Cảnh báo: Niềng răng hỏng vì những lý do không ngờ
(PLVN) - Niềng răng ngày nay không còn là khái niệm xa lạ mà đã trở thành một xu hướng thẩm mỹ phổ biến, đặc biệt trong giới trẻ. Tuy nhiên, song song với nhu cầu tăng cao là thực trạng đáng lo ngại khi số lượng ca niềng răng thất bại ngày càng gia tăng, gây ảnh hưởng nghiêm trọng đến sức khỏe răng miệng, cấu trúc gương mặt và cả tâm lý người điều trị.
Những nguyên nhân gây thất bại trong điều trị niềng răng
Niềng răng là phương pháp điều trị chỉnh nha chuyên sâu nhằm điều chỉnh vị trí răng và khớp cắn, giúp cải thiện chức năng ăn nhai và thẩm mỹ tổng thể khuôn mặt. Tuy nhiên, đây là kỹ thuật đòi hỏi độ chính xác cao. Một sai sót nhỏ trong quá trình thực hiện cũng có thể dẫn đến hậu quả nghiêm trọng, thậm chí không thể khắc phục.
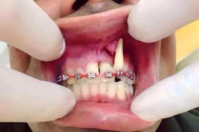
Hình ảnh biến chứng bật chân răng do niềng răng sai kỹ thuật. (Ảnh minh họa) |
1. Tay nghề bác sĩ không đảm bảo chuyên môn
Một trong những nguyên nhân hàng đầu khiến kết quả niềng răng thất bại là do bác sĩ điều trị thiếu kinh nghiệm hoặc không có chứng chỉ hành nghề chỉnh nha. Việc can thiệp bởi người không đủ chuyên môn có thể dẫn đến những sai lệch trong kiểm soát lực kéo, dịch chuyển răng quá nhanh hoặc sai hướng, gây hậu quả như tiêu xương ổ răng, răng bị bật chân, lung lay hoặc mất răng.
Khách hàng được tư vấn 1:1 với bác sĩ chuyên khoa Răng Hàm Mặt Hồng Ngọc. |
2. Khí cụ chỉnh nha không đạt chuẩn
Khí cụ là yếu tố quan trọng trong điều trị niềng răng. Tuy nhiên, vì mục đích tiết kiệm chi phí, một số cơ sở lựa chọn sử dụng khí cụ trôi nổi, không rõ nguồn gốc, không được kiểm định chất lượng. Những khí cụ này có thể dễ hư hỏng, bong mắc cài, gãy dây cung, hoặc chứa kim loại gây kích ứng - tiềm ẩn nguy cơ viêm lợi, viêm quanh răng khi sử dụng lâu dài.
Khách hàng chụp phim với máy CT Conebeam tại Răng Hàm Mặt Hồng Ngọc. |
3. Tự ý tháo niềng tại nhà
Không ít trường hợp người điều trị tự ý tháo niềng tại nhà do tâm lý chủ quan hoặc tin vào các trào lưu lan truyền trên mạng xã hội. Việc này rất nguy hiểm, vì không có sự theo dõi của bác sĩ sẽ khiến răng dịch chuyển sai hướng, phá vỡ phác đồ điều trị, gây kéo dài thời gian chỉnh nha và tăng nguy cơ biến chứng.
Giải pháp điều trị an toàn từ góc nhìn chuyên môn
Theo bác sĩ Kim Thị Mận (Khoa Răng Hàm Mặt - Bệnh viện Hồng Ngọc), để một ca chỉnh nha đạt hiệu quả và đảm bảo an toàn, cần có sự kết hợp giữa nhiều yếu tố: tay nghề bác sĩ, hệ thống thiết bị hỗ trợ, chất lượng khí cụ và đặc biệt là sự tuân thủ của người điều trị.
Tại Khoa Răng Hàm Mặt - Bệnh viện Hồng Ngọc, mỗi khách hàng được thăm khám và tư vấn trực tiếp 1:1 với bác sĩ chỉnh nha chuyên sâu. Phác đồ điều trị được cá nhân hóa, xây dựng dựa trên tình trạng thực tế và mong muốn của người bệnh, đảm bảo theo dõi sát sao trong suốt quá trình điều trị. Đội ngũ bác sĩ tại đây đều được đào tạo bài bản trong và ngoài nước, sở hữu chứng chỉ chuyên ngành chỉnh nha.
Bên cạnh thế mạnh về chuyên môn, Răng Hàm Mặt Hồng Ngọc cũng tiên phong đầu tư vào hệ thống trang thiết bị hiện đại như máy scan răng iTero 5D, phần mềm mô phỏng chỉnh nha ClinCheck và máy chụp phim CT Cone Beam được ứng dụng trong quá trình thăm khám và điều trị. Những công nghệ này hỗ trợ bác sĩ lên kế hoạch chính xác hơn, đồng thời giúp người bệnh hiểu rõ quá trình di chuyển răng, hạn chế sai lệch ngoài ý muốn, từ đó rút ngắn thời gian điều trị và giảm thiểu biến chứng.
Các phương pháp chỉnh nha tại đây cũng được triển khai đa dạng, bao gồm mắc cài kim loại, mắc cài sứ và niềng răng trong suốt Invisalign. Tất cả đều sử dụng khí cụ chính hãng, được chứng nhận an toàn bởi FDA (Hoa Kỳ), đảm bảo cả về chất lượng điều trị lẫn an toàn sức khỏe cho người sử dụng.
Cùng với đó, bệnh nhân được hướng dẫn kỹ về chế độ chăm sóc răng miệng, chế độ ăn uống và cách đeo hàm duy trì sau điều trị nhằm đảm bảo kết quả lâu dài.
Một trường hợp điển hình là bạn Thu Thủy - từng gặp phải tình trạng khớp cắn sâu và hiệu ứng cuộn do niềng răng sai phương pháp tại cơ sở trước đó, dẫn đến khó khăn trong việc đóng khoảng sau khi nhổ răng, nụ cười mất tự nhiên, thiếu tự tin.
Sau khi thăm khám tại Khoa Răng Hàm Mặt Hồng Ngọc, bác sĩ đã xây dựng kế hoạch điều trị toàn diện, điều chỉnh theo cả chiều dọc và chiều trước - sau. Răng cửa được đánh lún, khớp cắn sâu được cải thiện, trục răng được dựng lại. Sau gần 2 năm, Thủy sở hữu hàm răng đều, khớp cắn chuẩn, gương mặt hài hòa hơn và nụ cười tự nhiên.
Chỉnh nha là quá trình dài, đòi hỏi sự phối hợp chặt chẽ giữa bác sĩ và người điều trị. Thực trạng các ca niềng răng hỏng ngày càng gia tăng là hồi chuông cảnh báo cho người dân khi lựa chọn cơ sở điều trị. Việc tìm hiểu kỹ về đội ngũ bác sĩ, công nghệ, vật liệu sử dụng và quy trình điều trị là yếu tố then chốt quyết định sự thành công của một ca chỉnh nha.
![]() |
Khách hàng Thu Thủy niềng răng thành công tại Răng Hàm Mặt Hồng Ngọc. |
Liên hệ Khoa Răng Hàm Mặt Bệnh viện Hồng Ngọc:
Hotline: 091.110.3243 - Tổng đài: 024.3927.5565
Website: https://thammyhongngoc.vn/nha-khoa
Hệ thống phòng khám Răng Hàm Mặt Hồng Ngọc tại Hà Nội:
- CS1: Tầng 2, Bệnh viện Hồng Ngọc 55 Yên Ninh, Ba Đình, Hà Nội
- CS2: Tầng B1, tầng 1 & tầng 4 Bệnh viện Hồng Ngọc Phúc Trường Minh Số 8 Châu Văn Liêm, Nam Từ Liêm, Hà Nội



