Hút huyết khối tĩnh mạch não cứu sống nam thanh niên 19 tuổi mắc bệnh lý hiếm gặp
Một bệnh nhân nam 19 tuổi vừa được các bác sĩ Bệnh viện Hữu nghị Việt Đức can thiệp cấp cứu lấy huyết khối xoang tĩnh mạch thành công. Đây là trường hợp hiếm gặp và nặng, với nguy cơ tổn thương não và di chứng thần kinh nếu không xử trí kịp thời.
Bệnh nhân N.A.T, ở Phú Thọ, nhập viện trong tình trạng đau đầu dữ dội kéo dài một tuần, kèm theo nhìn đôi. Trước đó, tại bệnh viện tuyến dưới, T được chẩn đoán huyết khối tĩnh mạch não và điều trị bằng thuốc kháng đông liều chuẩn. Tuy nhiên, sau 5 ngày, tình trạng không cải thiện, các triệu chứng thậm chí tăng nặng, buộc bệnh nhân phải chuyển lên tuyến trên.
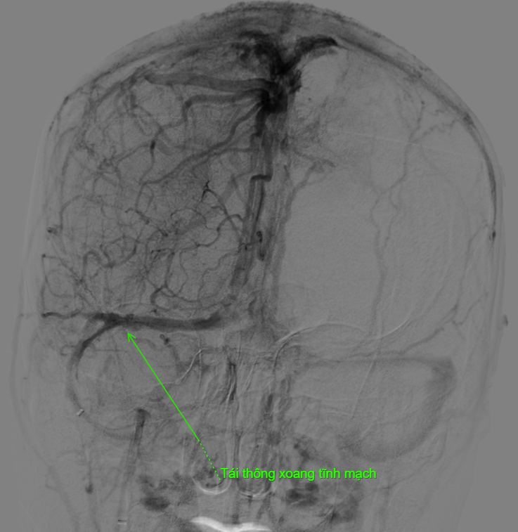
Kết quả phim chụp cho thấy bệnh nhân bị tắc gần như toàn bộ hệ thống tĩnh mạch dẫn lưu não, bao gồm xoang dọc trên, xoang ngang, xoang sigma và đoạn đầu xoang tĩnh mạch cảnh trong phải.
Bác sĩ Đào Xuân Hải - Khoa Chẩn đoán hình ảnh, Bệnh viện Hữu nghị Việt Đức cho biết, đây là một trường hợp cần can thiệp sớm do bệnh nhân không đáp ứng với điều trị nội khoa. Để tối ưu hóa hiệu quả điều trị, các bác sĩ đã tiến hành hội chẩn đa chuyên khoa gồm: Điện quang can thiệp, Nội thần kinh, Ngoại thần kinh và Hồi sức cấp cứu, từ đó thống nhất phác đồ can thiệp nhằm tái thông dòng chảy trong tĩnh mạch não, giảm thiểu biến chứng và rút ngắn thời gian nằm viện cho người bệnh.
“Không giống như huyết khối động mạch, để lấy huyết khối tĩnh mạch não chúng tôi phải tiếp cận qua đường tĩnh mạch. Trước tiên, ê-kíp tiến hành chụp động mạch não để hiện hình hệ thống xoang tĩnh mạch và xác định vị trí huyết khối trên máy DSA. Sau đó, hệ thống dụng cụ được đưa từ tĩnh mạch đùi lên tĩnh mạch cảnh trong phải để lấy huyết khối từ tĩnh mạch cảnh trong lên đến xoang dọc trên - vị trí có huyết khối. Từ đây, chúng tôi lấy toàn bộ huyết khối từ xoang dọc trên xuống tĩnh mạch cảnh trong để tái thông hệ thống xoang tĩnh mạch não. Ca can thiệp kéo dài hơn 2 giờ đồng hồ. Ngay sau thủ thuật, dòng chảy trong hệ thống xoang tĩnh mạch được cải thiện rõ rệt, bệnh nhân giảm nhanh triệu chứng đau đầu và tránh được nguy cơ xuất huyết não, biến chứng nguy hiểm có thể xảy ra nếu xoang tĩnh mạch không được tái thông kịp thời”, bác sĩ Hải thông tin thêm.

Bác sĩ Lê Quốc Việt, Khoa Nội - Hồi sức thần kinh, Bệnh viện Hữu nghị Việt Đức cho biết, đa số bệnh nhân huyết khối tĩnh mạch não đáp ứng tốt với điều trị nội khoa nhưng trường hợp này huyết khối rất lớn, tắc hoàn toàn các xoang tĩnh mạch lớn và diễn tiến xấu đi dù đã dùng thuốc. Do nguy cơ cao gây ứ trệ tuần hoàn, dẫn đến tổn thương nhu mô não và di chứng nặng, các bác sĩ đã hội chẩn liên khoa và quyết định thực hiện can thiệp hút huyết khối, đồng thời tiếp tục duy trì thuốc kháng đông.
Sự kết hợp giữa can thiệp hút huyết khối và điều trị nội khoa đã giúp tái thông hiệu quả dòng chảy tĩnh mạch, đồng thời ngăn ngừa nguy cơ hình thành huyết khối mới. Kỹ thuật này không phải là chỉ định thường quy vì độ phức tạp cao và chỉ áp dụng trong các trường hợp đặc biệt: Tắc nhiều tĩnh mạch lớn; Điều trị nội khoa không đáp ứng; Triệu chứng tiến triển nặng.
Sau 5 ngày can thiệp, bệnh nhân đã hoàn toàn hết triệu chứng đau đầu, thể trạng ổn định và đáp ứng điều trị tốt. Các chỉ số cận lâm sàng được cải thiện rõ rệt, bệnh nhân tỉnh táo, giao tiếp tốt và sinh hoạt gần như bình thường. Hiện tại, bệnh nhân tiếp tục được theo dõi và phục hồi chức năng nhằm phòng ngừa nguy cơ tái phát. Với tiến triển rất khả quan này, T. có thể sớm quay trở lại giảng đường đại học, tiếp tục học tập và sinh hoạt như trước đây, đồng thời sẽ được các bác sĩ hướng dẫn tái khám định kỳ để đảm bảo quá trình hồi phục lâu dài và bền vững.

