Bé trai 6 tuổi bị đa chấn thương nghiêm trọng do nghịch súng hơi

Bé trai 6 tuổi bị đa chấn thương nghiêm trọng do nghịch súng hơi
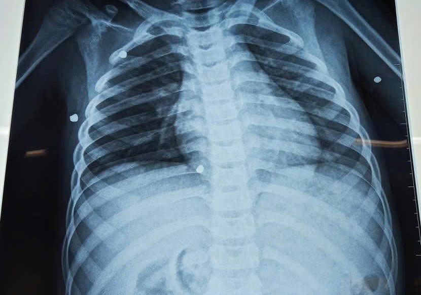
Kết quả chụp X-quang cho thấy có nhiều dị vật cản quang nằm rải rác ở nhiều vị trí trong cơ thể.

Ngày 24/1, Bệnh viện Đa khoa tỉnh Quảng Trị cho biết, đơn vị tiếp nhận một bệnh nhi bị đa chấn thương nghiêm trọng do nghịch súng hơi.

Bệnh nhi tên H.L (6 tuổi, trú tại thôn Long Thành, xã Lao Bảo), hiện đang là học sinh lớp 1.

Ngày 22/1, cháu H.L được đưa sang thăm người thân tại huyện Sê Pôn (Lào). Do sự bất cẩn của người lớn trong việc quản lý vũ khí tự chế, cháu H.L đã nghịch súng hơi dẫn đến tai nạn đáng tiếc.

Ngay sau đó, người nhà đã đưa cháu H.L đến Bệnh viện khu vực Hướng Hóa trong tình trạng tinh thần hoảng loạn.

Qua thăm khám, các bác sĩ phát hiện nhiều vết thương do hỏa khí tại vùng ngực và hai tay. Kết quả chụp X-quang cho thấy có nhiều dị vật cản quang nằm rải rác ở nhiều vị trí trong cơ thể.

Sau khi sơ cứu, nhận thấy tính chất phức tạp của các dị vật, bệnh viện đã làm thủ tục chuyển bệnh nhân lên Bệnh viện Đa khoa tỉnh Quảng Trị để tiếp tục điều trị chuyên sâu.

Trần Tuyền