Hà Tĩnh: Cứu sống bệnh nhân bị dị vật đâm xuyên phổi
(PLVN) - Mới đây, các bác sĩ Khoa Ngoại Tổng hợp - Bệnh viện Đa khoa tỉnh Hà Tĩnh đã phẫu thuật kịp thời và cứu sống bệnh nhân bị dị vật đâm xuyên phổi khi đang làm vườn.
Được biết, bệnh nhân là anh Nguyễn Văn N (31 tuổi, ở xã Kỳ Tây, tỉnh Hà Tĩnh). Trong lúc anh N dùng máy cắt cỏ, lưỡi máy cắt va vào một tuốc nơ vít khiến vật nhọn này văng với lực rất mạnh xuyên vào ngực nạn nhân.
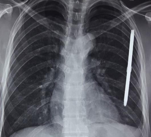
Ngay lập tức, người nhà đã đưa bệnh nhân đến bệnh viện. Qua thăm khám, các bác sĩ phát hiện một dị vật dài chính là tuốc nơ vít khoảng 20cm đi xuyên vào thành ngực trái bệnh nhân. Ngay lập tức, bệnh nhân được mổ lấy dị vật nằm trong phổi trái ra. Sau 5 ngày điều trị, sức khỏe bệnh nhân đã ổn định, có thể xuất viện.
Bác sĩ Phan Văn Hùng - Phó trưởng Khoa Ngoại Tổng hợp - BVĐK tỉnh Hà Tĩnh người trực tiếp phẫu thuật cho bệnh nhân N cho biết, trường hợp bệnh nhân N rất may mắn vì hướng đi của dị vật không đi trúng vào tim và không trúng các mạch máu lớn, mặt khác dị vật này có kích thước dài nên trong quá trình phẫu thuật các phẫu thuật viên cũng dễ dàng phát hiện vị trí và lấy ra nhanh chóng.
Bác sĩ Hùng cũng khuyến cáo, đối với các vết thương do dị vật bị đâm xuyên, không nên tự ý rút dị vật ra, vì khi đó vết thương có thể trở thành vết thương hở và bệnh nhân sẽ bị mất máu nhiều rất nguy hiểm. Trong trường hợp này, cần giữ nguyên dị vật, băng kín vết thương và đưa bệnh nhân đến cơ sở y tế gần nhất để được cấp cứu và xử trí.
Hiện nay, việc sử dụng máy cắt cỏ cầm tay rất phổ biến nên trong quá trình cắt cỏ người dân nên chú ý rà soát trước các dị vật lớn, sắc nhọn... mặt khác người dân nên mặc đầy đủ quần áo bảo hộ trong quá trình lao động để hạn chế tối đa bị thương. Còn nếu có lỡ may bị dị vật văng vào người thì cần đến ngay cơ sở y tế chuyên khoa để xử trí kịp thời, bác sĩ Hùng cho biết thêm.
