Anh 9 tuổi nghịch súng cướp cò bắn xuyên cổ em trai 6 tuổi
(PLO) - Bệnh viện Nhi Đồng 2 vừa cấp cứu thành công bé 6 tuổi bị đạn súng săn bắn xuyên từ cổ vào ngực.
Theo hồ sơ bệnh án, sau khi đi săn về, người bố bất cẩn để khẩu súng vẫn còn đạn bên trong ở phía trước nhà. 2 con trai của anh gồm một bé 9 tuổi và một bé 6 tuổi (ngụ Đắk Lắk) đã lấy súng nghịch. Vô tình người anh bóp cò khiến đạn bắn xuyên từ cổ vào ngực người em.
Ngay lập tức, bé được chuyển đến bệnh viện tỉnh sơ cứu, sau đó chuyển lên Khoa Cấp cứu, Bệnh viện Nhi Đồng 2 TP.HCM.
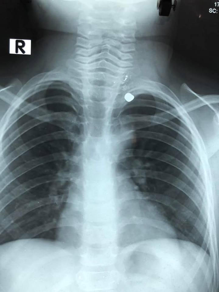
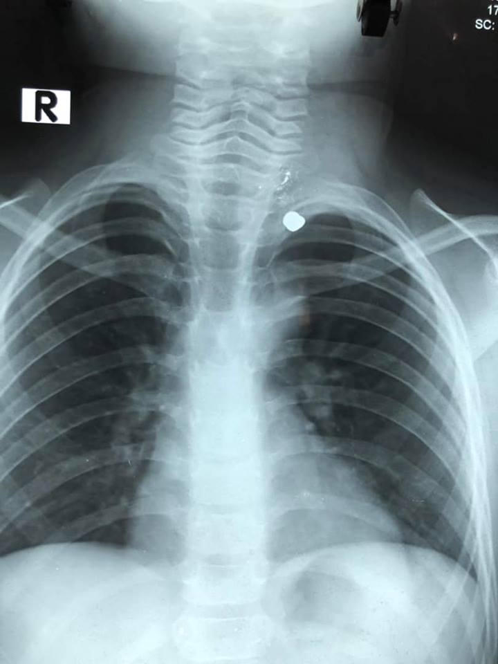
Viên đạn ở lồng ngực bé 6 tuổi qua kết quả chụp phim.
Tại Khoa Cấp cứu, bé được thăm khám, chụp X Quang ngực. May mắn, đạn đi từ cổ đến đỉnh phổi trái nhưng không xuyên vào mạch máu lớn, khí quản hay tim. Sau đó, bé được đưa vào Khoa Ngoại tổng hợp.
Tại khoa Ngoại tổng hợp, sau khi thăm khám, hội chẩn khoa, các bác sĩ nhận định nếu mổ mở đi từ vùng cổ có thể rất khó vì mạch máu, thần kinh vùng này nhiều và vết mổ sẽ rất xấu. Vì vậy, ekip phẫu thuật quyết định phẫu thuật nội soi lồng ngực để lấy viên đạn.
Hình ảnh các y bác sĩ mổ lấy viên đạn ra khỏi lồng ngực bé 6 tuổi.
Theo ghi nhận lúc phẫu thuật, viên đạn nằm ở đỉnh phổi trái, cạnh động mạch dưới đòn trái. May mắn, mạch máu lớn và thần kinh không bị tổn thương.
Sau phẫu thuật, sức khỏe bé ổn định và đã được xuất viện.
Viên đạn được lấy ra khỏi người bệnh nhi.
Theo BS Nguyễn Hiền, Phòng Chỉ Đạo Tuyến Bệnh viện Nhi Đồng 2, trẻ em từ độ tuổi mẫu giáo đến tuổi dậy thì rất hiếu động, phụ huynh nên cẩn trọng, tránh cho trẻ tiếp xúc với các vật có tính sát thương dễ gây nguy hiểm cho trẻ, nhất là các loại súng tự chế ở khu vực vùng cao, Tây Nguyên vì nếu bất cẩn sẽ gây nguy hiểm đến tính mạng của trẻ.


