Ẩm ướt, coi chừng bệnh nấm phổi

(PLO) - Thời tiết ẩm ướt rất thuận lợi cho các loại nấm phát triển, trong đó có nấm Histoplasma gây bệnh ở phổi rất nguy hiểm.

Thời tiết ẩm ướt rất thuận lợi cho các loại nấm phát triển, trong đó có nấm Histoplasma gây bệnh ở phổi rất nguy hiểm. Loại nấm này gây bệnh viêm phổi nang sợi mạn tính hoặc hiếm gặp hơn là dạng nhiễm lan toả cấp tính ở phổi và gây tổn thương nhiều cơ quan như tim, gan, lách dễ dẫn đến tử vong.

Ai dễ mắc bệnh nấm phổi?

Bệnh dễ xảy ra với những người làm việc ở vùng đất ẩm, đặc biệt là đất có nhiều phân gà, vịt, chim hoặc phân dơi. Những người quét dọn hoặc tiếp xúc với chuồng gà vịt, vùng đất dưới gốc cây có nhiều chim đậu, dưới hang dơi rất dễ mắc bệnh. Nấm Histoplasma capsulatum là loại nấm lưỡng hình, trông giống như một dạng mốc trong tự nhiên.
Ẩm ướt, coi chừng bệnh nấm phổi
Người ta nhận dạng nấm dựa vào đặc điểm sợi nấm sinh ra những bào tử lớn và nhỏ, khi nuôi cấy nấm phát triển như một nấm hạt men mọc chồi tại mô của vật chủ hoặc trên thạch giàu dinh dưỡng. Bào tử của loại nấm này có kích thước rất nhỏ nên khi hít thở chúng có thể lọt vào đến tận phế nang, tại đây chúng chuyển dạng thành những thể chồi.
Khi bệnh tiến triển gây phản ứng viêm hạt mạnh, hoại tử bã đậu và canxi hoá trong phổi giống như bệnh lao. Ở người lớn nhiễm nấm có thể tạo thành mô sẹo hình khối tròn ở phổi. Đối với trẻ em bị nhiễm nấm lần đầu có thể khỏi hoàn toàn nhưng để lại những điểm canxi hoá ở hạch rốn phổi hay ở phổi; nhiễm nấm lan toả thoáng qua có thể tạo ra những u hạt lắng đọng canxi ở lách.

Dấu hiệu của bệnh

Nếu hít phải bào tử nấm vào phổi có thể sẽ bị viêm phổi nang sợi mạn tính hoặc nhiễm nấm lan tỏa cấp tính. Thể bệnh viêm phổi nang sợi mạn tính thường gặp nhiều hơn với các triệu chứng: bệnh khởi phát từ từ trong nhiều tuần hoặc nhiều tháng, ho khan tăng dần, sút cân, đổ mồ hôi về đêm. Nếu đi khám bệnh, bác sĩ sẽ cho chụp Xquang thấy hình ảnh thâm nhiễm hoá xơ hạch ở đỉnh phổi một hay cả hai bên.
Diễn tiến của bệnh theo hai hướng: tự ổn định, tự cải thiện sớm hoặc là tiến triển âm thầm. Tổn thương co rút và tạo hang xuất hiện ở những thùy phổi trên, đồng thời lan rộng đến các vùng khác của phổi. Các  tổn thương tràn khí hoặc hình thành những bóng khí làm suy giảm chức năng hô hấp. Bệnh kéo dài dẫn đến tâm phế mạn hoặc nhiễm khuẩn phổi có thể gây tử vong.
Ẩm ướt, coi chừng bệnh nấm phổi
Mô hình nấm Histoplasma xâm nhập phổi gây bệnh.
Đối với  thể bệnh lan toả cấp tính, các triệu chứng gồm: sốt, gầy sút nhanh, gan, lách to, nổi hạch, vàng da. Đi khám làm các xét nghiệm thấy thiếu máu, giảm bạch cầu và tiểu cầu. Lưu ý rằng các triệu chứng này cũng gặp trong bệnh lý viêm phổi nang sợi mạn tính, nhưng bệnh mạn tính có xu hướng khu trú nhiều hơn.
Khoảng 25% bệnh nhân có những vết loét cứng ở miệng, lưỡi, mũi, thanh quản. Bệnh nhân còn có thể bị viêm gan dạng hạt, loét đường tiêu hoá, viêm màng trong tim và viêm màng não mạn tính. Chụp Xquang thấy hình ảnh tổn thương ở phổi giống như lao kê.

Để chẩn đoán xác định bệnh nhiễm nấm Histoplasma, đối với bệnh nấm lan toả cấp tính, người ta dùng phương pháp nuôi cấy nấm từ các bệnh phẩm như: máu, tủy xương, các tổn thương ở niêm mạc, gan, dịch rửa phế quản. Viêm phổi mạn tính do nấm thì cấy đờm để phát hiện nấm gây bệnh.

Tuy nhiên trên thực tế hầu hết bệnh nhân nhiễm nấm không có triệu chứng hoặc chỉ có triệu chứng nhẹ như ho, sốt, mệt mỏi, chụp Xquang có hình ảnh hạch rốn phổi, có thể có một hay nhiều vùng phổi viêm nên rất khó phát hiện bệnh. Một số bệnh nhân có xuất hiện ban đỏ nút và ban đỏ đa dạng. Một số bệnh nhân khác lại có viêm màng ngoài tim bán cấp.
Các cơ quan trong trung thất bị bao bọc bởi hiện tượng xơ hoá. Tình trạng chèn ép tĩnh mạch phổi, tĩnh mạch chủ trên, động mạch phổi và thực quản xảy ra trong nhiều năm. Ở giai đoạn muộn của bệnh trung thất, thấy tế bào nấm sống trong tổ chức bã đậu của hạch bạch huyết.
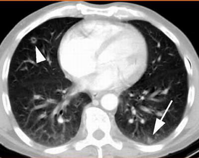
Ẩm ướt, coi chừng bệnh nấm phổi
Tổn thương phổi do nấm trên phim chụp cắt lớp.

Chú ý trong chữa và phòng bệnh

Nhìn chung bệnh nhân đã bị bệnh nấm Histoplasma lan toả cấp tính hay mạn tính đều phải điều trị bằng kháng sinh chống nấm dài ngày. Đối với bệnh nhân bị xơ hoá trung thất có thể cần phải phẫu thuật để điều trị.

Cách phòng bệnh hiệu quả là khi làm việc hay sinh hoạt ở những vùng đất ẩm, đặc biệt là đất có nhiều phân chim, phân dơi, người quét dọn chuồng gà, chuồng nuôi gia cầm, thủy cầm phải mặc quần áo bảo hộ lao động, đội mũ và đeo khẩu trang để chống nấm xâm nhập, ngăn chặn hít phải nấm vào phổi. Cha mẹ hoặc người bảo mẫu phải quản lý tốt trẻ nhỏ, không để trẻ nô đùa ở những nơi ẩm thấp có nhiều phân chim, phân gia cầm, phân dơi. Khi phát hiện các triệu chứng nghi nhiễm nấm ở phổi cần đi khám để được chẩn đoán và điều trị sớm.

BS. Nguyễn Thị Loan

Theo SKĐS