Cứu sống bệnh nhân bị vỡ phình động mạch vị tá tràng nguy kịch
(PLVN) - Ngày 13/10, Bs.CK2 Phạm Thanh Phong – Phó Giám đốc chuyên môn Bệnh viện Đa khoa Trung ương Cần Thơ (BV ĐKTƯ CT) cho biết, các bác sĩ đã can thiệp nội mạch cầm máu thành công một trường hợp bệnh nhân bị xuất huyết nội do vỡ phình động mạch vị tá tràng nguy kịch.
Bệnh nhân N.N.B (54 tuổi, đang sinh sống và làm việc tại Sóc Trăng) nhập viện trong tình trạng bụng chướng, đề kháng, ấn đau thượng vị, đau quanh rốn, hông phải, ngày càng tăng kèm nôn ói nhiều. Khám có dấu hiệu thiếu máu cấp, bụng đau và chướng nhiều. Bệnh nhân được xử trí cấp cứu bù máu, truyền dịch…
![]() |
Xuất huyết đa ổn do vỡ phình động mạch vị tá tràng |
Cơ chế sinh ra các túi phình chưa thực sự được hiểu rõ, nhưng đa số các trường hợp khởi phát sau viêm tụy cấp, chấn thương, sau phẫu thuật, tăng huyết áp.
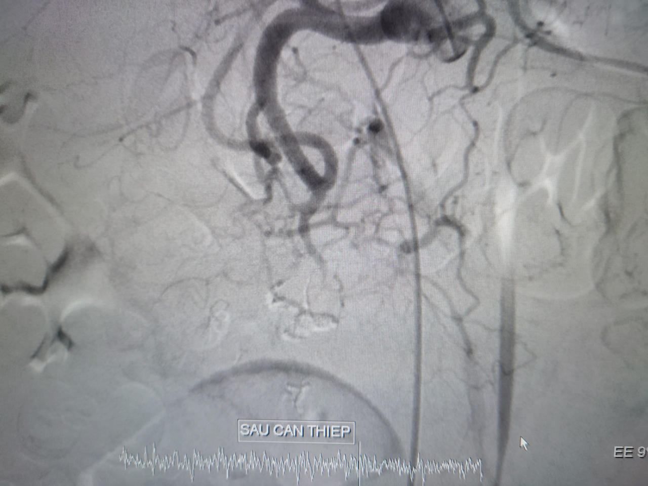
![]() |
Hình ảnh sau can thiệp |
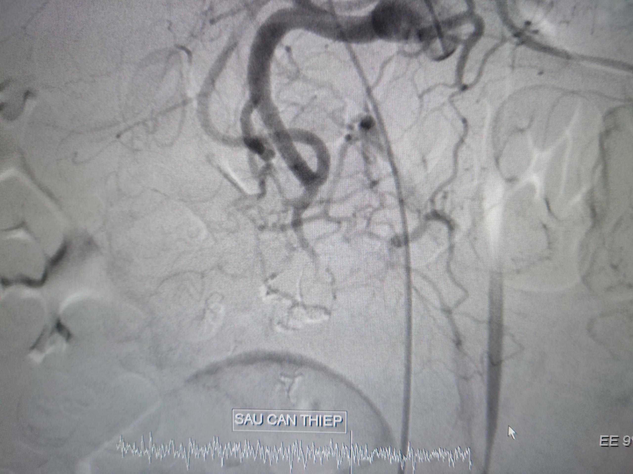
![]() |
Bệnh nhân ổn định sau can thiệp. |
Nhìn chung, túi phình thường không có triệu chứng và được phát hiện một cách tình cờ trên các khảo sát hình ảnh học hoặc khi có biến chứng. Tuy nhiên, các biến chứng của nó có thể rất đa dạng và nghiêm trọng.


