MEDLATEC phẫu thuật thành công ca thủng tạng rỗng ở bệnh nhân 81 tuổi, mắc nhiều bệnh nền
Cụ ông 81 tuổi, ở Hà Nội mắc nhiều bệnh nền nguy hiểm, đặc biệt nguy cấp với chẩn đoán thủng tạng rỗng. Nhờ sự phối hợp nhịp nhàng giữa các cơ sở trong Hệ thống Y tế MEDLATEC, cụ may mắn được chữa trị thành công và xuất viện sau 5 ngày phẫu thuật.
Phát hiện bệnh chính xác nhờ sự thăm khám toàn diện, phối hợp chặt chẽ
Cụ Nguyễn Văn Tú (81 tuổi, ở Hà Nội) được gia đình đưa đến Phòng khám Đa khoa MEDLATEC Thanh Xuân khám trong tình trạng đau quặn bụng vùng thượng vị, lan quanh rốn và kéo dài liên tục.
Bệnh nhân cho biết có tiền sử đái tháo đường type 2 đang điều trị insulin và bệnh thận mạn giai đoạn IIIb - những yếu tố làm tăng nguy cơ biến chứng nặng.
Qua thăm khám lâm sàng, bác sĩ ghi nhận các dấu hiệu cảnh báo cấp cứu ngoại khoa như bụng đau liên tục, co cứng, phản ứng thành bụng rõ, kèm theo cơn tăng huyết áp khẩn cấp, huyết áp 220/115 mmHg.
Ngay lập tức, bệnh nhân được chỉ định thực hiện đồng bộ các xét nghiệm và chẩn đoán hình ảnh. Kết quả cho thấy: Glucose máu tăng cao 11.02 mmol/l; Ure/Creatinin 10.5/159.1; eGFR 37 ml/phút, tương ứng bệnh thận mạn giai đoạn IIIb.
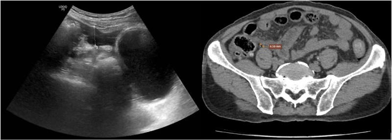
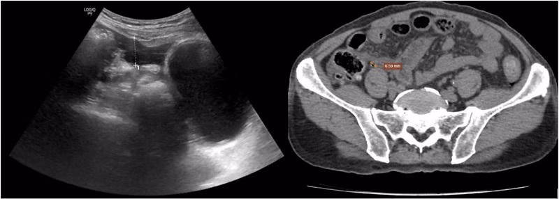
Kết quả chẩn đoán hình ảnh ghi nhận: Chụp X-quang có dấu hiệu liềm hơi dưới cơ hoành hai bên; Siêu âm có khí tự do ổ bụng, nghi thủng tạng rỗng vùng hành tá tràng; CT scanner ghi nhận nhiều dịch và khí tự do trong ổ bụng, hướng tới thủng tạng rỗng.

Dựa vào kết quả thăm khám trên, BSCKII. Trần Hải Nam - Chuyên khoa Tim mạch, Phòng khám Đa khoa MEDLATEC Thanh Xuân lập tức kết nối hội chẩn cùng BSCKII. Nguyễn Văn Thưởng - Trưởng Chuyên khoa Ngoại, Bệnh viện Đa khoa MEDLATEC .
Sau hội chẩn, bác sĩ đi đến xác định chẩn đoán: Thủng thành trước hành tá tràng giờ thứ 3/ Tăng huyết áp khẩn cấp/ Đái tháo đường type 2/ Bệnh thận mạn giai đoạn III.
Nhận định đây là tình huống nguy cấp, nếu không được xử trí kịp thời, có thể xảy ra biến chứng cho người bệnh. Vì vậy, ngay tại phòng khám, bệnh nhân được xử trí cấp cứu hạ huyết áp và giảm đau bằng thuốc đường tĩnh mạch, sau đó chuyển nhanh đến Bệnh viện Đa khoa MEDLATEC để phẫu thuật.
Phẫu thuật nội soi cấp cứu “vá” thành công lỗ thủng hành tá tràng
Với nhận định đây là trường hợp cấp cứu ngoại khoa phức tạp do bệnh nhân cao tuổi, lại có nhiều bệnh nền. Đặc biệt, tình trạng thủng hành tá tràng, nếu không xử trí kịp thời có thể dẫn đến viêm phúc mạc toàn thể, đe dọa tính mạng. Vì vậy, ngay khi bệnh nhân được chuyển tới Bệnh viện Đa khoa MEDLATEC đã được ekip bác sĩ chuyên khoa Ngoại thực phẫu thuật nội soi cấp cứu.
BSCKII. Nguyễn Văn Thưởng - Trưởng Chuyên khoa Ngoại, Bệnh viện Đa khoa MEDLATEC trực tiếp phẫu thuật ca bệnh chia sẻ: trong quá trình phẫu thuật, ekip ghi nhận ổ bụng có nhiều dịch đục, giả mạc tập trung tại vùng trước hành tá tràng, dưới gan và phúc mạc thành bụng, kèm tình trạng dính phức tạp giữa mạc nối lớn, dây chằng tròn với hành tá tràng.
Sau khi gỡ dính và làm sạch, các bác sĩ phát hiện lỗ thủng xơ chai tại mặt trước hành tá tràng kích thước khoảng 1 cm. Nhờ được phát hiện sớm từ tuyến phòng khám và chuyển viện kịp thời, ekip đã xử trí nhanh chóng, khâu kín lỗ thủng và làm sạch ổ bụng triệt để.
Sau phẫu thuật, bệnh nhân được theo dõi và điều trị tích cực. Được can thiệp kịp thời và xử trí đúng hướng, tình trạng sức khỏe của bệnh nhân cải thiện rõ rệt, ổn định và được xuất viện sau 5 ngày.
Hạnh phúc được hồi sinh sau cơn đau bụng thập tử nhất sinh, cụ Tú xúc động viết thư cảm ơn các y bác sĩ trong ekip đã giúp cụ vượt qua lằn ranh “sinh tử”.

“Ngày 1/2/2026, tôi bị đau bụng dữ dội, con tôi đã đưa tôi vào Bệnh viện MEDLATEC cấp cứu. Và tôi đã được các y bác sĩ cấp cứu thành công... Để có được sức khỏe như hôm nay, tôi chân thành cảm ơn Bệnh viện MEDLATEC, cảm ơn bác sĩ phẫu thuật Nguyễn Văn Thưởng, bác sĩ gây mê Đỗ Văn Khuê cùng toàn thể tập thể y bác sĩ khoa ngoại, Bệnh viện MEDLATEC đã tận tình cứu chữa, chăm sóc tôi trong quá trình tôi điều trị tại bệnh viện", cụ Tú chia sẻ.
Những lời chia sẻ giản dị, chân thành của bệnh nhân là minh chứng rõ nét cho chất lượng chuyên môn sâu, tinh thần tận tâm, y đức, nhiệt huyết vì người bệnh của đội ngũ y bác sĩ tại Hệ thống Y tế MEDLATEC.
Vì sao đau bụng không được chủ quan?
Theo bác sĩ Thưởng, đau bụng cấp được chia thành 3 nhóm chính gồm: đau tạng (đau lan tỏa, khó xác định vị trí), đau phúc mạc (đau khu trú rõ do kích thích phúc mạc) và đau liên quan (đau xuất hiện ở vị trí xa cơ quan bị ảnh hưởng do cùng chi phối thần kinh).

Nguyên nhân gây đau bụng cấp rất đa dạng, có thể xuất phát từ:
· Bệnh lý trong ổ bụng như viêm phúc mạc, viêm ruột thừa, viêm tụy cấp;
· Tình trạng tắc nghẽn như tắc ruột, sỏi niệu quản, sỏi mật;
· Bệnh lý sản phụ khoa;
· Các bệnh mạch máu nguy hiểm như nhồi máu ruột, vỡ phình động mạch chủ bụng;
· Hoặc do nguyên nhân ngoài ổ bụng như rối loạn chuyển hóa, bệnh lý thần kinh hoặc bệnh lý tim phổi.
Đáng chú ý, thủng tạng rỗng là một cấp cứu ngoại khoa đặc biệt nguy hiểm, có thể đe dọa tính mạng nếu không được phát hiện và xử trí kịp thời, nhất là ở người cao tuổi có nhiều bệnh nền như đái tháo đường, tăng huyết áp hay bệnh thận mạn.
Bác sĩ Thưởng khuyến cáo, người dân cần đến ngay cơ sở y tế khi có các dấu hiệu: đau bụng dữ dội, đột ngột; bụng cứng, ấn đau tăng; buồn nôn, nôn; bí trung đại tiện. Việc thăm khám sớm, can thiệp kịp thời đóng vai trò quyết định trong điều trị và tiên lượng bệnh.
Chuyên khoa Ngoại MEDLATEC - Địa chỉ tin cậy trong điều trị bệnh lý ngoại khoa
Với 30 năm kinh nghiệm, cùng thế mạnh quy tụ đội ngũ chuyên gia, bác sĩ đa chuyên khoa đầu ngành, giàu kinh nghiệm và đầy đủ trang thiết bị hiện đại; Hệ thống Y tế MEDLATEC có điều kiện tốt nhất phục vụ khám chữa bệnh đa chuyên khoa chất lượng cao. Riêng chuyên khoa Ngoại, Bệnh viện Đa khoa MEDLATEC đáp ứng toàn diện các kỹ thuật điều trị như:
· Phẫu thuật ung bướu: Cắt các loại u lành tính như u mỡ, u bã đậu …; các loại u ác tính: dạ dày, đại tràng,…
· Phẫu thuật tiêu hóa: Viêm ruột thừa, thủng tạng rỗng, tắc ruột cắt túi mật, cắt trĩ…
· Phẫu thuật tiết niệu: Sỏi thận, sỏi niệu quản, u phì đại tiền liệt tuyến…
· Phẫu thuật chấn thương: Gãy xương chi
· Phẫu thuật nam khoa: Cắt bao quy đầu, chỉnh cong dương vật…

Ngoài ra, MEDLATEC tự hào là đơn vị y tế có độ phủ rộng nhất cả nước với 02 Bệnh viện Đa khoa, 41 Phòng khám tại Việt Nam, 01 Phòng khám tại Campuchia và hơn 100 văn phòng lấy mẫu tận nơi giúp người dân dễ dàng tiếp cận dịch chăm sóc sức khỏe chất lượng cao nhanh chóng, tiện lợi. Đặc biệt, giữa các đơn vị trong hệ thống luôn phối hợp nhịp nhàng, chặt chẽ để tối ưu hóa chi phí điều trị và nâng cao trải nghiệm cho khách hàng.
Với những năng lực vượt trội trên, hàng năm, toàn hệ thống MEDLATEC phục vụ 5 triệu khách hàng, trong đó có hàng ngàn người bệnh đã thực hiện phẫu thuật tại đây cho kết quả chính xác, tin cậy và mức độ hài lòng cao.
Mọi thông tin tìm hiểu về dịch vụ khám chữa bệnh tại MEDLATEC, người dân vui lòng liên hệ tổng đài: 1900 56 56 56.