Bệnh nhân người Campuchia phát hiện mắc ung thư tuyến vú xâm nhập nhờ tiêu chuẩn 'vàng'
(PLVN) - Tự khám phát hiện khối ở vú trái, nữ bệnh nhân (76 tuổi, quốc tịch Campuchia) đi khám, bác sĩ chẩn đoán nang tuyến vú và phẫu thuật cắt bỏ nang. Tuy nhiên, khi được áp dụng tiêu chuẩn “vàng” giải phẫu bệnh từ khối bệnh phẩm nang, bệnh nhân bàng hoàng với chẩn đoán ung thư biểu mô tuyến vú xâm nhập.
Tá hỏa phát hiện ung thư xâm nhập từ tổn thương nang
Đó là trường hợp bệnh nhân nữ, 76 tuổi, quốc tịch Campuchia tự sờ thấy khối ở vú trái nên quyết định đến khám tại cơ sở y tế.
Bệnh nhân được chỉ định siêu âm và phát hiện có tổn thương dạng nang đường kính 3x3cm hướng đến nang lành tính. Từ kết quả siêu âm, bệnh nhân có chỉ định phẫu thuật bóc toàn bộ tổn thương nang.
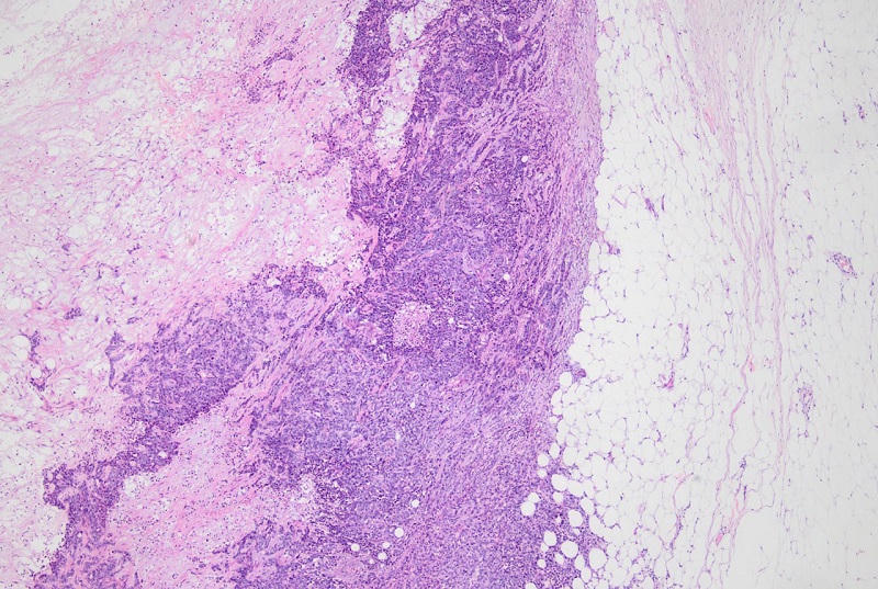
![]() |
Hình ảnh đại thể (bên trái) và hình ảnh vi thể (bên phải) được thực hiện tại Trung tâm Giải phẫu bệnh MEDLATEC |
Sau bóc tách, khối bệnh phẩm được vận chuyển đến MEDLATEC Cambodia thực hiện giải phẫu bệnh. Bệnh nhân tá hỏa với kết quả làm mô bệnh học chẩn đoán xác định ung thư biểu mô tuyến vú thể xâm nhập độ cao.
Do kết quả giải phẫu bệnh và hình ảnh trên lâm sàng, siêu âm của bệnh nhân không tương đồng, vì vậy, bác sĩ cơ sở thực hiện khám/ bóc nang đã yêu cầu MEDLATEC hội chẩn lại tiêu bản.
Hội chẩn trực tuyến - “cán cân” đánh giá chuyên môn ca bệnh khó
Theo đó, buổi hội chẩn trên tiêu bản nhanh chóng được tổ chức trực tuyến có sự tham gia của ThS.BSNT Trương Quốc Thanh - Phó Giám đốc Trung tâm Giải phẫu bệnh, Hệ thống Y tế MEDLATEC Việt Nam và được kết nối trực tuyến cùng hai chuyên gia đầu ngành lĩnh vực Giải phẫu bệnh tại Việt Nam.
https://www.tiktok.com/@giaiphaubenhmedlatec/video/7397319327034182920
ThS.BSNT Trương Quốc Thanh - Phó Giám đốc Trung tâm Giải phẫu bệnh, Hệ thống Y tế MEDLATEC Việt Nam chủ trì buổi hội chẩn online cùng sự tham gia của hai chuyên gia đầu ngành lĩnh vực Giải phẫu bệnh tại Việt Nam
Mở đầu buổi hội chẩn, ThS.BSNT Trương Quốc Thanh trình bày tổng quan cách tiếp cận, phân tích mẫu tại Trung tâm và kết luận tổn thương phù hợp với ung thư biểu mô tuyến vú xâm nhập có độ ác tính cao (high-grade).
Phân tích trên hình ảnh quan sát qua hội chẩn trực tuyến, PGS.TS.BSCKII Trần Ngọc Dũng - Chuyên gia Giải phẫu bệnh, Hệ thống Y tế MEDLATEC, nguyên Chủ nhiệm Bộ môn kiêm Chủ nhiệm Khoa Giải phẫu bệnh (Học viện Quân Y, Bệnh viện Quân Y 103) bày tỏ sự nhất trí hoàn toàn với chẩn đoán ung thư biểu mô tuyến vú xâm nhập.
Chuyên gia cho biết: “Ca bệnh này chẩn đoán ác tính khá rõ ràng, có bất thường về tế bào và cấu trúc, có bằng chứng xâm nhập mô mỡ, vì vậy, tôi hoàn toàn nhất trí với chẩn đoán của Trung tâm Giải phẫu bệnh MEDLATEC”.
![]() |
Hình ảnh vi thể: Các tế bào này có hình tròn, hoặc hình đa diện, màng nhân méo mó, có hạt nhân rõ, đa số sắp xếp thành dây, hoặc dải thành đám và xâm lấn ra mô mỡ |
Đánh giá vai trò của siêu âm và giải phẫu bệnh trong chẩn đoán ung thư biểu mô tuyến vú, TTƯT.BSCKII Phạm Kim Bình - Chuyên gia Giải phẫu bệnh, Hệ thống Y tế MEDLATEC, nguyên Trưởng khoa Giải phẫu bệnh (Bệnh viện Hữu nghị Việt Đức), nguyên Phó Trưởng Bộ môn Y pháp (Trường Đại học Y Hà Nội) chia sẻ: Siêu âm cho hình ảnh khá “hiền hòa” cộng thêm thông tin trên lâm sàng nên 100% nghĩ là u lành tính. Nhưng trên hình ảnh vi thể hoàn toàn phù hợp với carcinoma thể xâm nhập.
![]() |
TTƯT.BSCKII Phạm Kim Bình đánh giá cao về sự hiện đại của hệ thống máy móc, trang thiết bị đầu tư tại Trung tâm Giải phẫu bệnh MEDLATEC |
Từ kết quả mô bệnh học, chuyên gia khuyến nghị: “Phẫu thuật cắt rộng tuyến vú và nạo vét hạch, đồng thời làm thêm xét nghiệm hóa mô miễn dịch để phục vụ tiên lượng và điều trị cho bệnh nhân”.
Sau khi phân tích kết quả, chuyên gia hoàn toàn nhất trí với chẩn đoán xác định của Trung tâm Giải phẫu bệnh MEDLATEC, từ đó giúp người bệnh hoàn toàn an tâm chẩn đoán và phác đồ điều trị mới.
Giải phẫu bệnh - “Giải mã” chính xác những bất thường nào?
Ung thư vú là bệnh phổ biến hàng đầu ở nữ giới, nếu được phát hiện sớm cơ hội khỏi bệnh lên đến 90%, nhưng nếu phát hiện muộn, bệnh tiến triển và di căn làm gia tăng gánh nặng chi phí, kéo dài thời gian chữa trị và đe dọa tính mạng.
Từ trường hợp ca bệnh này, chuyên gia lưu ý, để không bỏ sót bệnh, khi thực hành lâm sàng, nhất là các trường hợp nghi ngờ cần được thăm khám toàn diện, có sự phối hợp chặt chẽ giữa bác sĩ lâm sàng và cận lâm sàng để đưa ra hướng tiếp cận, xử lý tốt nhất cho người bệnh.
Đặc biệt, trong khám chữa bệnh, giải phẫu bệnh “giải mã” - chẩn đoán chính xác loại bệnh ung thư, tình trạng ác tính hay lành tính của khối u, mức độ xâm lấn, tình trạng di căn/ chưa di căn, giai đoạn bệnh... Từ đó, bác sĩ lâm sàng có cơ sở điều trị chính xác cho người bệnh.
Với kinh nghiệm nhiều năm thực hành giải phẫu bệnh, TTƯT.BSCKII Phạm Kim Bình bày tỏ: “Tôi thấy có khá nhiều trường hợp không có sự tương xứng giữa lâm sàng, chẩn đoán hình ảnh và giải phẫu bệnh, hoặc giữa hình ảnh đại thể và vi thể, do đó giải phẫu bệnh rất có ý nghĩa và là “tiêu chuẩn vàng”chẩn đoán bệnh, đặc biệt các bệnh ung thư”.
Trung tâm Giải phẫu bệnh MEDLATEC - Nơi quy tụ lợi thế vượt trội tại Việt Nam
Xuyên suốt hành trình gần 3 thập kỷ đồng hành chăm sóc sức khỏe người dân, Hệ thống Y tế MEDLATEC - Đơn vị sở hữu hơn 200 cơ sở y tế tại Việt Nam và 01 Phòng khám tại Campuchia luôn thấu hiểu rằng để chất lượng khám chữa bệnh chính xác, bác sĩ lâm sàng cần có trong tay công cụ bắt buộc là xét nghiệm và kỹ thuật chẩn đoán hình ảnh.
![]() |
Trung tâm Giải phẫu bệnh MEDLATEC quy tụ đội ngũ chuyên gia đầu ngành, giàu kinh nghiệm |
Theo đó, Hệ thống Y tế MEDLATEC đặc biệt chú trọng đầu tư phát triển Trung tâm Xét nghiệm, Trung tâm Chẩn đoán hình ảnh 4.0 và Trung tâm Giải phẫu bệnh công nghệ cao ngoài công lập đầu tiên tại Việt Nam.
ThS.BSNT Trương Quốc Thanh chia sẻ: Trung tâm Giải phẫu bệnh MEDLATEC tự hào là nơi quy tụ đội ngũ chuyên gia Giải phẫu bệnh đầu ngành, giàu kinh nghiệm từng được đào tạo, công tác ở các bệnh viện danh tiếng ở trong nước và quốc tế luôn tận tâm, hết mình vì người bệnh. Đồng thời, Trung tâm được đầu tư trang bị đồng bộ hệ thống máy móc hiện đại cho phép thực hiện đa dạng xét nghiệm giải phẫu bệnh với kết quả chính xác, tin cậy. Đặc biệt, MEDLATEC là một trong số ít cơ sở y tế ngoài công lập có hệ thống lưu mẫu với sức chứa lên tới hàng vạn mẫu bệnh phẩm được bảo quản theo đúng quy định của Bộ Y tế, có ý nghĩa quan trọng cho những trường hợp có nghi ngờ cần làm lại để có thêm minh chứng khoa học trong việc khẳng định chẩn đoán.
![]() |
Các chuyên gia hội chẩn ca bệnh khó tại Trung tâm Giải phẫu bệnh MEDLATEC |
Bên cạnh đó, MEDLATEC còn tiên phong đầu tư hệ thống kết nối hội chẩn trực tuyến có sự tham gia của đội ngũ chuyên gia đầu ngành sẵn sàng kết nối nhanh chóng khi người bệnh có nhu cầu để tránh bỏ sót bệnh và được phục vụ kịp thời. Trường hợp ca bệnh này, nhờ xét nghiệm giải phẫu bệnh nên may mắn không bỏ sót bệnh cũng như kịp thời có phác đồ điều trị phù hợp, hiệu quả nhất.
![]() |
Hệ thống máy móc hiện đại, đồng bộ được đầu tư tại Trung tâm |
Ngoài ra, thực hiện xét nghiệm/ gửi mẫu xét nghiệm tại Trung tâm Giải phẫu bệnh MEDLATEC, người dân/ bác sĩ hoàn toàn an tâm chất lượng, bởi những điểm cộng chất lượng sau:
· Là đơn vị y tế đầu tiên tại Việt Nam quản lý chất lượng xét nghiệm bằng hai tiêu chuẩn quốc tế song hành ISO 15189:2012 và CAP luôn cam kết kết quả chính xác, tin cậy.
· Có năng lực đáp ứng hơn 100.000 mẫu gồm: Hơn 30.000 mẫu sinh thiết, hơn 12.000 dấu ấn hóa mô miễn dịch và hơn 60.000 mẫu tế bào với thời gian trả kết quả nhanh, kịp thời để phục vụ tối đa nhu cầu chẩn đoán chính xác các bệnh lý u, nghi ngờ u.
· Được hỗ trợ hội chẩn liên viện, trực tuyến cùng chuyên gia đầu ngành ở trong nước và quốc tế (Pháp, Mỹ, Nhật Bản) theo yêu cầu để bảo đảm giải quyết đầu ra chính xác nhất cho khách hàng.
Mọi thông tin chi tiết về dịch vụ xét nghiệm tại Trung tâm Giải phẫu bệnh MEDLATEC, Quý Khách hàng, Quý Bác sĩ vui lòng gọi ngay tổng đài toàn quốc: 1900 56 56 56.





