Cứu bệnh nhân sốt xuất huyết biến chứng hiếm gặp 2 lần nguy kịch
(PLVN) - Bệnh viện Đa khoa Trung ương Cần Thơ mới can thiệp nút mạch thành công bệnh nhân 33 tuổi xuất huyết động mạch tự phát rất hiếm gặp do biến chứng bệnh sốt xuất huyết.
Bệnh nhân nữ N. T. K. Y (33 tuổi, ngụ tỉnh An Giang) vào viện trong tình trạng khó thở, sốt cao, niêm nhợt, mạch nhanh nhẹ, tay chân lạnh; bụng chướng, ấn đau khắp bụng.
![]() |
Hình ảnh ổ xuất huyết trước can thiệp |
Tiếp nhận, các bác sĩ nhanh chóng tiến hành khám và xử trí cấp cứu. Kết quả kiểm tra ghi nhận, chị Y bị khối tụ máu lớn sau phúc mạc dọc hông trái, dịch ổ bụng lượng kém thuần trạng (nghi dịch máu), tràn dịch màng phổi hai bên.
![]() |
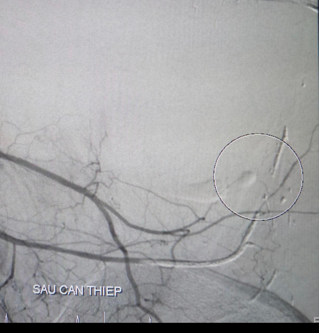
Hình ảnh sau can thiệp , không thấy ổ xuất huyết |
Bệnh nhân có chỉ định chụp và nút động mạch cầm máu các tạng số hóa xóa nền. Kết quả ghi nhận đa ổ xuất huyết xuất phát từ nhánh động mạch chậu trong trái, tiến hành bơm hỗn hợp keo.
![]() |
Bệnh nhân ổn định, không xuất huyết tái phát |
Tình trạng bệnh nhân sau can thiệp huyết động ổn được tiếp tục theo dõi tại khoa Hồi sức tích cực – Chống độc. Tuy nhiên, sau đó bệnh nhân bị xuất huyết nội mạch tái phát, rối loạn đông máu và được can thiệp nội mạch cấp cứu lần 2.
Tình trạng bệnh nhân hiện ổn định, không xuất huyết tái phát. Bệnh nhân tỉnh táo, tiếp xúc tốt, niêm hồng, sinh tồn ổn định.


