Êm ái, nhẹ nhàng, an tâm giữ 'vàng' ngay trong giấc ngủ
(PLVN) - Sức khỏe là vàng và hệ tiêu hóa khỏe mạnh cũng được quý như “vàng”. Để nâng niu và giữ gìn tài sản vô giá hiện có, nội soi gây mê (nội soi không đau) mang đến sự êm ái, nhẹ nhàng như trong giấc ngủ để kiểm tra theo dõi các bệnh lý đường tiêu hóa, đặc biệt phát hiện sớm ung thư ngay khi chưa có triệu chứng.
Không còn cảm giác “chết đi sống lại”
Mặc dù không có triệu chứng khó chịu nào, nhưng bệnh nhân N.V.Đ (63 tuổi, Phú Thọ) vẫn đến Bệnh viện Đa khoa MEDLATEC khám theo lịch định kỳ hàng năm.
Bệnh nhân N.V.Đ chia sẻ: “Cách đây 10 năm, tôi có đi nội soi dạ dày tại bệnh viện tuyến huyện mà có cảm giác như “chết đi sống lại” vì sự khó chịu, buồn nôn và đau tức. Đến nay, tôi vẫn bị ám ảnh bởi cảm giác này”.
Sau khi chia sẻ về những lo lắng, khó chịu của lần nội soi trước đây, bệnh nhân Đ được bác sĩ tư vấn thực hiện nội soi gây mê thay cho nội soi thường quy.
Đúng như sự tư vấn của bác sĩ, bệnh nhân Đ rất hài lòng khi lần đầu trải nghiệm dịch vụ nội soi gây mê: “Tôi không còn cảm giác khó chịu và lo sợ nào. Cả quá trình nội soi là một giấc ngủ sâu. Việc nội soi diễn ra rất thoái mái, êm ái, nhẹ nhàng và đặc biệt không gây khó chịu gì” - bệnh nhân Đ chia sẻ.
Do khi khám đầu vào, được bác sĩ tư vấn nếu nội soi phát hiện có polyp thì bệnh nhân có thể lựa chọn cắt polyp luôn để tránh nguy cơ biến chứng polyp lớn có thể gây ung thư hóa. Vì vậy, bệnh nhân đã đồng ý nội soi và can thiệp luôn nếu cần thiết.
Sau đó, bệnh nhân được nội soi đường tiêu hóa và phát hiện một vài polyp trong đó có các polyp kích thước 1cm. Rất may mắn cho bệnh nhân kết quả sinh thiết polyp là polyp u tuyến ống kèm loạn sản biểu mô độ thấp (khối u lành tính).
Trường hợp của bệnh nhân C.V.C (70 tuổi, Hà Nội) được gia đình khuyên đi khám định kỳ, nhưng ông lại lưỡng lự không đi.
Do gần đây thi thoảng thấy đau tức vùng thượng vị, kèm nóng rát vùng thượng vị, đầy hơi khó tiêu, đại tiện phân có máu và phân nát lỏng. Những triệu chứng bất thường đó “hành hạ” khiến bệnh nhân mệt mỏi nên được người nhà đưa đến Bệnh viện Đa khoa MEDLATEC khám.
Sau khám ban đầu, được chỉ định xét nghiệm và nội soi dạ dày, trên hình ảnh nội soi dạ dày có viêm thực quản trào ngược độ A, polyp tăng sản thực quản, viêm dạ dày - hành tá tràng.
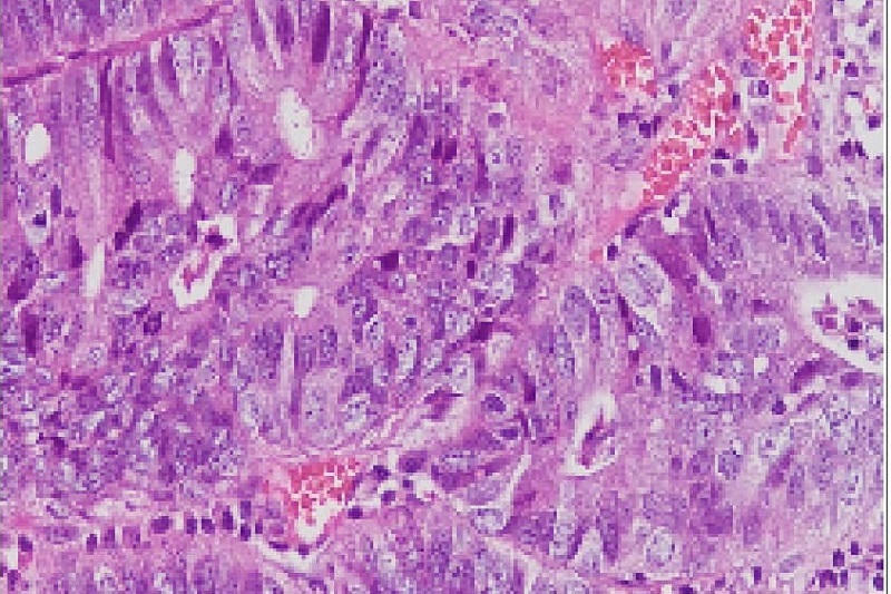
Nội soi đại tràng đã phát hiện một polyp có cuống, nhưng bệnh nhân được bác sĩ sử dụng phương tiện can thiệp để cắt polyp ngay trong quá trình nội soi, đồng thời lấy mẫu sinh thiết polyp làm giải phẫu bệnh. Kết quả sinh thiết trả lời là ung thư biểu mô tuyến. Tuy nhiên, đây là một trường hợp đặc biệt, polyp mới bắt đầu chuyển dạng sang ác tính, diện cắt chân polyp không có tế bào ác tính, hay nói cách khác đây là một trường hợp ung thư sớm đã được phát hiện và điều trị triệt để.
Lợi ích 2 trong 1
BS Bùi Văn Long - Chuyên khoa Tiêu hóa, Bệnh viện Đa khoa MEDLATEC chia sẻ: Trước đây cắt polyp ở hệ tiêu hóa thường phải mổ nên quy trình lâu, thời gian để bình phục dài hơn, có nhiều nguy cơ trong quá trình mổ... Nhưng hiện nay với bước tiến vượt bậc trong lĩnh vực khoa học đem lại trong ngành chẩn đoán hình ảnh - thăm dò chức năng, việc cắt polyp được diễn ra dễ dàng ngay khi nội soi. Chính ưu việt này cho phép bác sĩ thực hiện 2 việc cùng một thời gian, tức là kết hợp nội soi và cắt polyp đồng thời.
Thủ thuật cắt polyp qua nội soi sẽ được cắt đốt cầm máu bằng dụng cụ đặc biệt, giúp bệnh nhân không phải nhập viện, có thể đi lại, sinh hoạt bình thường ngay sau khi tiến hành phẫu thuật.
Hiện nay, ngoài phương pháp nội soi thông thường, còn có nội soi gây mê - giải pháp cho những bệnh nhân sợ bị đau, khó chịu khi nội soi. Thay vào đó là sự nhẹ nhàng, dễ chịu, êm ái và thực hiện nhanh chóng từ 5 - 10 phút. Bệnh nhân sẽ tỉnh táo ngay khi kết thúc quá trình soi, không gây ảnh hưởng đến hệ thần kinh hay sức khỏe. Hình ảnh quan sát rõ nét, chi tiết, chính xác. Hình thức nội soi này không gây tổn thương đến niêm mạc dạ dày do bệnh nhân nằm yên, dễ thực hiện thao tác chuẩn xác.
100% bệnh nhân được nội soi NBI - Kỹ thuật chẩn đoán ung thư đường tiêu hóa
Nội soi ống mềm là một trong những đột phá của thành tựu y học đem lại, cho phép thực hiện rộng rãi nội soi tiêu hóa từ chẩn đoán đến điều trị bệnh.
Trên hệ thống máy nội soi ống mềm hiện đại còn tích hợp thêm phân tích ánh sáng dải tần hẹp NBI (Narrow Band Imaging) - chế độ này chỉ sử dụng ánh sáng với bước sóng 415nm và bước sóng 540nm, giúp các bác sĩ dễ dàng phát hiện các điểm bất thường tại đường tiêu hóa như các ổ viêm, loét, loạn sản, dị sản, ung thư sớm.
Ngoài ra, nội soi NBI còn giúp phát hiện các polyp và phân biệt ranh giới polyp với niêm mạc bình thường, khi kết hợp với nội soi phóng đại có thể giúp định hướng một phần tổn thương ác tính. Trên kết quả chính xác thu về, bác sĩ đưa ra phác đồ điều trị kịp thời để kéo dài tuổi thọ và nâng cao chất lượng sống cho người bệnh.
BS Long cho biết: Trước đây khi chưa có kỹ thuật nội soi dải tần ánh sáng hẹp NBI, bác sĩ có thể bỏ sót bệnh, nhưng hiện nay với kỹ thuật này được xem như “bảo bối” để chẩn đoán chính xác bệnh, nhất là trong tầm soát sớm ung thư đường tiêu hóa.
Chính những ưu việt đó, tại Bệnh viện Đa khoa MEDLATEC 100% bệnh nhân đến nội soi đường tiêu hóa đều được thực hiện nội soi NBI. Ngoài ra, Bệnh viện còn đáp ứng đầy đủ bộ marker tầm soát ung thư đường tiêu hóa, sinh thiết, các kỹ thuật chẩn đoán hình ảnh - thăm dò chức năng (xét nghiệm HP dạ dày, điện tim, chụp X-quang, MRI, CT 128 dãy)…
Hội tụ đội ngũ chuyên gia đầu ngành và trang bị đồng bộ hệ thống máy móc hiện đại hàng đầu, Bệnh viện Đa khoa MEDLATEC có điều kiện tốt nhất để chẩn đoán sớm và theo dõi bệnh chính xác trên sự lựa chọn gói khám phù hợp với nhu cầu hoặc tình trạng sức khỏe của khách hàng.
Đồng thời, nằm trong chuỗi chương trình “Vì sức khỏe cộng đồng”, từ nay đến hết năm 2020, khi khách hàng đặt lịch khám chuyên gia tiêu hóa được hưởng ngay ưu đãi lên tới 20% chi phí dịch vụ nội soi thực quản - dạ dày - tá tràng hoặc đại trực tràng.
Mọi thông tin chi tiết, vui lòng liên hệ tổng đài: 1900 56 56 56 để được giải đáp theo yêu cầu.
Gói nội soi đường tiêu hóa - ưu đãi tại MEDLATEC
Từ nay đến hết 31/12/2020, Bệnh viện Đa khoa MEDLATEC có ưu đãi các gói khám Tiêu hóa cơ bản/toàn diện/nâng cao gây mê hoặc thông thường nhằm phục vụ tốt nhất nhu cầu kiểm tra sức khỏe của khách hàng/bệnh nhân đến khám tại Bệnh viện.
Mỗi gói khám này đều được xây dựng gồm đầy đủ danh mục theo yêu cầu của Bộ Y tế nhằm bảo đảm sự an toàn tuyệt đối, đồng thời thông qua những kỹ thuật chuyên sâu để tránh bỏ sót bệnh, cụ thể như sau:
• Xét nghiệm (xét nghiệm đánh giá đánh giá chức năng tuyến tụy, chức năng gan, thận liên quan đến quá trình dùng thuốc; bộ marker tầm soát ung thư đường tiêu hóa; Xét nghiệm tìm vi khuẩn HP);
• Chẩn đoán hình ảnh - thăm dò chức năng (nội soi thường hoặc gây mê, điện tim, chụp X-quang).



