ngay Tổng đài 1900 56 56 56, đăng ký app My Medlatec, hoặc đăng ký TẠI ĐÂY.



