Cứu sống bệnh nhân nguy kịch do đứt rời phế quản gốc bên phải
(PLVN) - Ngày 21/5, thông tin từ Bệnh viện Đa khoa Trung ương Cần Thơ (BVĐK TW CT) cho biết, các bác sĩ của bệnh viện vừa cứu sống bệnh nhân bị đứt rời phế quản gốc bên phải gây tràn mủ màng phổi nguy kịch.
Bệnh nhân T. X. Đ (34 tuổi, ngụ tỉnh Hậu Giang) được chuyển đến BVĐK TW CT trong tình trạng đau ngực trái, đã đặt ống dẫn lưu màng phổi phải. Được biết, trước đó 8 ngày, bệnh nhân đi xe máy bị tai nạn giao thông sau đó khó thở, đau ngực, gãy đa xương sườn.
![]() |
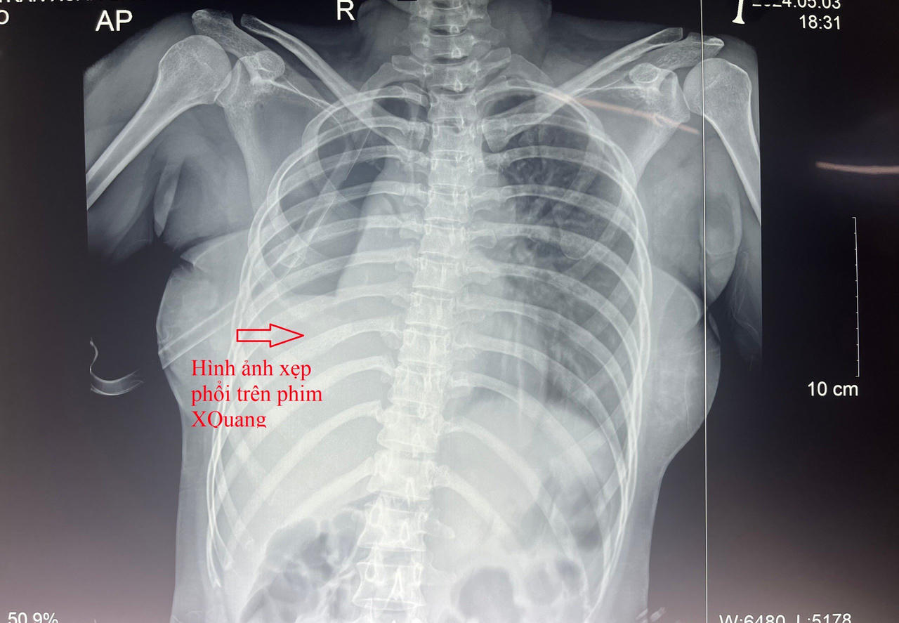
Hình ảnh xẹp phổi ,tràn khí màng phổi trên phim X-quang ngực |
Kết quả chẩn đoán xác định, bệnh nhân bị gãy xương sườn 1-2 bên phải và 1-5 bên trái, tổn thương phế nang phổi, tràn khí, tràn dịch màng phổi. Các bác sĩ tiến hành hội chẩn phẫu thuật. Ca phẫu thuật thành công sau 09 giờ căng thẳng. Hiện bệnh nhân đã tỉnh, phổi thông khí tốt, sức khỏe ổn định, đang được theo dõi và điều trị tại khoa Ngoại Lồng ngực – mạch máu.
![]() |
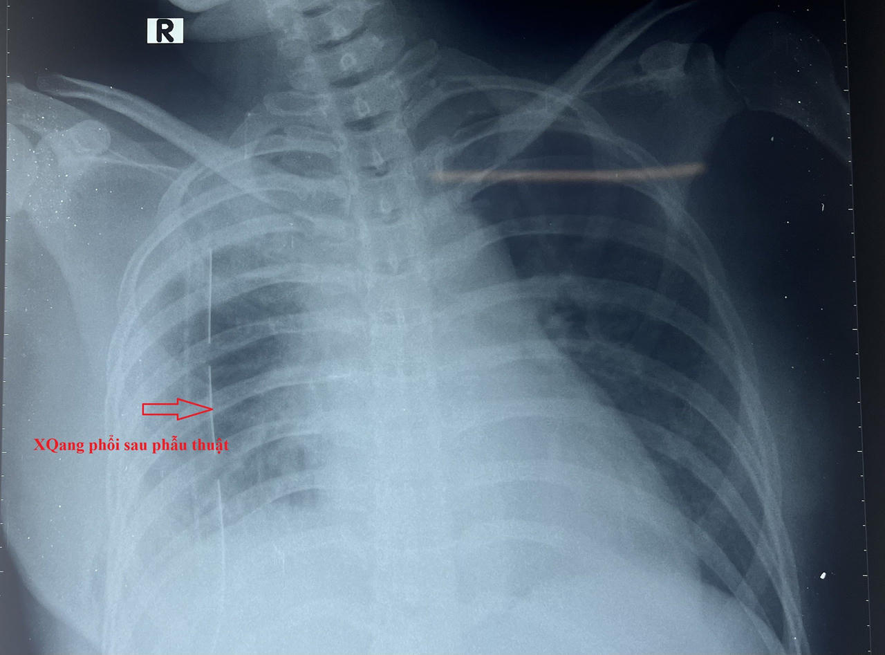
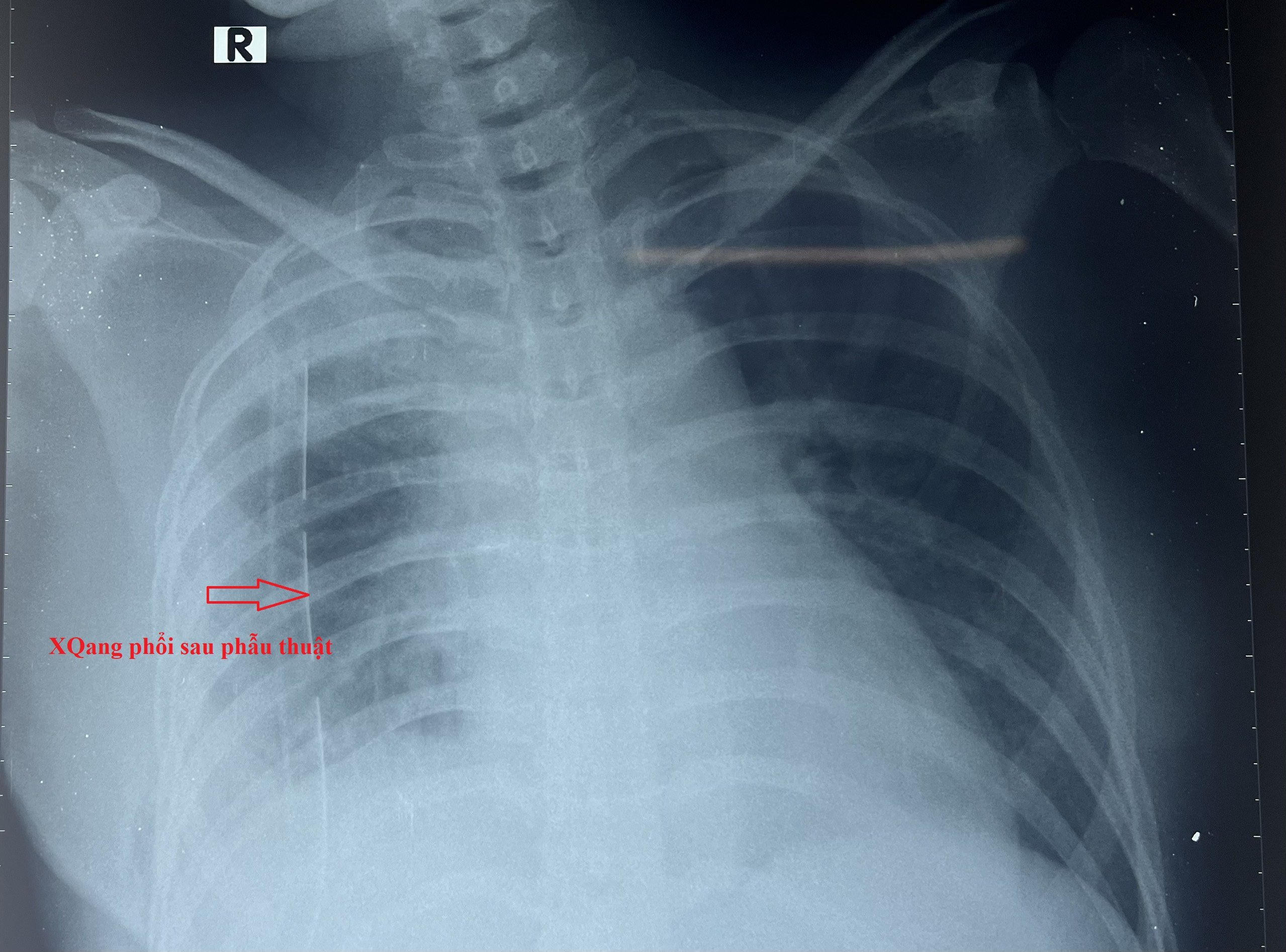
Hình ảnh X-quang ngực sau phẫu thuật |
BS.CK2 Trầm Công Chất - Trưởng khoa Ngoại lồng ngực – mạch máu - cho biết, vỡ khí – phế quản là tổn thương hiếm gặp trong chấn thương ngực. Tổn thương thường nặng khi có khoảng 30 – 80% nạn nhân tử vong trước khi đến viện.
![]() |
Bệnh nhân ổn định sau phẫu thuật |
Việc chẩn đoán được sớm có vai trò rất quan trọng, giúp hạn chế các biến chứng nặng nề và đảm bảo khả năng phục hồi. Tuy nhiên, trên lâm sàng điều này thường khó đạt được.


