Cấp cứu kịp thời bệnh nhân nước ngoài bị nhồi máu cơ tim cấp
(PLVN) - Ngày 23/10/2023, Bệnh viện ĐHYD Shing Mark cho biết, đơn vị Tim mạch can thiệp của đơn vị vừa tiếp nhận bệnh nhân nam, người Hàn Quốc, sinh năm 1951 với tình trạng đau tức ngực nhiều và kèm khó thở.
Theo bác sĩ CK1 Trần Văn Minh- Khoa tim mạch can thiệp trực tiếp thăm khám và điều trị cho biết, bệnh nhân có tiền sử nhồi máu cơ tim đã đặt 2 stent tại Hàn Quốc, ĐTĐ type II.
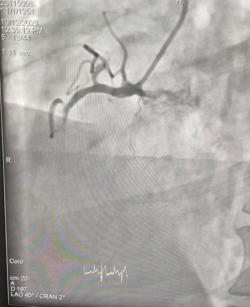
Qua thăm khám ban đầu, các bác sĩ cho biết, bệnh nhân tỉnh, tiếp xúc tốt, than đau tức ngực vùng sau xương ức nhiều kèm khó thở. Có hình ảnh nhồi máu cơ tim cấp thành dưới, nhồi máu cũ thành trước
Khi tiến hành siêu âm tim tại giường ghi nhận suy tim, chức năng tâm thu thất trái giảm EF=30%. Bệnh nhân được chẩn đoán là nhồi máu cơ tim cấp thành dưới giờ thứ 2, nhồi máu cơ tim cũ thành trước đã đặt 2 stent mạch vành, suy tim phân xuất tống máu giảm, ĐTĐ type II.
![]() |
Bệnh nhân được chẩn đoán là nhồi máu cơ tim cấp thành dưới giờ thứ 2. Ảnh: BVCC |
Ngay sau đó, bệnh nhân được chỉ định chụp can thiệp mạch vành cấp cứu. Kết quả là động mạch liên thất trước (LAD) tắc trong stent ở đoạn 2, động mạch vành phải (RCA) tắc cấp trong stent ở đoạn 2, ĐM mũ (LCx) không hẹp. Bệnh nhân được can thiệp cấp cứu với 1 stent, sau can thiệp dòng máu lưu thông qua động mạch vành phải(RCA) tốt (TIMI III), sau 30 phút bệnh nhân hết đau ngực.
Bệnh nhân sau đó được tiếp tục theo dõi và điều trị nội khoa. Sau 5 ngày điều trị, bệnh nhân đã được xuất viện.
![]() |
Sau 5 ngày điều trị, bệnh nhân đã xuất viện. Ảnh: BVCC |
Bệnh viện ĐHYD Shing Mark khám và điều trị đa khoa
Chuyên sâu: Tim mạch và Ung bướu
Địa chỉ: 1054, Phường Long Bình Tân, Thành phố Biên Hoà, Đồng Nai
Hotline: 02513988888 - 0859488888

