Giành lại sự sống cho bệnh nhân từ tay ‘tử thần’
(PLVN) - Bệnh nhân nhập viện khi tính mạng đang "ngàn cân treo sợi tóc" với chỉ số sinh tồn rất thấp, nhưng với sự nỗ lực của cả ekip mổ đã giành lại sự sống cho bệnh nhân từ tay “tử thần".
Ngày 26/9, thông tin từ Bệnh viện Hữu nghị Việt Nam - Cuba Đồng Hới (Quảng Bình) cho biết, Bệnh viện vừa cấp cứu, điều trị thành công cho bệnh nhân gần như chết não.
Bệnh nhân là P.V.H (63 tuổi, ở huyện Bố Trạch) nhập viện do chấn thương ở vùng đầu, hôn mê sâu, được người thân phát hiện đưa vào bệnh viện cấp cứu.
![]() |
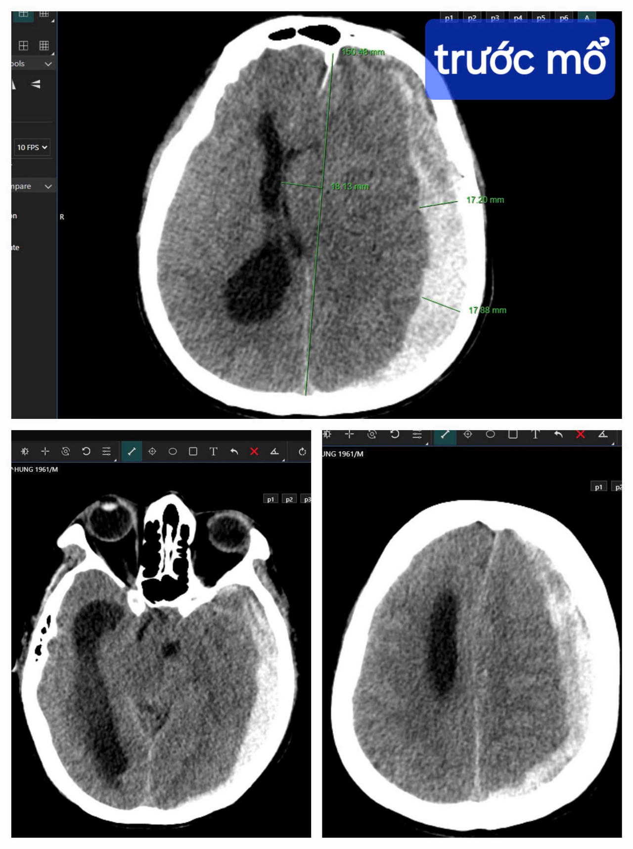
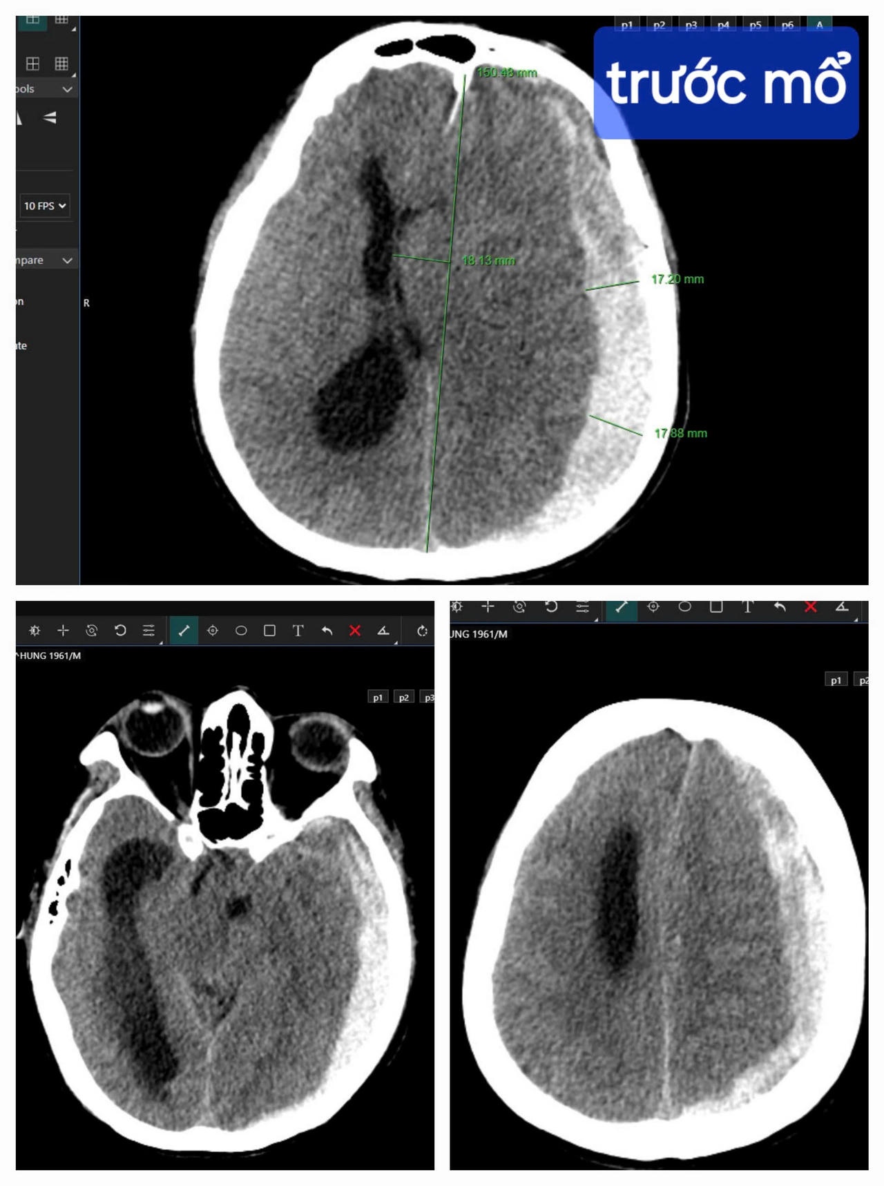
Kết quả chụp CT cho thấy bệnh nhân bị tụ máu dưới màng cứng bán cầu não trái, thoát vị qua liềm đại não sang phải. |
Ths.BS Nguyễn Mạnh Linh - Khoa Ngoại Thần kinh, Bệnh viện Hữu nghị Việt Nam - Cuba Đồng Hới cho biết, thời điểm tiếp nhận, bệnh nhân hôn mê rất sâu. Khám lâm sàng cho thấy điểm tri giác của bệnh nhân rất thấp, gần như chết não.
Trong tình huống khẩn cấp này, sự sống của bệnh nhân rất mong manh, bị tụ máu dưới màng cứng bán cầu não trái, thoát vị qua liềm đại não sang phải, bác sĩ phải chạy đua cùng thời gian, giành lại sự sống cho bệnh nhân từ tay “tử thần”.
"Sau khi thăm khám, bác sĩ giải thích tình trạng bố em đang nguy kịch, tỷ lệ thành công của ca mổ rất thấp. Dù biết cơ hội sống mong manh nhưng em vẫn đồng ý mổ vì tin tưởng vào đội ngũ y, bác sĩ nơi đây", anh P.Q.V, con trai ông H tâm sự.
Ngay lập tức, báo động đỏ được kích hoạt để thực hiện ca mổ khẩn, ekip liên chuyên khoa Ngoại Thần kinh - Gây mê - Hồi sức tích cực - Huyết học được điều động. Vừa phẫu thuật vừa liên hệ tiếp máu để truyền cho bệnh nhân.
Trong phòng mổ, thời gian như trôi nhanh hơn…, ngoài phòng mổ, vợ con ông H ngóng từng giây như dài vô tận. May mắn là ca mổ diễn ra suôn sẻ, thành công ngoài mong đợi.
Sau phẫu thuật, sức khỏe bệnh nhân dần ổn định, tỉnh táo, vết mổ tốt, vận động bình thường. Sau 13 ngày tại bệnh viện, ông H được chỉ định xuất viện, hiện sức khỏe tốt.
Ths.BS Nguyễn Mạnh Linh khuyến cáo: “Hiện tượng tụ máu não có thể dẫn đến những biến chứng vô cùng nguy hiểm, thậm chí là gây tử vong. Do đó, khi có các triệu chứng bất thường ở vùng đầu người bệnh cần nhanh chóng đến cơ sở y tế thăm khám, tầm soát các dấu hiệu có nguy cơ ảnh hưởng đến não”.
