Bệnh nhân 38 tuổi sốc nặng khi biết mắc ký sinh trùng từ thói quen không ngờ
(PLVN) - Nữ bệnh nhân 38 tuổi đến Bệnh viện Đa khoa MEDLATEC kiểm tra sức khỏe thì bất ngờ phát hiện mắc ký sinh trùng cần điều trị ngay để tránh biến chứng khôn lường. Bệnh nhân ngã ngửa khi biết nguyên nhân gây bệnh xuất phát từ thói quen vô tình thường ngày.
Sốc vì phát hiện bệnh ngay khi khỏe mạnh
Đó là trường hợp của chị N.T.H, 38 tuổi, sinh sống ở Hà Nội đến Bệnh viện Đa khoa MEDLATEC kiểm tra sức khỏe định kỳ. Trong khám này, chị H được chỉ định siêu âm ổ bụng và làm các xét nghiệm máu cơ bản.
Chị H cho biết, thỉnh thoảng tức nặng bắp chân hai bên, có thói quen ăn rau sống và thường xuyên tiếp xúc với chó mèo, ngoài ra, bản thân không xuất hiện dấu hiệu khó chịu nào.
Bác sĩ thăm khám toàn thân và cơ quan bộ phận của chị H chưa thấy bất thường nào. Siêu âm có tổn thương gan, xét nghiệm có chỉ số Bilirubin và bạch cầu ái toan đều tăng. Xét nghiệm tìm giun sán cho kết quả dương tính với giun đũa, giun tròn, giun lươn, giun đũa chó mèo, sán lá gan lớn và sán lá gan nhỏ. Vì vậy, bác sĩ tư vấn chị H chụp MRI, CT đánh giá tổn thương gan.
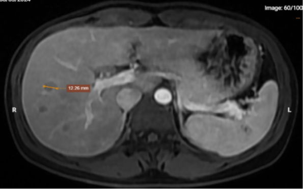
![]() |
Chụp MRI phát hiện hình ảnh nhiều tổn thương dạng nốt, khối khu trú trong gan của bệnh nhân. |
Chụp MRI phát hiện nhiều tổn thương dạng nốt, khối khu trú trong gan (chủ yếu gan phải), lách, đáy phổi trái (theo dõi tổn thương do ký sinh trùng). Đồng thời, chụp CT ghi nhận hình ảnh tổn thương rải rác nhu mô phổi hai bên (theo dõi tổn thương viêm không đặc hiệu), hạch trung thất, nốt giảm tỷ trọng nhu mô gan và lách.
Từ kết quả chụp chiếu đó cho thấy bệnh nhân có tổn thương tại gan, lách, phổi và kết quả xét nghiệm dương tính với các loại giun sán do ký sinh trùng, nên chẩn đoán xác định tổn thương gan, lách, phổi theo dõi do ký sinh trùng. Sau đó, bệnh nhân được tư vấn, điều trị ngoại trú tại Bệnh viện Bệnh Nhiệt đới Trung ương để tránh biến chứng khôn lường có thể xảy ra.
TS Ngô Chí Cương - Trưởng khoa Nội, Bệnh viện Đa khoa MEDLATEC, trưởng chuyên khoa Truyền nhiễm - Hệ thống Y tế MEDLATEC cho biết: Mắc ký sinh trùng, nếu không được phát hiện và điều trị kịp thời, bệnh có thể gây biến chứng nguy hiểm như viêm đường mật cấp tính, hoặc áp xe gan, viêm túi mật, tụ máu dưới bao gan. Tuy nhiên, bệnh nhân này rất may mắn trong lần kiểm tra định kỳ vô tình đã phát hiện ra bệnh lý tiềm ẩn và may mắn được điều trị kịp thời.
Cảnh giác nguyên nhân gây bệnh ký sinh trùng
Trường hợp của chị H, theo chuyên gia, nguyên nhân mắc ký sinh trùng có thể do thói quen hàng ngày là ăn rau sống và thường xuyên tiếp xúc với chó mèo.
Cũng có thói quen chơi và ngủ cùng "thú cưng" mèo, nhưng chưa bao giờ tẩy giun sán, nam bệnh nhân N.B.Đ (55 tuổi, ở Bắc Giang) đến Bệnh viện Đa khoa MEDLATEC khám trong tình trạng xuất hiện nhiều ban dạng sẩn đỏ rải rác toàn thân. Bệnh nhân này đi khám da liễu và uống thuốc theo đơn điều trị 3 đợt, nhưng bệnh không khỏi dứt điểm. Lo lắng triệu chứng ngứa tiếp tục tái phát, kể cả sau điều trị, bệnh nhân quyết tâm đến Bệnh viện Đa khoa MEDLATEC khám thì tá hỏa biết “thủ phạm” gây ngứa là do thú cưng nuôi trong nhà.
Để tránh mắc giun sán từ thói quen ăn uống, sinh hoạt hàng ngày, chuyên gia khuyên người dân nên thực hiện những cách phòng tránh sau:
![]() |
Rửa tay sạch sẽ trước ăn, hoặc sau khi chơi với thú cưng giúp giảm nguy cơ nhiễm giun sán |
· Thực hiện thói quen ăn chín, uống sôi;
· Hạn chế ăn uống vỉa hè, hàng rong;
· Không ăn các loại gỏi, rau, cá, thịt tái, thịt chua không rõ nguồn gốc;
· Giữ gìn vệ sinh cá nhân, cắt móng tay sạch sẽ, gọn gàng, không cho trẻ có thói quen ngậm tay, rửa tay sạch sẽ trước khi ăn;
· Rửa sạch tay sau khi chơi với vật nuôi trong nhà, hoặc sau khi phơi nhiễm với các nơi có nguy cơ nhiễm bệnh;
· Vệ sinh sạch sẽ, loại bỏ ngay phân của thú cưng để ngăn ngừa trứng từ các con vật nhiễm bệnh;
· Vệ sinh đúng nơi quy định, không sử dụng phân tươi để bón cho rau, nên bón cây khi phân đã được ủ mục.
Phát hiện ký sinh trùng nên làm những xét nghiệm nào?
Bệnh ký sinh trùng thường có dấu hiệu mờ nhạt, không đặc hiệu, hoặc có thể xuất hiện các biểu hiện khó chịu như mệt mỏi, dị ứng, nổi mụn đỏ, đau nhức cơ, đau cơ, đầy bụng, cơ thể xanh xao...
Do dấu hiệu không đặc hiệu nên dễ bỏ qua, vì vậy, khi xuất hiện dấu hiệu bất thường, hoặc có yếu tố nguy cơ cao, người bệnh cần đến ngay cơ sở y tế để được thăm khám, sàng lọc chính xác.
Thông thường, để chẩn đoán ký sinh trùng, người dân có thể được chỉ định làm một trong các xét nghiệm, kỹ thuật sau:
· Siêu âm ổ bụng: Là kỹ thuật chẩn đoán hình ảnh đầu tay phát hiện các loại giun sán.
· Xét nghiệm máu: Xác định có mắc các loại ký sinh trùng hay không như giun đũa, sán dây lợn, giun chỉ.
· Soi phân: Tìm ra các sinh vật đơn bào, ấu trùng giun lươn, giun sán.
· Xét nghiệm mô bệnh học: Sinh thiết có thể phát hiện được một số ký sinh trùng như sán dây lợn, sán dây bò…
· Soi trên lam máu tế bào ngoại vi có thể phát hiện được các loại ký sinh trùng trong máu (nếu có) như ký sinh trùng sốt rét, giun chỉ bạch huyết…
· Xét nghiệm soi tươi, hoặc PCR nhằm phát hiện được một số loại ký sinh trùng trong một số loại bệnh phẩm như dịch sinh học, chất thải, dịch mủ, chất nôn...
· Xét nghiệm soi tươi từ tế bào sừng (móng, vảy da…).
· Các kỹ thuật chẩn đoán hình ảnh chuyên sâu khác như CT, MRI.
![]() |
Chụp MRI có giá trị đánh giá giai đoạn và kiểm soát biến chứng nguy hiểm |
Đặc biệt, BS Trần Thị Thu - Chuyên khoa Chẩn đoán hình ảnh, Bệnh viện Đa khoa MEDLATEC nhấn mạnh vai trò không thể thiếu của các kỹ thuật chẩn đoán hình ảnh chuyên sâu như MRI, CT trong việc định hướng chẩn đoán, đánh giá giai đoạn và kiểm soát biến chứng gây bệnh.
![]() |
Tại Hệ thống Y tế MEDLATEC, người dân an tâm được đội ngũ chuyên gia đầu ngành và giàu kinh nghiệm thăm khám, tư vấn tận tâm |
Hệ thống Y tế MEDLATEC - đơn vị có gần 3 thập kỷ đồng hành chăm sóc sức khỏe người dân toàn quốc hiện có đầy đủ thế mạnh phục vụ nhu cầu thăm khám, phát hiện sớm, theo dõi và điều trị chính xác bệnh lý đa chuyên khoa. Riêng với nhóm bệnh truyền nhiễm, MEDLATEC cũng là cơ sở y tế tin cậy khám chữa bệnh chính xác, hiệu quả các bệnh do virus (chân tay miệng, sốt xuất huyết...), vi khuẩn (lao, tả...), nấm, ký sinh trùng (giun đũa chó mèo, giun lươn, sán...).
Mọi thông tin về dịch vụ khám chữa bệnh tại Hệ thống Y tế MEDLATEC, hoặc đăng ký lấy mẫu xét nghiệm tận nơi, người dân vui lòng liên hệ tổng đài: 1900 56 56 56.



