MEDLATEC miễn phí xét nghiệm tầm soát nguy cơ ung thư gan (AFP) nhân dịp khai trương cơ sở mới tại Campuchia
(PLVN) - Chào mừng MEDLATEC Campuchia chính thức đi vào hoạt động, từ 5/10 - 25/10/2023, Hệ thống Y tế MEDLATEC miễn phí xét nghiệm tầm soát nguy cơ ung thư gan (AFP). Đây là cơ hội đặc biệt để người dân trên toàn quốc phát hiện sớm ung thư gan trước báo động về căn bệnh nguy hiểm này ngày càng gia tăng tại Việt Nam.
Nam sinh 15 tuổi bàng hoàng phát hiện ung thư gan, cẩn trọng vì lý do nhiều người mắc phải
Hệ thống Y tế MEDLATEC vừa tiếp nhận trường hợp bệnh nhân nam Lê Trí H. (15 tuổi, Quảng Ninh) đi khám vì mắc viêm gan B lây từ mẹ lúc mới sinh. Do thời điểm đó các chỉ số xét nghiệm hoàn toàn bình thường, virus cũng ở thể dung hòa miễn dịch (ít hoạt động), cháu H. thể trạng khỏe mạnh nên nhiều năm gia đình chủ quan không cho con đi kiểm tra sức khỏe định kỳ.
Tại thời điểm thăm khám, bác sĩ có chỉ định người bệnh làm các xét nghiệm và chẩn đoán hình ảnh chuyên sâu để kiểm tra gan.
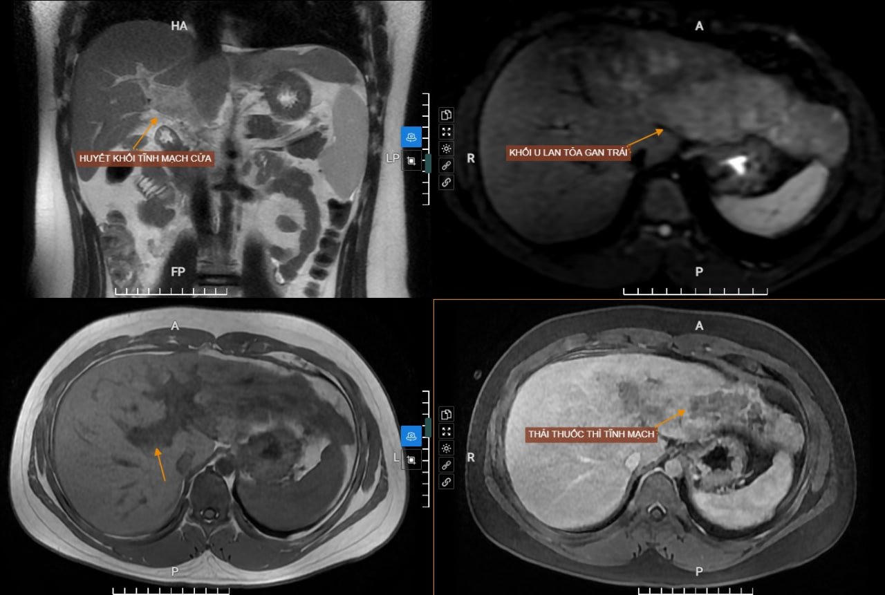
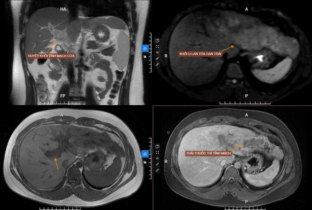
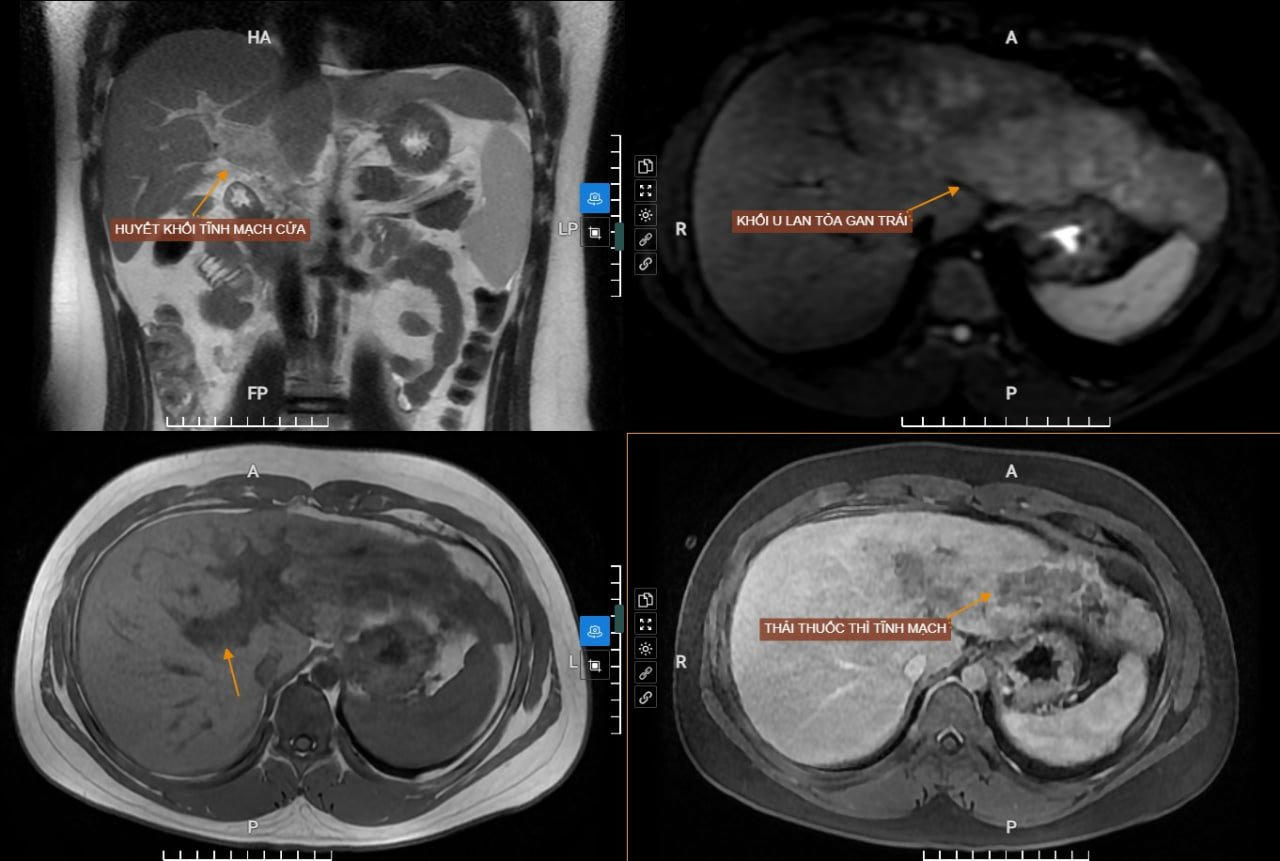
Kết quả siêu âm phát hiện nhiều nốt tăng âm trong gan, nhu mô gan thô kèm theo lách to. Sau đó, bệnh nhân được chỉ định chụp MRI ổ bụng có tiêm thuốc đối quang từ để đánh giá chi tiết các tổn thương. Kết quả phát hiện đám tổn thương lan tỏa không rõ ranh giới vùng nhu mô gan phải.
![]() |
Khối u gan của bệnh nhân phát hiện trên hình ảnh cộng hưởng từ (MRI). |
Về xét nghiệm, bệnh nhân phát hiện nhiều chỉ số bất thường, đặc biệt là chỉ số tầm soát ung thư gan (AFP) tăng gấp hàng chục nghìn lần so với người bình thường.
Sau khi tiến hành hội chẩn, các bác sĩ kết luận đây là khối ung thư gan lan tỏa nhu mô gan phải, có xâm lấn và gây huyết khối tĩnh mạch cửa.
Câu chuyện buồn trên chính là bài học đắt giá cho sự chủ quan sức khỏe.
TS. BS Ngô Chí Cương - Trưởng Khoa Nội, Bệnh viện Đa khoa MEDLATEC, Trưởng chuyên khoa Truyền nhiễm, Hệ thống Y tế MEDLATEC khuyến cáo: Virus viêm gan B là yếu tố nguy cơ hàng đầu gây ung thư gan. Vì vậy, sau khi có chẩn đoán xác định mắc bệnh, người bệnh cần được tham gia chương trình quản lý bệnh mạn tính và tuân thủ tuyệt đối liệu trình điều trị của bác sĩ khi đủ tiêu chuẩn điều trị, theo dõi các chỉ số cần thiết của cơ thể để quản lý sức khỏe lá gan tốt nhất.
Kiểm soát bệnh lý gan mật - chìa khóa vàng phòng ung thư gan
Theo Globocan 2020, hiện nay, ung thư gan đã vượt qua ung thư phổi để trở thành loại ung thư đứng đầu tại Việt Nam với gần 26.500 ca mắc mỗi năm. Trong đó, 77% số ca ung thư gan là nam giới. Đây cũng là loại ung thư có số ca tử vong dẫn đầu với gần 25.300 ca, chiếm 21% tổng số tử vong do ung thư, cao gấp 3,8 lần tổng số ca tử vong do tai nạn giao thông năm 2020.
Hiện nay, nhiều người có lầm tưởng rằng ung thư gan chỉ có thể xảy ra ở những người trung tuổi trở lên, có thói quen sử dụng rượu bia và lạm dụng chất kích thích. Tuy nhiên, thực tế ghi nhận ung thư gan có thể xảy ra ở mọi lứa tuổi, trong đó có cả trẻ em.
Các triệu chứng của ung thư gan có thể bao gồm giảm cân hoặc chán ăn, đau bụng, buồn nôn, mệt mỏi, vàng da. Tuy nhiên, trong giai đoạn đầu, hầu hết không có bất kỳ triệu chứng nào, hoặc có thể nhẹ nên người dân dễ chủ quan. Vì vậy, tầm soát ung thư gan là cách tốt nhất để phát hiện bệnh từ sớm và tăng cơ hội chữa khỏi.
![]() |
Xét nghiệm AFP là một trong những dấu ấn sinh học quan trọng trong tầm soát ung thư gan. |
TS Cương cho biết, tầm soát ung thư gan cần được thực hiện cho các đối tượng có yếu tố nguy cơ cao như sau:
· Xơ gan do virus, do rượu và các nguyên nhân khác;
· Nhiễm virus viêm gan B, viêm gan C mạn tính (nguyên nhân hàng đầu dẫn tới ung thư gan);
· Tiền sử gia đình có người ung thư gan.
Ngoài ra, các đối tượng có yếu tố nguy cơ sau cũng nên đi khám để được bác sĩ tư vấn đầy đủ nhất:
· Những người có biểu hiện nghi ngờ như thường xuyên mệt mỏi, nước tiểu có màu vàng đậm, đau âm ỉ vùng gan, xuất huyết dưới da;
· Viêm gan do nguyên nhân tự miễn, có thể đi kèm các bệnh tự miễn khác như đái tháo đường type 1, Basedow, viêm khớp dạng thấp, Lupus ban đỏ...
· Người mắc các bệnh béo phì, tiểu đường làm tăng nguy cơ bị ung thư gan.
Rộn ràng niềm vui, tri ân quà khủng tại MEDLATEC: Miễn phí xét nghiệm tầm soát nguy cơ ung thư gan (AFP)
Sau gần 3 thập kỷ hình thành và phát triển, MEDLATEC - hệ thống y tế tư nhân có độ phủ trên hầu khắp các tỉnh thành tại Việt Nam chính thức vươn tầm quốc tế với điểm đặt chân đầu tiên tại Campuchia. Nhân sự kiện đặc biệt này và thay lời tri ân khách hàng đã tin tưởng, đồng hành cùng Hệ thống Y tế MEDLATEC trong suốt thời gian qua, MEDLATEC tổ chức miễn phí xét nghiệm tầm soát nguy cơ ung thư gan (AFP) với người dân trên toàn quốc.
![]() |
MEDLATEC chung tay cùng người dân đẩy lùi mối đe dọa ung thư gan - căn bệnh nguy hiểm đang ngày càng gia tăng tại Việt Nam. |
Theo đó, để tham gia chương trình, người dân chỉ cần lưu ý các thông tin sau:
· Thời gian áp dụng: Từ 5/10 - 25/10/2023.
· Phạm vi áp dụng:
- Hệ thống Bệnh viện/Phòng khám của MEDLATEC trên toàn quốc;
- Dịch vụ lấy mẫu xét nghiệm tận nơi trên toàn quốc.
· Cách thức đăng ký:
- Cách 1: Đăng ký tham gia chương trình qua các kênh truyền thông của MEDLATEC như website, fanpage;
- Cách 2: Hẹn lịch qua tổng đài toàn quốc 1900 56 56 56, hoặc ứng dụng My Medlatec;
- Cách 3: Đăng ký trực tiếp tại Bệnh viện/Phòng khám và các cơ sở y tế thuộc Hệ thống Y tế MEDLATEC.
Xét nghệm tầm soát nguy cơ ung thư gan (AFP) không bị ảnh hưởng bởi chế độ ăn uống, người dân có thể thực hiện tại bất cứ thời điểm nào trong ngày. Nhanh tay nắm bắt cơ hội tầm soát miễn phí ung thư gan, kiểm tra sức khỏe gan mật với chuyên gia đầu ngành tại MEDLATEC.
Quý khách hàng có thể gọi trực tiếp đến tổng đài 1900 56 56 56 để được hỗ trợ đăng ký nhanh nhất 24/24h.
MEDLATEC - địa chỉ khám và điều trị các bệnh lý gan mật uy tín được khách hàng hoàn toàn an tâm và tin tưởng, bởi những lý do sau đây:
· Được trực tiếp thăm khám, tư vấn và điều trị bởi các chuyên gia đầu ngành như PGS.TS Trịnh Thị Ngọc - Nguyên Trưởng khoa Truyền nhiễm, Bệnh viện Bạch Mai, Phó Chủ tịch Hội Gan mật Việt Nam với hơn 40 năm kinh nghiệm; TS. BS Ngô Chí Cương - Trưởng khoa Truyền nhiễm, Bệnh viện Đa khoa MEDLATEC, TS.BS Trần Văn Giang, ThS.BSNT Trần Tiến Tùng, ThS.BS Nguyễn Thị Thu Hương…
· Bảo đảm kết quả xét nghiệm chính xác trên hệ thống máy xét nghiệm hiện đại. Ngoài ra, trang bị hệ thống máy móc chẩn đoán hình ảnh tân tiến như máy siêu âm đàn hồi mô gan, hệ thống cộng hưởng từ MRI, hệ thống chụp cắt lớp vi tính MSCT đa dãy... giúp chẩn đoán, theo dõi các bệnh lý gan mật tốt nhất, chẩn đoán chuyên sâu, giúp tìm ra “gốc rễ” vấn đề, từ đó phát hiện sớm và điều trị hiệu quả.
· Quy trình khám khoa học, thủ tục nhanh gọn rút ngắn tối đa thời gian của khách hàng.
· Dịch vụ lấy mẫu xét nghiệm tận nơi nhanh chóng, tiện ích phục vụ toàn quốc, đáp ứng đầy đủ các xét nghiệm marker. Sử dụng dịch vụ này, khách hàng dễ dàng đặt lịch qua tổng đài 1900 56 56 56, hoặc app My Medlatec. Mẫu xét nghiệm được phân tích trên hệ thống máy móc tự động, nhận kết quả trực tiếp hoặc tra cứu online tiện lợi.


