Lần đầu tiên điều trị thành công cho bệnh nhân bị động kinh kháng thuốc bằng công nghệ
(PLVN) - Việc xạ phẫu thành công bằng kỹ thuật trong điều trị người bị động kinh góp phần mở ra một cơ hội mới cho các bệnh nhân trong các trường hợp động kinh kháng trị hoặc điều trị phẫu thuật động kinh thất bại. Đây là trường hợp động kinh đầu tiên được xạ phẫu thành công về mặt kỹ thuật.
Ngày 30/1, Bệnh viện Trung ương Huế cho biết, đơn vị vừa điều trị thành công cho một bé gái 13 tuổi (trú tại phường Phương Nam, thành phố Uông Bí, tỉnh Quảng Ninh) bị bệnh động kinh từ lúc 6 tuổi do loạn sản võ não thuỳ đảo bên phải. Đây là trường hợp động kinh đầu tiên được xạ phẫu thành công về mặt kỹ thuật.
Cụ thể, trước đó, bệnh nhân nhập viện tại Bệnh viện Nhi Trung ương (Hà Nội), cả mẹ và bé được xét nghiệm với SARS-CoV-2. Sau khi có kết quả âm tính, bé gái được các bác sĩ chuyên khoa thần kinh của Bệnh viện Nhi Trung ương điều trị bằng các loại thuốc kháng động kinh nhưng không đáp ứng, các cơn giật bắt đầu xuất hiện nhiều.
Ngày 17/9, bệnh nhân được phẫu thuật cắt một phần tổn thương dạng loạn sản vỏ não vùng hồi nắp và thùy đảo bán cầu phải. Sau phẫu thuật, tình trạng động kinh có đỡ khoảng 50% nhưng thời gian gần đây các cơn động kinh lại tăng lên cả về cường độ và tần suất. Đồng thời, bệnh nhân bị yếu nửa người, nói khó do vùng não chi phối vận động và ngôn ngữ bị ảnh hưởng sau phẫu thuật.
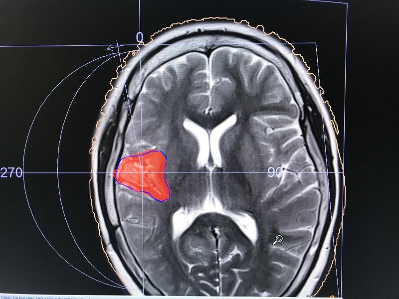
Kết quả chụp cộng hưởng từ não cho thấy có tổn thương tồn dư vùng hồi nắp và thùy đảo bán cầu phải, phù hợp cơn động kinh trên lâm sàng và các bất thường trên điện não đồ sau phẫu thuật.
Sau khi hội chẩn với các chuyên gia thần kinh của Mỹ, Canada và thảo luận kỹ lưỡng với đội ngũ bác sĩ xạ trị ở bệnh viện Trung ương Huế, xét thấy tại bệnh viện Trung ương Huế có đủ điều kiện máy móc hiện đại, phương tiện và thiết bị chuyên dùng, đội ngũ nhân lực y tế có đủ kinh nghiệm và khả năng triển khai kỹ thuật xạ phẫu cho bệnh lý động kinh kháng thuốc, bệnh nhân được chuyển viện từ Hà Nội vào Khoa Xạ trị - Trung tâm Ung bướu, Bệnh viện Trung ương Huế để tiếp tục điều trị theo hướng can thiệp không phẫu thuật.
Dưới sự chủ trì hội chẩn đa chuyên khoa trực tuyến của GS.TS Phạm Như Hiệp – Giám đốc Bệnh viện Trung ương Huế, các chuyên gia về phẫu thuật thần kinh, nội thần kinh, nhi thần kinh, chẩn đoán hình ảnh, bác sĩ xạ trị/xạ phẫu của bệnh viện đã thảo luận nhiều lần về các phương án tối ưu nhất để điều trị cho bệnh nhi. Sau thời gian hội chẩn, các y bác sĩ thống nhất lựa chọn phương án xạ phẫu vào ổ tổn thương tồn dư vùng hồi nắp và thùy đảo bán cầu phải sau phẫu thuật theo khuyến cáo của các chuyên gia về động kinh ở trong nước và nước ngoài.
Vì đây kỹ thuật mới, lần đầu tiên áp dụng tại Việt Nam nên công tác chuẩn bị được tiến hành rất đầy đủ và kỹ lưỡng. Cụ thể, bệnh nhân được theo dõi 2 tuần, đo điện não, chụp cộng hưởng từ não để lập kế hoạch xạ phẫu chi tiết và chính xác nhất.
Ngày 29/1, TS.BS Phan Cảnh Duy - Phó Khoa Xạ trị, Trung tâm Ung bướu Bệnh viện Trung ương Huế, người trực tiếp thực hiện kỹ thuật này - cho biết: bệnh nhân đã được xạ phẫu thành công, chính xác vào tổn thương tồn dư gây động kinh, vùng não lành kế cận không bị ảnh hưởng. Ngay sau khi xạ phẫu bệnh nhi hoàn toàn tỉnh táo, giao tiếp bình thường, chưa thấy cơn động kinh tái phát hoặc tăng lên. Bệnh nhân sẽ được tiếp tục dùng thuốc, theo dõi thêm một vài ngày trước khi xuất viện và cần theo dõi thêm 3 đến 6 tháng để đánh giá chính xác hiệu quả về kiểm soát động kinh bằng xạ phẫu.
Theo ThS.BS Nguyễn Hữu Sơn - Phó Trưởng khoa Nhi Thần kinh - cho biết, phẫu thuật hoặc xạ phẫu điều trị động kinh được ứng dụng tại các trung tâm thần kinh có uy tín trên thế giới trong nhiều năm qua. Ở Việt Nam, phẫu thuật điều trị động kinh đã được triển khai tại một số bệnh viện ở Hà Nội, Thành phố Hồ Chí Minh và Huế. Tuy vậy, chưa thấy trường hợp nào xạ phẫu điều trị động kinh được công bố cho đến thời điểm hiện tại. Đây là trường hợp động kinh đầu tiên được xạ phẫu thành công về mặt kỹ thuật.
Việc ứng dụng xạ phẫu trong điều trị động kinh mở ra một hướng mới cho bệnh nhân, nhằm đem lại hiệu quả điều trị động kinh tốt nhất cho các trường hợp động kinh kháng trị hoặc điều trị phẫu thuật động kinh thất bại. Được biết, Bệnh viện Trung ương Huế cũng là đơn vị đầu tiên của Việt Nam triển khai xạ trị ở trẻ em, đặc biệt là xạ trị có gây mê.

